Skip to main content

Nectin-3/PVRL3 Antibody (CL15364) - Azide and BSA Free

Novus Biologicals, part of Bio-Techne | Catalog # NBP3-44180

Novus Biologicals, part of Bio-Techne
Catalog #
Availability
Size / Price
Qty
Loading...
NBP3-44180

Key Product Details

Validated by

Orthogonal Validation

Species Reactivity

Human, Mouse, Rat

Applications

Immunohistochemistry-Paraffin, Western Blot

Label

Unconjugated

Antibody Source

Monoclonal Mouse IgG1 Clone # CL15364

Format

Azide and BSA Free

Concentration

LYOPH mg/ml

Product Specifications

Immunogen

This antibody was generated using a recombinant protein sequence of Q9NQS3, with the exact immunogen sequence remaining proprietary.

Clonality

Monoclonal

Host

Mouse

Isotype

IgG1

Description

Novus Biologicals Mouse Nectin-3/PVRL3 Antibody (CL15364) - Azide and BSA Free (NBP3-43664) is a monoclonal antibody validated for use in IHC and WB. All Novus Biologicals antibodies are covered by our 100% guarantee.

Scientific Data Images for Nectin-3/PVRL3 Antibody (CL15364) - Azide and BSA Free

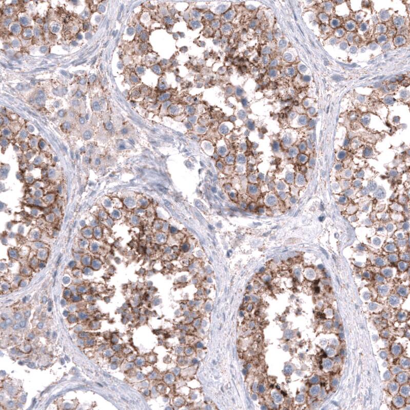
Nectin-3/PVRL3 Antibody (CL15364) - Azide and BSA Free Immunohistochemistry-Paraffin: Nectin-3/PVRL3 Antibody [NBP3-44180]

Immunohistochemistry-Paraffin: Nectin-3/PVRL3 Antibody [NBP3-44180]

Analysis in human testis and tonsil tissues using NBP3-44180 antibody. Corresponding Nectin-3/PVRL3 RNA-seq data are presented for the same tissues.
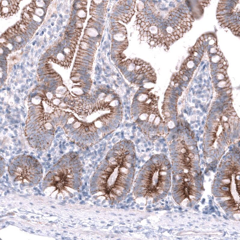
Nectin-3/PVRL3 Antibody (CL15364) - Azide and BSA Free Immunohistochemistry-Paraffin: Nectin-3/PVRL3 Antibody [NBP3-44180]

Immunohistochemistry-Paraffin: Nectin-3/PVRL3 Antibody [NBP3-44180]

Staining of human duodenum shows moderate to strong membranous positivity in glandular cells.
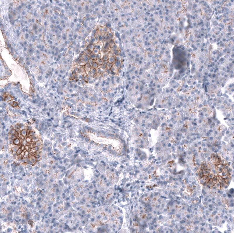
Nectin-3/PVRL3 Antibody (CL15364) - Azide and BSA Free Immunohistochemistry-Paraffin: Nectin-3/PVRL3 Antibody [NBP3-44180]

Immunohistochemistry-Paraffin: Nectin-3/PVRL3 Antibody [NBP3-44180]

Staining of human pancreas shows moderate membranous positivity in the islets of Langerhans.

Applications for Nectin-3/PVRL3 Antibody (CL15364) - Azide and BSA Free

Application
Recommended Usage

Immunohistochemistry-Paraffin

1:500-1:1000

Western Blot

1 ug/ml
Application Notes
For IHC-Paraffin, HIER pH 6 retrieval is recommended.

Formulation, Preparation, and Storage

Purification

Protein A purified

Reconstitution

Centrifuge the vial of lyophilized antibody at 12,000 x g for 20 seconds. Reconstitute by adding sterile, distilled water to achieve a final antibody concentration of 1mg/ml.

Formulation

Lyophilized from a 0.2 um filtered solution in PBS with Trehalose

Format

Azide and BSA Free

Preservative

No Preservative

Concentration

LYOPH mg/ml

Shipping

The product is shipped at ambient temperature. Upon receipt, store it immediately at the temperature recommended below.

Stability & Storage

Store at 4C short term. Aliquot and store at -20C long term. Avoid freeze-thaw cycles.

Background: Nectin-3

Nectins (e.g., PVRL1; MIM 600644) are immunoglobulin-like adhesion molecules that interact with afadin (AF6; MIM 159559). Afadin is an actin filament-binding protein that connects nectins to the actin cytoskeleton. The nectin-afadin system organizes adherens junctions cooperatively with the cadherin (see MIM 192090)-catenin (see MIM 116805) system in epithelial cells.[supplied by OMIM]

Long Name

Poliovirus Receptor Related 3

Alternate Names

CD113, Nectin3, PPR3, PVRL3, PVRR3

Gene Symbol

NECTIN3

Additional Nectin-3 Products

Product Documents for Nectin-3/PVRL3 Antibody (CL15364) - Azide and BSA Free

Certificate of Analysis

To download a Certificate of Analysis, please enter a lot number in the search box below.

Product Specific Notices for Nectin-3/PVRL3 Antibody (CL15364) - Azide and BSA Free

This product is for research use only and is not approved for use in humans or in clinical diagnosis. Primary Antibodies are guaranteed for 1 year from date of receipt.

Loading...
Loading...
Loading...
Loading...
Loading...