Skip to main content

Nanog Antibody - BSA Free

Novus Biologicals, part of Bio-Techne | Catalog # NBP1-77109

Novus Biologicals, part of Bio-Techne

Key Product Details

Species Reactivity

Validated:

Human, Mouse, Rat

Predicted:

Chicken (94%). Backed by our 100% Guarantee.

Applications

Validated:

Immunohistochemistry, Immunohistochemistry-Paraffin, Western Blot, ELISA, Immunocytochemistry/ Immunofluorescence

Cited:

Immunocytochemistry/ Immunofluorescence

Label

Unconjugated

Antibody Source

Polyclonal Rabbit IgG

Format

BSA Free

Concentration

1 mg/ml

Product Specifications

Immunogen

Antibody was raised against a 19 amino acid synthetic peptide near the center of human NANOG. The immunogen is located within amino acids 130 - 180 of NANOG. Amino Acid Squence: KQVKTWFQNQRMKSKRWQK

Reactivity Notes

Immunogen displays the following percentage of sequence identity for non-tested species: Bovine (89%)

Marker

Embryonic Stem Cell Marker

Clonality

Polyclonal

Host

Rabbit

Isotype

IgG

Theoretical MW

35 kDa.
Disclaimer note: The observed molecular weight of the protein may vary from the listed predicted molecular weight due to post translational modifications, post translation cleavages, relative charges, and other experimental factors.

Description

Novus Biologicals Rabbit Nanog Antibody - BSA Free (NBP1-77109) is a polyclonal antibody validated for use in IHC, WB, ELISA and ICC/IF. Anti-Nanog Antibody: Cited in 1 publication. All Novus Biologicals antibodies are covered by our 100% guarantee.

Scientific Data Images for Nanog Antibody - BSA Free

Nanog Antibody - BSA Free

Immunohistochemistry: Nanog Antibody - BSA Free [NBP1-77109] -

Immunohistochemistry: Nanog Antibody - BSA Free [NBP1-77109] - Validation of Nanog in Rat Testis Immunohistochemical analysis of paraffin-embedded rat testis tissue using anti-Nanog antibody at 2 u/ml. Tissue was fixed with formaldehyde and blocked with 10% serum for 1 h at RT; antigen retrieval was by heat mediation with a citrate buffer (pH6). Samples were incubated with primary antibody overnight at 4C. A goat anti-rabbit IgG H&L (HRP) at 1/250 was used as secondary. Counter stained with Hematoxylin.
Nanog Antibody - BSA Free

Immunohistochemistry: Nanog Antibody - BSA Free [NBP1-77109] -

Immunohistochemistry: Nanog Antibody - BSA Free [NBP1-77109] - Validation of Nanog in Mouse Testis.Immunohistochemical analysis of paraffin-embedded mouse testis tissue using anti-Nanog antibody at 2 u/ml. Tissue was fixed with formaldehyde and blocked with 10% serum for 1 h at RT; antigen retrieval was by heat mediation with a citrate buffer (pH6). Samples were incubated with primary antibody overnight at 4°C. A goat anti-rabbit IgG H&L (HRP) at 1/250 was used as secondary. Counter stained with Hematoxylin.
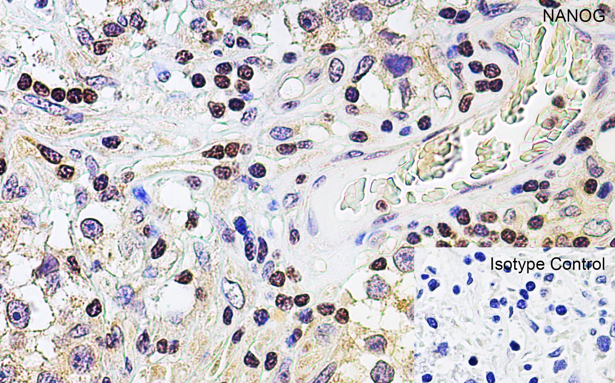
Nanog Antibody - BSA Free

Immunohistochemistry: Nanog Antibody - BSA Free [NBP1-77109] -

Immunohistochemistry: Nanog Antibody - BSA Free [NBP1-77109] - Validation of Nanog in Human Testis.Immunohistochemical analysis of paraffin-embedded human testis tissue using anti-Nanog antibody at 5 u/ml. Tissue was fixed with formaldehyde and blocked with 10% serum for 1 h at RT; antigen retrieval was by heat mediation with a citrate buffer (pH6). Samples were incubated with primary antibody overnight at 4°C. A goat anti-rabbit IgG H&L (HRP) at 1/250 was used as secondary. Counter stained with Hematoxylin.

Applications for Nanog Antibody - BSA Free

Application
Recommended Usage

ELISA

1:100-1:2000

Immunocytochemistry/ Immunofluorescence

20 ug/mL

Immunohistochemistry

5 ug/ml

Immunohistochemistry-Paraffin

5 ug/ml

Western Blot

1-2 ug/ml

Formulation, Preparation, and Storage

Purification

Peptide affinity purified

Formulation

PBS

Format

BSA Free

Preservative

0.02% Sodium Azide

Concentration

1 mg/ml

Shipping

The product is shipped with polar packs. Upon receipt, store it immediately at the temperature recommended below.

Stability & Storage

Store at 4C short term. Aliquot and store at -20C long term. Avoid freeze-thaw cycles.

Background: Nanog

Expression of NANOG is required for the maintenance of pluripotency in epiblast and embryonic stem (ES) cells as well as for the ability to maintain ES self-renewal independently of LIF/Stat3. The role of NANOG in embryonic development suggested that it might be useful in the creation of stem cells that might be useful in cell replacement therapies in the treatment of several degenerative diseases. Artificial stem cells, termed induced pluripotent stem (iPS) cells, can be created by expressing POU5F1 (also known as Oct-4), another germline-specific transcription factor, and the transcription factors Sox2, Klf4 and Lin28 along with c-Myc in mouse fibroblasts. More recently, experiments have demonstrated that iPS cells could be generated using expression plasmids expressing NANOG, Sox2, KlfF4 and c-Myc, eliminating the need for virus introduction, thereby addressing a safety concern for potential use of iPS cells in regenerative medicine.

Long Name

Nanog Homeobox

Alternate Names

FLJ12581, FLJ40451, hNanog, homeobox protein NANOG, Homeobox transcription factor Nanog, homeobox transcription factor Nanog-delta 48, Nanog homeobox

Entrez Gene IDs

79923 (Human); 71950 (Mouse)

Gene Symbol

NANOG

UniProt

Additional Nanog Products

Product Documents for Nanog Antibody - BSA Free

Certificate of Analysis

To download a Certificate of Analysis, please enter a lot number in the search box below.

Product Specific Notices for Nanog Antibody - BSA Free

This product is for research use only and is not approved for use in humans or in clinical diagnosis. Primary Antibodies are guaranteed for 1 year from date of receipt.

Loading...
Loading...
Loading...
Loading...
Loading...