Skip to main content

Nanog Antibody (CL5803) - Azide and BSA Free

Novus Biologicals, part of Bio-Techne | Catalog # NBP3-44196

Novus Biologicals, part of Bio-Techne
Catalog #
Availability
Size / Price
Qty
Loading...
NBP3-44196

Key Product Details

Species Reactivity

Human

Applications

Immunohistochemistry-Paraffin, Immunocytochemistry/ Immunofluorescence

Label

Unconjugated

Antibody Source

Monoclonal Mouse IgG2A Clone # CL5803

Format

Azide and BSA Free

Concentration

LYOPH mg/ml

Product Specifications

Immunogen

This antibody was generated using a synthetic peptide of Q9H9S0, with the exact immunogen sequence remaining proprietary.

Clonality

Monoclonal

Host

Mouse

Isotype

IgG2A

Description

Novus Biologicals Mouse Nanog Antibody (CL5803) - Azide and BSA Free (NBP2-61428) is a monoclonal antibody validated for use in IHC and ICC/IF. All Novus Biologicals antibodies are covered by our 100% guarantee.

Scientific Data Images for Nanog Antibody (CL5803) - Azide and BSA Free

Nanog Antibody (CL5803) - Azide and BSA Free Immunohistochemistry-Paraffin: Nanog Antibody [NBP3-44196]

Immunohistochemistry-Paraffin: Nanog Antibody [NBP3-44196]

Staining of human bladder cancer shows absence of positivity in tumor cells as expected (negative control).
Nanog Antibody (CL5803) - Azide and BSA Free Immunohistochemistry-Paraffin: Nanog Antibody [NBP3-44196]

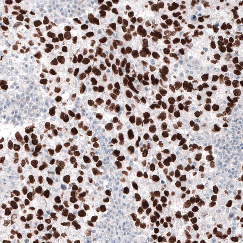
Immunohistochemistry-Paraffin: Nanog Antibody [NBP3-44196]

Staining of human testis cancer shows strong nuclear immunoreactivity in tumor cells.
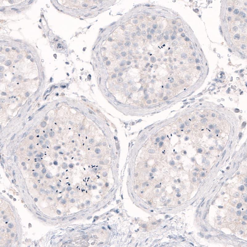
Nanog Antibody (CL5803) - Azide and BSA Free Immunohistochemistry-Paraffin: Nanog Antibody [NBP3-44196]

Immunohistochemistry-Paraffin: Nanog Antibody [NBP3-44196]

Staining of human testis shows absence of positivity as expected (negative control).

Applications for Nanog Antibody (CL5803) - Azide and BSA Free

Application
Recommended Usage

Immunocytochemistry/ Immunofluorescence

2-10 ug/ml

Immunohistochemistry-Paraffin

1:1000 - 1:2500
Application Notes
For IHC-Paraffin, HIER pH 6 retrieval is recommended. Immunocytochemistry/ Immunofluorescence/IF Fixation Permeabilization: PFA/Triton X-100

Formulation, Preparation, and Storage

Purification

Protein A purified

Reconstitution

Centrifuge the vial of lyophilized antibody at 12,000 x g for 20 seconds. Reconstitute by adding sterile, distilled water to achieve a final antibody concentration of 1mg/ml.

Formulation

Lyophilized from a 0.2 um filtered solution in PBS with Trehalose

Format

Azide and BSA Free

Preservative

No Preservative

Concentration

LYOPH mg/ml

Shipping

The product is shipped at ambient temperature. Upon receipt, store it immediately at the temperature recommended below.

Stability & Storage

Store at 4C short term. Aliquot and store at -20C long term. Avoid freeze-thaw cycles.

Background: Nanog

Nanog is one of the molecular markers suitable for recognizing the undifferentiated state of stem cells in the mouse and human. Nanog is a divergent homeodomain protein that directs propagation of undifferentiated ES cells. Nanog mRNA is present in pluripotent mouse and human cell lines, and absent from differentiated cells. Nanog-deficient ES cells lose pluripotency and differentiate into extraembryonic endoderm lineage.

Long Name

Nanog Homeobox

Alternate Names

FLJ12581, FLJ40451, hNanog, homeobox protein NANOG, Homeobox transcription factor Nanog, homeobox transcription factor Nanog-delta 48, Nanog homeobox

Gene Symbol

NANOG

Additional Nanog Products

Product Documents for Nanog Antibody (CL5803) - Azide and BSA Free

Certificate of Analysis

To download a Certificate of Analysis, please enter a lot number in the search box below.

Product Specific Notices for Nanog Antibody (CL5803) - Azide and BSA Free

This product is for research use only and is not approved for use in humans or in clinical diagnosis. Primary Antibodies are guaranteed for 1 year from date of receipt.

Loading...
Loading...
Loading...
Loading...
Loading...