Skip to main content

Myosin 1C Antibody - BSA Free

Novus Biologicals, part of Bio-Techne | Catalog # NBP2-95224

Novus Biologicals, part of Bio-Techne
Catalog #
Availability
Size / Price
Qty
Loading...
NBP2-95224-0.02ml
NBP2-95224-0.1ml

Key Product Details

Species Reactivity

Human, Mouse, Rat

Applications

Immunohistochemistry, Immunohistochemistry-Paraffin, Western Blot, Immunoprecipitation

Label

Unconjugated

Antibody Source

Polyclonal Rabbit IgG

Format

BSA Free

Concentration

Please see the vial label for concentration. If unlisted please contact technical services.

Product Specifications

Immunogen

Recombinant fusion protein containing a sequence corresponding to amino acids 769-1028 of human MYO1C (NP_203693.3). ENAFFLDHVRTSFLLNLRRQLPQNVLDTSWPTPPPALREASELLRELCIKNMVWKYCRSISPEWKQQLQQKAVASEIFKGKKDNYPQSVPRLFISTRLGTDEISPRVLQALGSEPIQYAVPVVKYDRKGYKPRSRQLLLTPNAVVIVEDAKVKQRIDYANLTGISVSSLSDSLFVLHVQRADNKQKGDVVLQSDHVIETLTKTALSANRVNSININQGSITFAGGPGRDGTIDFTPGSELLITKAKNGHLAVVAPRLNSR

Clonality

Polyclonal

Host

Rabbit

Isotype

IgG

Description

Novus Biologicals Rabbit Myosin 1C Antibody - BSA Free (NBP2-95224) is a polyclonal antibody validated for use in IHC, WB and IP. All Novus Biologicals antibodies are covered by our 100% guarantee.

Scientific Data Images for Myosin 1C Antibody - BSA Free

Myosin 1C Antibody - BSA Free

Western Blot: Myosin 1C Antibody - BSA Free [Myosin 1C] -

Western Blot: Myosin 1C Antibody - BSA Free [Myosin 1C] - Western blot analysis of various lysates, using Myosin 1C Rabbit pAb at 1:1500 dilution.
Secondary antibody: HRP Goat Anti-Rabbit IgG (H+L) at 1:10000 dilution.
Lysates/proteins: 25ug per lane.
Blocking buffer: 3% nonfat dry milk in TBST.
Detection: ECL Basic Kit .
Exposure time: 30s.
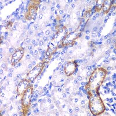
Immunohistochemistry-Paraffin: Myosin 1C Antibody - BSA Free [NBP2-95224]

Immunohistochemistry-Paraffin: Myosin 1C Antibody - BSA Free [NBP2-95224]

Immunohistochemistry-Paraffin: Myosin 1C Antibody [NBP2-95224] - Paraffin-embedded mouse kidney using Myosin 1C .
Western Blot: Myosin 1C AntibodyBSA Free [NBP2-95224]

Western Blot: Myosin 1C AntibodyBSA Free [NBP2-95224]

Western Blot: Myosin 1C Antibody [NBP2-95224] - Paraffin-embedded rat kidney using Myosin 1C .

Applications for Myosin 1C Antibody - BSA Free

Application
Recommended Usage

Immunohistochemistry

1:50 - 1:200

Immunoprecipitation

1:50 - 1:200

Western Blot

1:500 - 1:2000

Formulation, Preparation, and Storage

Purification

Affinity purified

Formulation

PBS (pH 7.3), 50% glycerol

Format

BSA Free

Preservative

0.02% Sodium Azide

Concentration

Please see the vial label for concentration. If unlisted please contact technical services.

Shipping

The product is shipped with polar packs. Upon receipt, store it immediately at the temperature recommended below.

Stability & Storage

Store at -20C. Avoid freeze-thaw cycles.

Background: Myosin 1C

Myosin 1C encodes a member of the unconventional myosin protein family, which are actin-based molecular motors. The protein is found in the cytoplasm, and one isoform with a unique N-terminus is also found in the nucleus. The nuclear isoform associates with RNA polymerase I and II and functions in transcription initiation. The mouse ortholog of this protein also functions in intracellular vesicle transport to the plasma membrane. Multiple transcript variants encoding different isoforms have been found for this gene. The related gene myosin IE has been referred to as myosin IC in the literature, but it is a distinct locus on chromosome 19. [provided by RefSeq]

Alternate Names

FLJ23903, MMIb, MMI-beta, Myosin I beta, myosin IC, myosin-I beta, myosin-Ic, myr2, NMI, nuclear myosin I

Gene Symbol

MYO1C

Additional Myosin 1C Products

Product Documents for Myosin 1C Antibody - BSA Free

Certificate of Analysis

To download a Certificate of Analysis, please enter a lot number in the search box below.

Product Specific Notices for Myosin 1C Antibody - BSA Free

This product is for research use only and is not approved for use in humans or in clinical diagnosis. Primary Antibodies are guaranteed for 1 year from date of receipt.

Loading...
Loading...
Loading...
Loading...