Musashi-1 Antibody (OTI1G8)
Novus Biologicals, part of Bio-Techne | Catalog # NBP2-03434
Conjugate
Catalog #
Forumulation
Catalog #
Key Product Details
Species Reactivity
Human, Mouse, Rat, Monkey, Primate
Applications
Immunohistochemistry, Immunohistochemistry-Paraffin, Western Blot, Flow Cytometry, Immunocytochemistry/ Immunofluorescence
Label
Unconjugated
Antibody Source
Monoclonal Mouse IgG2A Clone # OTI1G8
Concentration
1 mg/ml
Product Specifications
Immunogen
Full length human recombinant protein of human MSI1 (NP_002433) produced in HEK293T cell.
Reactivity Notes
Please note that this antibody is reactive to Mouse and derived from the same host, Mouse. Mouse-On-Mouse blocking reagent may be needed for IHC and ICC experiments to reduce high background signal. You can find these reagents under catalog numbers PK-2200-NB and MP-2400-NB. Please contact Technical Support if you have any questions.
Marker
Neuronal Stem Cell Marker
Clonality
Monoclonal
Host
Mouse
Isotype
IgG2A
Theoretical MW
38.9 kDa.
Disclaimer note: The observed molecular weight of the protein may vary from the listed predicted molecular weight due to post translational modifications, post translation cleavages, relative charges, and other experimental factors.
Disclaimer note: The observed molecular weight of the protein may vary from the listed predicted molecular weight due to post translational modifications, post translation cleavages, relative charges, and other experimental factors.
Description
Novus Biologicals Mouse Musashi-1 Antibody (OTI1G8) (NBP2-03434) is a monoclonal antibody validated for use in IHC, WB, Flow and ICC/IF. All Novus Biologicals antibodies are covered by our 100% guarantee.
Scientific Data Images for Musashi-1 Antibody (OTI1G8)
Western Blot: Musashi 1 Antibody (1G8) [NBP2-03434] Analysis of extracts (35ug) from 9 different cell lines by using anti-Musashi 1 monoclonal antibody (HepG2: human; HeLa: human; SVT2: mouse; A549: human; COS7: monkey; Jurkat: human; MDCK: canine; PC12: rat; MCF7: human).
Immunocytochemistry/ Immunofluorescence: Musashi-1 Antibody (OTI1G8) [NBP2-03434]
Immunocytochemistry/Immunofluorescence: Musashi 1 Antibody (1G8) [NBP2-03434] - Staining of COS7 cells transiently transfected by pCMV6-ENTRY Musashi 1.Immunohistochemistry-Paraffin: Musashi-1 Antibody (OTI1G8) [NBP2-03434]
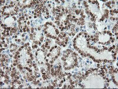
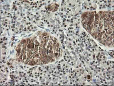
Immunohistochemistry-Paraffin: Musashi 1 Antibody (1G8) [NBP2-03434] - Staining of paraffin-embedded Human pancreas tissue using anti-Musashi 1 mouse monoclonal antibody.Applications for Musashi-1 Antibody (OTI1G8)
Application
Recommended Usage
Flow Cytometry
1:100
Immunocytochemistry/ Immunofluorescence
1:100
Immunohistochemistry
1:150
Immunohistochemistry-Paraffin
1:150
Western Blot
1:1000-2000
Formulation, Preparation, and Storage
Purification
Immunogen affinity purified
Formulation
PBS (pH 7.3), 1.0% BSA and 50% Glycerol
Preservative
0.02% Sodium Azide
Concentration
1 mg/ml
Shipping
The product is shipped with polar packs. Upon receipt, store it immediately at the temperature recommended below.
Stability & Storage
Store at -20C. Avoid freeze-thaw cycles.
Background: Musashi-1
Additional Musashi-1 Products
Product Documents for Musashi-1 Antibody (OTI1G8)
Product Specific Notices for Musashi-1 Antibody (OTI1G8)
This product is for research use only and is not approved for use in humans or in clinical diagnosis. Primary Antibodies are guaranteed for 1 year from date of receipt.
Loading...
Loading...
Loading...
Loading...
Loading...