Skip to main content

MTIF2 Antibody - BSA Free

Novus Biologicals, part of Bio-Techne | Catalog # NBP3-41875

Novus Biologicals, part of Bio-Techne
Catalog #
Availability
Size / Price
Qty
Loading...
NBP3-41875

Key Product Details

Species Reactivity

Human, Mouse, Rat

Applications

Immunohistochemistry, Western Blot

Label

Unconjugated

Antibody Source

Polyclonal Rabbit

Format

BSA Free

Concentration

0.5 mg/ml

Product Specifications

Immunogen

Immunized with recombinant Rat MTIF2 (Uniprot#: Q68FQ5; Met1-Arg201 (Uniprot#: Q68FQ5)

Clonality

Polyclonal

Host

Rabbit

Description

Novus Biologicals Rabbit MTIF2 Antibody - BSA Free (NBP3-41875) is a polyclonal antibody validated for use in IHC and WB. All Novus Biologicals antibodies are covered by our 100% guarantee.

Scientific Data Images for MTIF2 Antibody - BSA Free

MTIF2 Antibody

Western Blot: MTIF2 Antibody [NBP3-41875] -

Western Blot: MTIF2 Antibody [NBP3-41875] - Sample: Recombinant protein.
MTIF2 Antibody

Western Blot: MTIF2 Antibody [NBP3-41875] -

Western Blot: MTIF2 Antibody [NBP3-41875] - Sample: Rat Heart lysate; Primary Ab: 1ug/ml NBP3-41875; Second Ab: 0.2ug/mL HRP-Linked Caprine Anti-Rabbit IgG Polyclonal Antibody
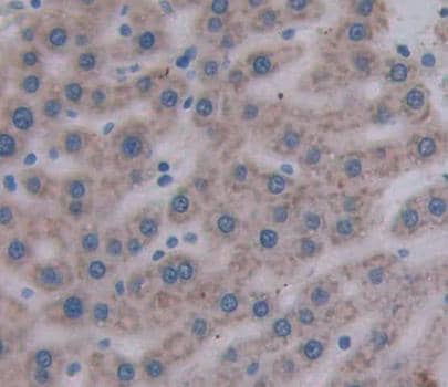
MTIF2 Antibody

Immunohistochemistry-Paraffin: MTIF2 Antibody [NBP3-41875] -

Immunohistochemistry-Paraffin: MTIF2 Antibody [NBP3-41875] - Used in DAB staining on fromalin fixed paraffin- embedded liver tissue

Applications for MTIF2 Antibody - BSA Free

Application
Recommended Usage

Immunohistochemistry

5-20ug/mL

Western Blot

0.2-2ug/mL

Formulation, Preparation, and Storage

Purification

Antigen and protein A Affinity-purified

Formulation

PBS, pH7.4, 50% glycerol

Format

BSA Free

Preservative

0.02% Sodium Azide

Concentration

0.5 mg/ml

Shipping

The product is shipped with polar packs. Upon receipt, store it immediately at the temperature recommended below.

Stability & Storage

Store at 4C short term. Aliquot and store at -20C long term. Avoid freeze-thaw cycles.

Background: MTIF2

During the initiation of protein biosynthesis, initiation factor-2 (IF-2) promotes the binding of the initiator tRNA to the small subunit of the ribosome in a GTP-dependent manner. Prokaryotic IF-2 is a single polypeptide, while eukaryotic cytoplasmic IF-2 (eIF-2) is a trimeric protein. Bovine liver mitochondria contain IF-2(mt), an 85-kD monomeric protein that is equivalent to prokaryotic IF-2. The predicted 727-amino acid human protein contains a 29-amino acid presequence. Human IF-2(mt) shares 32 to 38% amino acid sequence identity with yeast IF-2(mt) and several prokaryotic IF-2s, with the greatest degree of conservation in the G domains of the proteins. Two transcript variants encoding the same protein have been found for this gene. (provided by RefSeq)

Alternate Names

IF-2(Mt), mitochondrial, mitochondrial translational initiation factor 2

Gene Symbol

MTIF2

Additional MTIF2 Products

Product Documents for MTIF2 Antibody - BSA Free

Certificate of Analysis

To download a Certificate of Analysis, please enter a lot number in the search box below.

Product Specific Notices for MTIF2 Antibody - BSA Free

This product is for research use only and is not approved for use in humans or in clinical diagnosis. Primary Antibodies are guaranteed for 1 year from date of receipt.

Loading...
Loading...
Loading...
Loading...