Skip to main content

MSH2 Antibody - BSA Free

Novus Biologicals, part of Bio-Techne | Catalog # NB100-621

Novus Biologicals, part of Bio-Techne

Key Product Details

Validated by

Independent Antibodies, Biological Validation

Species Reactivity

Human, Mouse

Applications

Validated:

Immunohistochemistry, Immunohistochemistry-Paraffin, Western Blot, Immunoprecipitation

Cited:

Western Blot

Label

Unconjugated

Antibody Source

Polyclonal Rabbit IgG

Format

BSA Free

Concentration

1.0 mg/ml

Product Specifications

Immunogen

The immunogen recognized by this antibody maps to a region between residue 875 and the C-terminus (residue 934) of human mutS homolog 2 using the numbering given in Swiss-Prot entry P43246 (GeneID 4436).

Clonality

Polyclonal

Host

Rabbit

Isotype

IgG

Description

Novus Biologicals Rabbit MSH2 Antibody - BSA Free (NB100-621) is a polyclonal antibody validated for use in IHC, WB and IP. Anti-MSH2 Antibody: Cited in 3 publications. All Novus Biologicals antibodies are covered by our 100% guarantee.

Scientific Data Images for MSH2 Antibody - BSA Free

Western Blot: MSH2 Antibody [NB100-621]

Western Blot: MSH2 Antibody [NB100-621]

Western Blot: MSH2 Antibody [NB100-621] - Detection of Human and Mouse MSH2 by Western Blot. Samples: Whole cell lysate (50 ug) from HeLa, 293T, and mouse NIH3T3 cells prepared using NETN lysis buffer. Antibody: Affinity purified rabbit anti-MSH2 antibody NB100-621 used for WB at 0.1 ug/ml. Detection: Chemiluminescence with an exposure time of 30 seconds.
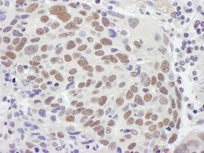
Immunohistochemistry-Paraffin: MSH2 Antibody [NB100-621]

Immunohistochemistry-Paraffin: MSH2 Antibody [NB100-621]

Immunohistochemistry-Paraffin: MSH2 Antibody [NB100-621] - Sample: FFPE section of human ovarian carcinoma. Antibody: Affinity purified rabbit anti-MSH2 used at a dilution of 1:1,000 (1ug/ml). Detection: DAB
Western Blot: MSH2 Antibody [NB100-621]

Western Blot: MSH2 Antibody [NB100-621]

Western Blot: MSH2 Antibody [NB100-621] - Detection of human and mouse MSH2 by Western blot and immunoprecipitation using NB100-621. Detection: ECL with a 3 minute exposure.

Applications for MSH2 Antibody - BSA Free

Application
Recommended Usage

Immunohistochemistry

1:1000 - 1:5000

Immunohistochemistry-Paraffin

1:1000 - 1:5000

Immunoprecipitation

2-10 ug/mg lysate

Western Blot

1:2000- 1:10000
Application Notes
Optimal working dilutions should be determined experimentally by the investigator. Prepare working dilution immediately before use. Epitope retrieval with citrate buffer pH6.0 is recommended for FFPE tissue sections.

Formulation, Preparation, and Storage

Purification

Immunogen affinity purified

Formulation

Tris-Citrate/Phosphate (pH 7.0 - 8.0)

Format

BSA Free

Preservative

0.09% Sodium Azide

Concentration

1.0 mg/ml

Shipping

The product is shipped with polar packs. Upon receipt, store it immediately at the temperature recommended below.

Stability & Storage

Store at 4C. Do not freeze.

Background: MSH2

MSH2 is a protein involved in mismatch repair and the removal of non-homologous 3' tails in recombination. Mutations in MSH2 are implicated in familial colon cancer.

Long Name

MutationS Homolog 2

Alternate Names

COCA1, FCC1, HNPCC1, LCFS2

Entrez Gene IDs

4436 (Human); 17685 (Mouse)

Gene Symbol

MSH2

UniProt

Additional MSH2 Products

Product Documents for MSH2 Antibody - BSA Free

Certificate of Analysis

To download a Certificate of Analysis, please enter a lot number in the search box below.

Product Specific Notices for MSH2 Antibody - BSA Free

This product is for research use only and is not approved for use in humans or in clinical diagnosis. Primary Antibodies are guaranteed for 1 year from date of receipt.

Loading...
Loading...
Loading...
Loading...