Skip to main content

MRP4/ABCC4 Antibody (6A7H3) - BSA Free

Novus Biologicals, part of Bio-Techne | Catalog # NBP2-37347

Novus Biologicals, part of Bio-Techne
Catalog #
Availability
Size / Price
Qty
Loading...
NBP2-37347
NBP2-37347-0.025ml

Key Product Details

Species Reactivity

Human

Applications

CyTOF-ready, ELISA, Flow Cytometry, Immunohistochemistry, Immunohistochemistry-Paraffin, Western Blot

Label

Unconjugated

Antibody Source

Monoclonal Mouse IgG1 Clone # 6A7H3

Format

BSA Free

Concentration

1 mg/ml

Product Specifications

Immunogen

Purified recombinant fragment of human MRP4/ABCC4 (AA: 631-692) expressed in E. Coli.

Clonality

Monoclonal

Host

Mouse

Isotype

IgG1

Theoretical MW

150 kDa.
Disclaimer note: The observed molecular weight of the protein may vary from the listed predicted molecular weight due to post translational modifications, post translation cleavages, relative charges, and other experimental factors.

Description

Novus Biologicals Mouse MRP4/ABCC4 Antibody (6A7H3) - BSA Free (NBP2-37347) is a monoclonal antibody validated for use in IHC, WB, ELISA and Flow. All Novus Biologicals antibodies are covered by our 100% guarantee.

Scientific Data Images for MRP4/ABCC4 Antibody (6A7H3) - BSA Free

Western Blot: MRP4/ABCC4 Antibody (6A7H3)BSA Free [NBP2-37347]

Western Blot: MRP4/ABCC4 Antibody (6A7H3)BSA Free [NBP2-37347]

Western Blot: MRP4/ABCC4 Antibody (6A7H3) [NBP2-37347] - Analysis using ABCC4 mAb against HEK293 (1) and ABCC4 (AA: 631-692)-hIgGFc transfected HEK293 (2) cell lysate.
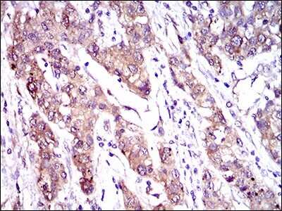
Immunohistochemistry-Paraffin: MRP4/ABCC4 Antibody (6A7H3) - BSA Free [NBP2-37347]

Immunohistochemistry-Paraffin: MRP4/ABCC4 Antibody (6A7H3) - BSA Free [NBP2-37347]

Immunohistochemistry-Paraffin: MRP4/ABCC4 Antibody (6A7H3) [NBP2-37347] - Analysis of esophagus cancer tissues using ABCC4 mouse mAb with DAB staining.
Flow Cytometry: MRP4/ABCC4 Antibody (6A7H3) - BSA Free [NBP2-37347]

Flow Cytometry: MRP4/ABCC4 Antibody (6A7H3) - BSA Free [NBP2-37347]

Flow Cytometry: MRP4/ABCC4 Antibody (6A7H3) [NBP2-37347] - Analysis of A549 cells using ABCC4 mouse mAb (green) and negative control (red).

Applications for MRP4/ABCC4 Antibody (6A7H3) - BSA Free

Application
Recommended Usage

ELISA

1:10000

Flow Cytometry

1:200 - 1:400

Immunohistochemistry

1:200 - 1:1000

Immunohistochemistry-Paraffin

1:200 - 1:1000

Western Blot

1:500 - 1:2000
Application Notes
This antibody is Cytof ready.

Formulation, Preparation, and Storage

Purification

Protein G purified

Formulation

PBS

Format

BSA Free

Preservative

0.05% Sodium Azide

Concentration

1 mg/ml

Shipping

The product is shipped with polar packs. Upon receipt, store it immediately at the temperature recommended below.

Stability & Storage

Store at 4C short term. Aliquot and store at -20C long term. Avoid freeze-thaw cycles.

Background: MRP4/ABCC4

MRP4 may be an organic anion pump relevant to cellular detoxification

Long Name

Multidrug Resistance-associated Protein 4

Alternate Names

ABCC4, MOATB

Gene Symbol

ABCC4

Additional MRP4/ABCC4 Products

Product Documents for MRP4/ABCC4 Antibody (6A7H3) - BSA Free

Certificate of Analysis

To download a Certificate of Analysis, please enter a lot number in the search box below.

Product Specific Notices for MRP4/ABCC4 Antibody (6A7H3) - BSA Free

This product is for research use only and is not approved for use in humans or in clinical diagnosis. Primary Antibodies are guaranteed for 1 year from date of receipt.

Loading...
Loading...
Loading...
Loading...
Loading...