Skip to main content

Key Product Details

Species Reactivity

Validated:

Mouse

Cited:

Human, Mouse

Applications

Validated:

Immunohistochemistry, Western Blot, Flow Cytometry, Immunocytochemistry, CyTOF-ready

Cited:

Immunohistochemistry, Western Blot, Flow Cytometry, Immunocytochemistry

Label

Unconjugated

Antibody Source

Polyclonal Goat IgG

Product Specifications

Immunogen

Mouse myeloma cell line NS0-derived recombinant mouse Syndecan‑1/CD138 isoform 1
Gln18-Glu252
Accession # P18828

Specificity

Detects mouse Syndecan‑1/CD138 in direct ELISAs and Western blots. In Western blots, approximately 5% cross-reactivity with recombinant human (rh) Syndecan-1 is observed and less than 1% cross-reactivity with rhSyndecan-2, recombinant mouse (rm) Syndecan-3 and rmSyndecan-4 is observed.

Clonality

Polyclonal

Host

Goat

Isotype

IgG

Scientific Data Images for Mouse Syndecan-1/CD138 Antibody

Syndecan-1/CD138 antibody in NMuMG Mouse Cell Line by Immunocytochemistry (ICC).

Syndecan‑1/CD138 in NMuMG Mouse Cell Line.

Syndecan-1/CD138 was detected in immersion fixed NMuMG mouse mammary gland epithelial cell line using Mouse Syndecan-1/CD138 Antigen Affinity-purified Polyclonal Antibody (Catalog # AF3190) at 10 µg/mL for 3 hours at room temperature. Cells were stained using the NorthernLights™ 557-conjugated Anti-Goat IgG Secondary Antibody (yellow; Catalog # NL001) and counterstained with DAPI (blue). Specific staining was localized to cell surfaces and cytoplasm. View our protocol for Fluorescent ICC Staining of Cells on Coverslips.
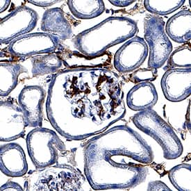
Syndecan-1/CD138 antibody in Mouse Kidney by Immunohistochemistry (IHC-Fr).

Syndecan‑1/CD138 in Mouse Kidney.

Syndecan-1/CD138 was detected in perfusion fixed frozen sections of mouse kidney using Goat Anti-Mouse Syndecan-1/CD138 Antigen Affinity-purified Polyclonal Antibody (Catalog # AF3190) at 3 µg/mL for 1 hour at room temperature followed by incubation with the Anti-Goat IgG VisUCyte™ HRP Polymer Antibody (Catalog # VC004). Tissue was stained using DAB (brown) and counterstained with hematoxylin (blue). Specific staining was localized to glomeruli and convoluted tubules. View our protocol for IHC Staining with VisUCyte HRP Polymer Detection Reagents.

Applications for Mouse Syndecan-1/CD138 Antibody

Application
Recommended Usage

CyTOF-ready

Ready to be labeled using established conjugation methods. No BSA or other carrier proteins that could interfere with conjugation.

Flow Cytometry

2.5 µg/106 cells
Sample: T1165 mouse plasmacytoma cell line

Immunocytochemistry

5-15 µg/mL
Sample: Immersion fixed NmuMG mouse normal mammary epithelial cell line

Immunohistochemistry

3-15 µg/mL
Sample: Perfusion fixed frozen sections of mouse kidney

Western Blot

0.1 µg/mL
Sample: Recombinant Mouse Syndecan-1/CD138 (Catalog # 3190-SD)

Reviewed Applications

Read 1 review rated 5 using AF3190 in the following applications:

Formulation, Preparation, and Storage

Purification

Antigen Affinity-purified

Reconstitution

Reconstitute at 0.2 mg/mL in sterile PBS. For liquid material, refer to CoA for concentration.

Reconstitution Buffer Available:
Size / Price
Qty
Loading...

Formulation

Lyophilized from a 0.2 μm filtered solution in PBS with Trehalose. *Small pack size (SP) is supplied either lyophilized or as a 0.2 µm filtered solution in PBS.

Shipping

Lyophilized product is shipped at ambient temperature. Liquid small pack size (-SP) is shipped with polar packs. Upon receipt, store immediately at the temperature recommended below.

Stability & Storage

Use a manual defrost freezer and avoid repeated freeze-thaw cycles.
  • 12 months from date of receipt, -20 to -70 °C as supplied.
  • 1 month, 2 to 8 °C under sterile conditions after reconstitution.
  • 6 months, -20 to -70 °C under sterile conditions after reconstitution.

Background: Syndecan-1/CD138

Syndecan-1 (also known as CD138) is a variably glycosylated, dimeric, type I transmembrane (TM) protein that belongs to the Syndecan family. It is synthesized as a 311 amino acid (aa) precursor that contains a 17 aa signal sequence, a 235 aa extracellular domain (ECD), a 25 aa TM segment, and a 34 aa cytoplasmic region. The ECD shows various degrees of heparan sulfate and chondroitin sulfate modification, leading to native molecular weights for Syndecan-1 of 120‑200 kDa. Proteolytic cleavage of the membrane-bound ECD yields soluble forms of approximately the same molecular weight. Syndecan-1 is an epithelial cell Syndecan involved in Wnt and chemokine signaling. The amino acid sequence of mouse Syndecan-1 ECD shares 71% identity with that of the ECD of both rat and human Syndecan-1.

Alternate Names

CD138, SDC1, Syndecan1

Entrez Gene IDs

6382 (Human); 20969 (Mouse); 100519770 (Porcine); 100338470 (Rabbit)

Gene Symbol

SDC1

UniProt

Additional Syndecan-1/CD138 Products

Product Documents for Mouse Syndecan-1/CD138 Antibody

Certificate of Analysis

To download a Certificate of Analysis, please enter a lot number in the search box below.

Note: Certificate of Analysis not available for kit components.

Product Specific Notices for Mouse Syndecan-1/CD138 Antibody

For research use only

Loading...
Loading...
Loading...
Loading...
Loading...