Skip to main content

Mouse PD-L1/B7-H1 Antibody

R&D Systems, part of Bio-Techne | Catalog # MAB90781

Recombinant Monoclonal Antibody.
R&D Systems, part of Bio-Techne
Catalog #
Availability
Size / Price
Qty
Loading...
MAB90781-100
MAB90781-SP

Key Product Details

Validated by

Biological Validation

Species Reactivity

Validated:

Mouse

Cited:

Human, Mouse, Xenograft

Applications

Validated:

Immunohistochemistry, Western Blot, Flow Cytometry

Cited:

Immunohistochemistry, Western Blot, Neutralization, Immunocytochemistry

Label

Unconjugated

Antibody Source

Recombinant Monoclonal Rabbit IgG Clone # 2096C

Product Specifications

Immunogen

Mouse myeloma cell line NS0-derived recombinant mouse PD-L1/B7-H1
Met1-His239
Accession # Q9EP73

Specificity

Detects mouse PD-L1/B7-H1 in direct ELISAs and Western blots.

Clonality

Monoclonal

Host

Rabbit

Isotype

IgG

Scientific Data Images for Mouse PD-L1/B7-H1 Antibody

Detection of Mouse PD-L1/B7-H1 antibody by Western Blot.

Detection of Mouse PD-L1/B7-H1 by Western Blot.

Western blot shows lysates of RAW 264.7 mouse monocyte/macrophage cell line and J774A.1 mouse reticulum cell sarcoma macrophage cell line untreated (-) or treated (+) with 10 µg/mL LPS for 4 hours. PVDF membrane was probed with 2 µg/mL of Rabbit Anti-Mouse PD-L1/B7-H1 Monoclonal Antibody (Catalog # MAB90781) followed by HRP-conjugated Anti-Rabbit IgG Secondary Antibody (Catalog # HAF008). A specific band was detected for PD-L1/B7-H1 at approximately 50-55 kDa (as indicated). This experiment was conducted under reducing conditions and using Immunoblot Buffer Group 1.
Detection of PD-L1/B7-H1 antibody in RAW 264.7 Mouse Cell Line antibody by Flow Cytometry.

Detection of PD-L1/B7-H1 in RAW 264.7 Mouse Cell Line by Flow Cytometry.

RAW 264.7 mouse monocyte/macrophage cell line either treated with LPS overnight (filled histogram) or untreated (open histogram) was stained with Rabbit Anti-Mouse PD-L1/B7-H1 Monoclonal Antibody (Catalog # MAB90781), followed by Allophycocyanin-conjugated Anti-Rabbit IgG Secondary Antibody (Catalog # F0111). View our protocol for Staining Membrane-associated Proteins.
Detection of PD-L1/B7-H1 antibody in HEK293 Human Cell Line Transfected with Mouse PD-L1/B7-H1 and eGFP antibody by Flow Cytometry.

Detection of PD-L1/B7-H1 in HEK293 Human Cell Line Transfected with Mouse PD-L1/B7-H1 and eGFP by Flow Cytometry.

HEK293 human embryonic kidney cell line transfected with either (A) mouse PD-L1/B7-H1 or (B) irrelevant transfectants and eGFP was stained with Rabbit Anti-Mouse PD-L1/B7-H1 Monoclonal Antibody (Catalog # MAB90781) followed by Allophycocyanin-conjugated Anti-Rabbit IgG Secondary Antibody (Catalog # F0111). Quadrant markers were set based on control antibody staining (Catalog # MAB1050). View our protocol for Staining Membrane-associated Proteins.

Applications for Mouse PD-L1/B7-H1 Antibody

Application
Recommended Usage

Flow Cytometry

0.25 µg/106 cells
Sample: RAW 264.7 mouse monocyte/macrophage cell line treated with LPS and HEK293 human embryonic kidney cell line transfected with mouse B7-H1/PD-L1

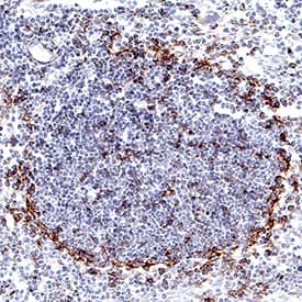
Immunohistochemistry

5-25 µg/mL
Sample:

Perfusion fixed frozen sections of mouse thymus

Western Blot

2 µg/mL
Sample: RAW 264.7 mouse monocyte/macrophage cell line and J774A.1 mouse reticulum cell sarcoma macrophage cell line treated with LPS

Reviewed Applications

Read 10 reviews rated 4.4 using MAB90781 in the following applications:

Formulation, Preparation, and Storage

Purification

Protein A or G purified from cell culture supernatant

Reconstitution

Reconstitute at 0.5 mg/mL in sterile PBS. For liquid material, refer to CoA for concentration.

Reconstitution Buffer Available:
Size / Price
Qty
Loading...

Formulation

Lyophilized from a 0.2 μm filtered solution in PBS with Trehalose. *Small pack size (SP) is supplied either lyophilized or as a 0.2 µm filtered solution in PBS.

Shipping

Lyophilized product is shipped at ambient temperature. Liquid small pack size (-SP) is shipped with polar packs. Upon receipt, store immediately at the temperature recommended below.

Stability & Storage

Use a manual defrost freezer and avoid repeated freeze-thaw cycles.
  • 12 months from date of receipt, -20 to -70 °C as supplied.
  • 1 month, 2 to 8 °C under sterile conditions after reconstitution.
  • 6 months, -20 to -70 °C under sterile conditions after reconstitution.

Background: PD-L1/B7-H1

Mouse B7 homolog 1(B7-H1), also called programmed death ligand 1 (PD-L1) and programmed cell death 1 ligand 1 (PDCD1L1), is a member of the B7 family of proteins that provide signals for regulating T-cell activation and tolerance (1-4). Other family members include B7-1, B7-2, B7-H2, B7-H3 and PD-L2. B7 proteins are immunoglobulin (Ig) superfamily members with extracellular Ig-V-like and Ig-C-like domains and a short cytoplasmic region. Among the family members, they share from 20-40% amino acid (aa) sequence identity. The cloned mouse B7-H1/PD-L1 cDNA encodes a 290 aa type I membrane precursor protein with a putative 18 aa signal peptide, a 220 aa extracellular region containing one V-like and one C-like Ig domain, a 22 aa transmembrane region, and a 30 aa cytoplasmic domain. Mouse and human B7-H1/PD-L1 share approximately 70% aa sequence identity. B7-H1/PD-L1 is one of two ligands for programmed death-1 (PD-1), a member of the CD28 family of immunoreceptors. The other identified ligand is PD-L2. Mouse B7-H1/PD-L1 and PD-L2 share approximately 34% aa sequence identity and have similar functions. B7-H1/PD-L1 is constitutively expressed in various lymphoid and non-lymphoid organs including placenta, heart, pancreas, lung, liver, and endothelium
(1‑4). The expression of B7-H1/PD-L1 is detected on B cells, T cells, monocytes, dendritic cells and thymic epithelial cells. IFN-gamma treatment induces B7-H1/PD-L1 expression in monocytes, dendritic cells, and endothelial cells. B7-H1/PD-L1 expression is also upregulated in a variety of tumor cell lines. On previously activated T cells, B7-H1/PD-L1 interaction with PD-1 inhibits TCR-mediated proliferation and cytokine production, suggesting an inhibitory role in regulating immune responses. In contrast, a costimulatory function for the PD-1 ligands on resting T cells has also beenreported (1-4).

References

  1. Tamura, H. et al. (2001) Blood 97:1809.
  2. Freeman, G. et al. (2000) J. Exp. Med. 192:1027.
  3. Sharpe, A.H. and G. J. Freeman (2002) Nat. Rev. Immunol. 2:116.
  4. Coyle, A. and J. Gutierrez-Ramos (2001) Nat. Immunol. 2:203.

Long Name

Programmed Death Ligand 1

Alternate Names

B7-H1, B7H1, CD274, PDCD1L1, PDCD1LG1, PDL1

Entrez Gene IDs

29126 (Human); 60533 (Mouse); 499342 (Rat); 574058 (Porcine); 484186 (Canine); 102145573 (Cynomolgus Monkey)

Gene Symbol

CD274

UniProt

Additional PD-L1/B7-H1 Products

Product Documents for Mouse PD-L1/B7-H1 Antibody

Certificate of Analysis

To download a Certificate of Analysis, please enter a lot number in the search box below.

Note: Certificate of Analysis not available for kit components.

Product Specific Notices for Mouse PD-L1/B7-H1 Antibody

For research use only

Loading...
Loading...
Loading...
Loading...
Loading...