Skip to main content

Mouse IL-1 beta/IL-1F2 Biotinylated Antibody

R&D Systems, part of Bio-Techne | Catalog # BAF401

R&D Systems, part of Bio-Techne

Key Product Details

Validated by

Biological Validation

Species Reactivity

Validated:

Mouse

Cited:

Human, Mouse, Transgenic Mouse

Applications

Validated:

Western Blot, ELISA Detection (Matched Antibody Pair)

Cited:

Western Blot, Bioassay, ELISA Capture, ELISA Detection, ELISA Development, ELISA Development (Detection), Luminex Development

Label

Biotin

Antibody Source

Polyclonal Goat IgG

Product Specifications

Immunogen

E. coli-derived recombinant mouse IL-1 beta (R&D Systems, Catalog # 401-ML)
Val118-Ser269
Accession # NP_032387

Specificity

Detects mouse IL-1 beta in ELISAs and Western blots. In sandwich immunoassays, less than 4% cross-reactivity with recombinant rat (rr) IL-1 beta is observed and less than 0.05% cross-reactivity with rhIL-1 beta and rmIL-1 alpha is observed.

Clonality

Polyclonal

Host

Goat

Isotype

IgG

Scientific Data Images for Mouse IL-1 beta/IL-1F2 Biotinylated Antibody

Detection of Mouse IL-1 beta/IL-1F2 by Western Blot

Detection of Mouse IL-1 beta/IL-1F2 by Western Blot

Adenosine mediates increase in pro-IL-1 beta via a HIF-1 alpha-dependent pathway. (a) Consensus NF kappaB and HRE binding sites in the IL-1 beta promoter. (b) LPS primed PECs obtained from A2AR-cKO and controls were stimulated with or without NECA or CGS21680. (c) LPS primed PECs obtained from HIF-1 alpha-cKO and controls were stimulated with or without NECA at time points as indicated. Cells were harvested and RNA isolated after each treatment and gene expression of Il1b and Hif1 alpha quantified by real-time PCR. (d) THP-1 cells were transfected with HRE- promoter luciferase construct and beta-galactosidase plasmid in the presence or absence of CREB dominant negative plasmid (CREB delta), and then primed with LPS/PMA followed by NECA. (e) THP-1 cells were transfected with human IL-1 beta promoter luciferase construct and beta-galactosidase plasmid in the presence or absence of CREB delta, and then primed with LPS/PMA followed by CGS21680 or NECA. Luciferase activities were measured and normalized to beta-galactosidase activity and normalized with controls. Data are mean± SD of triplicate cultures and are representative of three independent experiments. (f) CD14-MD2-TLR4- HEK 293 cells were transfected with NF kappaB promoter luciferase construct and Renilla luciferase (Rluc) control reporter vector, and then treated with CGS21680, NECA or ZM241395 in the presence of LPS, Luciferase activities were measured and normalized to Rluc activity and the normalized value with controls as indicated. Data are mean± SD of triplicate cultures and are representative of three independent experiments for b-f. (g) LPS primed PECs obtained from HIF-1 alpha-cKO and controls were treated with or without NECA at different time points as indicated followed pulsing with ATP. Cell supernatants were collected in 5 hrs after ATP pulsing. IL-1 beta was measured in cell supernatant by ELISA. Data are expressed as the mean ± SD from three independent experiments. (h) LPS primed PECs obtained from HIF-1 alpha-cKO and control mice were treated with or without NECA at different time points as indicated followed by pulsing with ATP. Cell lysates were collected after ATP pulsing. HIF-1 alpha, pro-caspase-1, Caspaspe-1 and pro-IL-1 beta was measured in cell supernatant by western blot. Immunoblots shown are representative results from at least three independent experiments. Image collected and cropped by CiteAb from the following publication (https://pubmed.ncbi.nlm.nih.gov/24352507), licensed under a CC-BY license. Not internally tested by R&D Systems.
Detection of Mouse IL-1 beta/IL-1F2 by Western Blot

Detection of Mouse IL-1 beta/IL-1F2 by Western Blot

Liver injury and fibrosis is dependent on A2A receptor signaling in macrophages(a)A2AR-cKO and control mice were injected intraperitoneally with LPS (1 mg/kg) and D-galactosamine (500 mg kg−1) for 6 hrs followed by liver tissue and serum collection for H&E staining and ALT assay. (b) Liver RNA samples were collected and Il1b gene assayed by real-time PCR using specific primers. (c) Liver tissue lysates were assayed for pro-caspase-1, cleaved caspase-1 (p10), and beta-actin protein level by immunoblot analysis using specific antibodies. Data are expressed as the mean ± SD from 10–11 mice from each group for a-d. (d) Serum was collected for measurement of IL-1 beta. (e)A2AR-cKO and control mice were injected intraperitoneally with single dose of TAA followed by liver tissue collection as indicated for H&E staining. (f) Liver RNA samples were collected and Il1b gene was assayed by real-time PCR. (g) Liver tissue was also obtained at day 7 after TAA injection and stained for H&E and Sirius red for fibrosis. (h) Sera were collected and the serum ALT assay was performed (Data are expressed as the mean ± SD from 5 mice in each group). * p <0.05 determined by Student’s t-test. Scale bars correspond to 500μm. Image collected and cropped by CiteAb from the following publication (https://pubmed.ncbi.nlm.nih.gov/24352507), licensed under a CC-BY license. Not internally tested by R&D Systems.
Detection of IL-1 beta/IL-1F2 by Western Blot

Detection of IL-1 beta/IL-1F2 by Western Blot

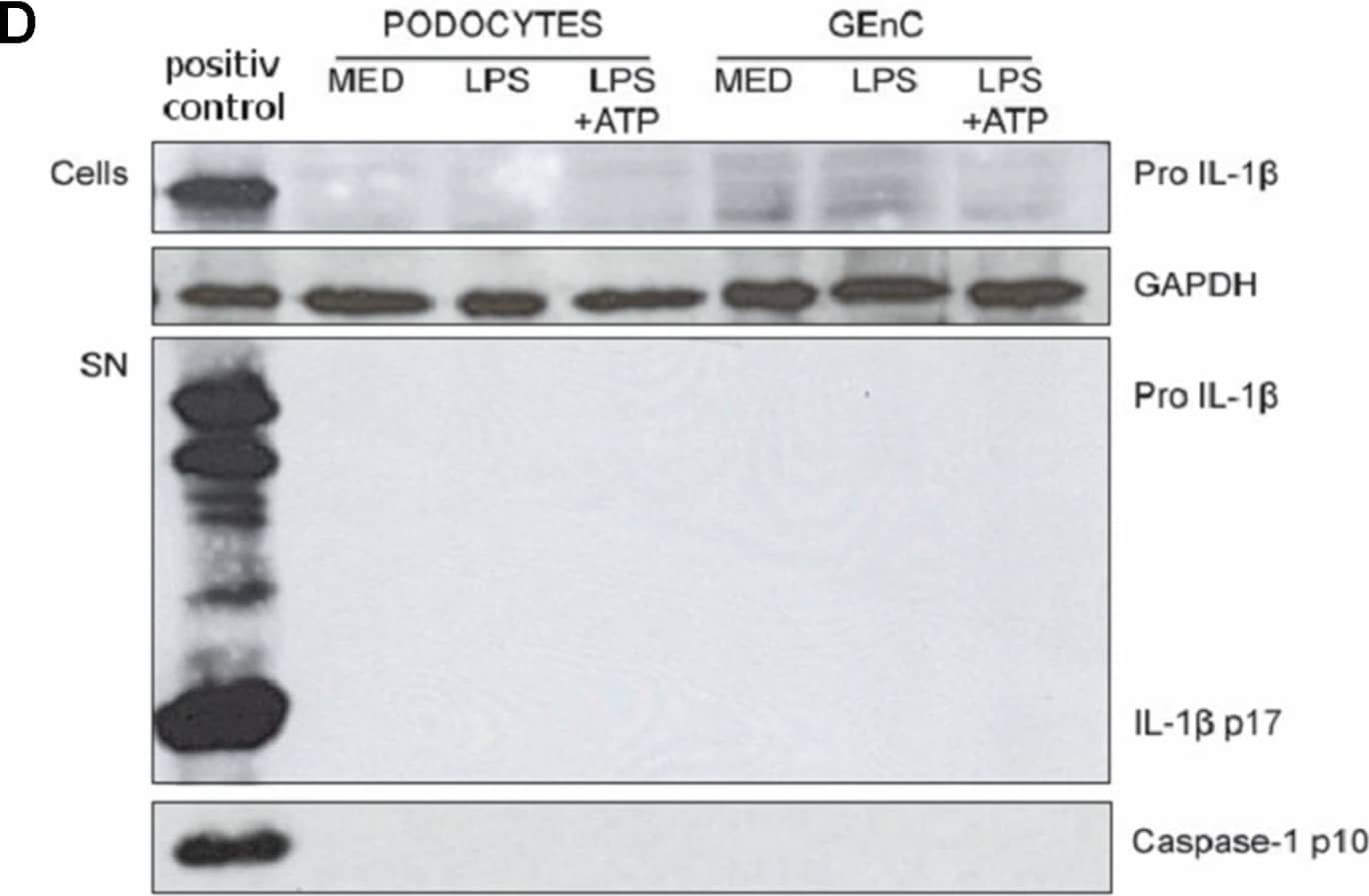
IL-1 beta release and caspase-1 activation in renal DC, but not in glomeruli and glomerular cells.A. IL-1 beta release from glomeruli isolated from healthy C57BL/6 wildtype mice, primary mesangial cells (PMC), podocytes, glomerular endothelial cells (GEnC), and renal dendritic cells (DC) stimulated with LPS or LPS followed by ATP was measured by ELISA. Bone marrow dendritic cells (BMDC) served as a positive control. Note that only renal DCs but none of the other glomerular cells released IL-1 beta after LPS/ATP stimulation. B–D. This was confirmed by Western blot for IL-1 beta. The blots illustrate the 37 kDa pro-IL-1 beta in the upper bands and the 17 kDa mature IL-1 beta in the lower bands. Western blot for caspase-1 illustrates the 10 kDa caspase-1 cleaved product which indicates caspase-1 activation. GAPDH is shown as a loading control. Stimulated bone marrow dendritic cells served as a positive control. Image collected and cropped by CiteAb from the following open publication (https://pubmed.ncbi.nlm.nih.gov/22046355), licensed under a CC-BY license. Not internally tested by R&D Systems.

Applications for Mouse IL-1 beta/IL-1F2 Biotinylated Antibody

Application
Recommended Usage

Western Blot

0.1 µg/mL
Sample: Recombinant Mouse IL-1 beta/IL-1F2 (Catalog # 401-ML)

Mouse IL-1 beta/IL-1F2 Sandwich Immunoassay

ELISA Detection (Matched Antibody Pair)
Recommended Concentration: 0.1-0.4 µg/mL
Use in combination with these reagents:
  • Capture Reagent: Mouse IL-1 beta/IL-1F2 Antibody (Catalog # MAB401)
  • Standard: Recombinant Mouse IL-1 beta/IL-1F2 Protein (Catalog # 401-ML)
Please Note: Optimal dilutions of this antibody should be experimentally determined.

Reviewed Applications

Read 1 review rated 5 using BAF401 in the following applications:

Formulation, Preparation, and Storage

Purification

Antigen Affinity-purified

Reconstitution

Reconstitute at 0.2 mg/mL in sterile PBS.

Reconstitution Buffer Available:
Size / Price
Qty
Loading...

Formulation

Lyophilized from a 0.2 μm filtered solution in PBS with BSA as a carrier protein.

Shipping

The product is shipped at ambient temperature. Upon receipt, store it immediately at the temperature recommended below.

Stability & Storage

Use a manual defrost freezer and avoid repeated freeze-thaw cycles.
  • 12 months from date of receipt, -20 to -70 °C as supplied.
  • 1 month, 2 to 8 °C under sterile conditions after reconstitution.
  • 6 months, -20 to -70 °C under sterile conditions after reconstitution.

Background: IL-1 beta/IL-1F2

IL-1 is a name that designates two pleiotropic cytokines, IL-1 alpha (IL-1F1) and IL-1 beta (IL-1F2, IL1B), which are the products of distinct genes. IL-1 alpha and IL-1 beta are structurally related polypeptides that share approximately 17% amino acid (aa) identity in mouse. Both proteins are produced by a wide variety of cells in response to inflammatory agents, infections, or microbial endotoxins. While IL-1 alpha and IL-1 beta are regulated independently, they bind to the same receptor and exert identical biological effects. IL-1 RI binds directly to IL-1 alpha or IL-1 beta and then associates with IL-1 R accessory protein (IL-1 R3/IL-1 R AcP) to form a high-affinity receptor complex that is competent for signal transduction. IL-1 RII has high affinity for IL-1 beta but functions as a decoy receptor and negative regulator of IL-1 beta activity. IL-1ra functions as a competitive antagonist by preventing IL-1 alpha and IL-1 beta from interacting with IL-1 RI. Intracellular cleavage of the IL-1 beta precursor by Caspase-1/ICE is a key step in the inflammatory response. The 17 kDa molecular weight mature mouse IL-1 beta shares 90% aa sequence identity with cotton rat and rat and 67%-78% with canine, equine, feline, human, porcine, and rhesus macaque IL-1 beta. IL-1 beta functions in a central role in immune and inflammatory responses, bone remodeling, fever, carbohydrate metabolism, and GH/IGF-I physiology. IL-1 beta dysregulation is implicated in many pathological conditions including sepsis, rheumatoid arthritis, inflammatory bowel disease, acute and chronic myelogenous leukemia, insulin-dependent diabetes mellitus, atherosclerosis, neuronal injury, and aging-related diseases.

Long Name

Interleukin 1 beta

Alternate Names

IL-1b, IL-1F2, IL1 beta, IL1B

Entrez Gene IDs

3553 (Human); 16176 (Mouse); 24494 (Rat); 397122 (Porcine); 403974 (Canine); 100034237 (Equine); 100135556 (Guinea Pig)

Gene Symbol

IL1B

UniProt

Additional IL-1 beta/IL-1F2 Products

Product Documents for Mouse IL-1 beta/IL-1F2 Biotinylated Antibody

Certificate of Analysis

To download a Certificate of Analysis, please enter a lot number in the search box below.

Note: Certificate of Analysis not available for kit components.

Product Specific Notices for Mouse IL-1 beta/IL-1F2 Biotinylated Antibody

For research use only

Loading...
Loading...
Loading...
Loading...
Loading...