Skip to main content

Key Product Details

Species Reactivity

Validated:

Mouse

Cited:

Mouse, Transgenic Mouse

Applications

Validated:

Immunohistochemistry, Western Blot, Simple Western

Cited:

Immunohistochemistry, Immunohistochemistry-Frozen, Western Blot, Direct ELISA, Neutralization, Immunoprecipitation

Label

Unconjugated

Antibody Source

Polyclonal Sheep IgG

Product Specifications

Immunogen

E. coli-derived recombinant mouse Cyr61/CCN1
Asp176-Gly281
Accession # NP_034646

Specificity

Detects mouse Cyr61/CCN1 in direct ELISAs and Western blots. In direct ELISAs, this antibody shows approximately 10% cross-reactivity with recombinant human Cyr61/CCN1.

Clonality

Polyclonal

Host

Sheep

Isotype

IgG

Scientific Data Images for Mouse Cyr61/CCN1 Antibody

Detection of Mouse Cyr61/CCN1 antibody by Western Blot.

Detection of Mouse Cyr61/CCN1 by Western Blot.

Western blot shows lysates of mouse spleenocyte cell, RAW 264.7 mouse monocyte/macrophage cell line, NIH-3T3 mouse embryonic fibroblast cell line, and A20 mouse B cell lymphoma cell line. PVDF membrane was probed with 1 µg/mL of Mouse Cyr61/CCN1 Antigen Affinity-purified Polyclonal Antibody (Catalog # AF4055) followed by HRP-conjugated Anti-Sheep IgG Secondary Antibody (Catalog # HAF016). A specific band was detected for Cyr61/CCN1 at approximately 50 kDa (as indicated). This experiment was conducted under reducing conditions and using Immunoblot Buffer Group 1.
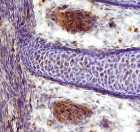
Cyr61/CCN1 antibody in Mouse Embryo by Immunohistochemistry (IHC-Fr).

Cyr61/CCN1 in Mouse Embryo.

Cyr61/CCN1 was detected in immersion fixed frozen sections of mouse embryo (13 d.p.c.) using 15 µg/mL Mouse Cyr61/CCN1 Antigen Affinity-purified Polyclonal Antibody (Catalog # AF4055) overnight at 4 °C. Tissue was stained with the Anti-Sheep HRP-DAB Cell & Tissue Staining Kit (brown; Catalog # CTS019) and counterstained with hematoxylin (blue). Specific labeling was localized to the cytoplasm of muscle cells. View our protocol for Chromogenic IHC Staining of Frozen Tissue Sections.
Detection of Mouse Cyr61/CCN1 antibody by Simple WesternTM.

Detection of Mouse Cyr61/CCN1 by Simple WesternTM.

Simple Western lane view shows lysates of NIH-3T3 mouse embryonic fibroblast cell line, loaded at 0.2 mg/mL. A specific band was detected for Cyr61/CCN1 at approximately 51 kDa (as indicated) using 10 µg/mL of Sheep Anti-Mouse Cyr61/CCN1 Antigen Affinity-purified Polyclonal Antibody (Catalog # AF4055) followed by 1:50 dilution of HRP-conjugated Anti-Sheep IgG Secondary Antibody (Catalog # HAF016). This experiment was conducted under reducing conditions and using the 12-230 kDa separation system.

Applications for Mouse Cyr61/CCN1 Antibody

Application
Recommended Usage

Immunohistochemistry

5-15 µg/mL
Sample: Immersion fixed frozen sections of mouse embryo (13 d.p.c.)

Simple Western

10 µg/mL
Sample: NIH‑3T3 mouse embryonic fibroblast cell line

Western Blot

1 µg/mL
Sample: Mouse spleenocyte cell, RAW 264.7 mouse monocyte/macrophage cell line, NIH-3T3 mouse embryonic fibroblast cell line, and A20 mouse B cell lymphoma cell line

Reviewed Applications

Read 2 reviews rated 5 using AF4055 in the following applications:

Formulation, Preparation, and Storage

Purification

Antigen Affinity-purified

Reconstitution

Reconstitute at 0.2 mg/mL in sterile PBS. For liquid material, refer to CoA for concentration.

Reconstitution Buffer Available:
Size / Price
Qty
Loading...

Formulation

Lyophilized from a 0.2 μm filtered solution in PBS with Trehalose. *Small pack size (SP) is supplied either lyophilized or as a 0.2 µm filtered solution in PBS.

Shipping

Lyophilized product is shipped at ambient temperature. Liquid small pack size (-SP) is shipped with polar packs. Upon receipt, store immediately at the temperature recommended below.

Stability & Storage

Use a manual defrost freezer and avoid repeated freeze-thaw cycles.
  • 12 months from date of receipt, -20 to -70 °C as supplied.
  • 1 month, 2 to 8 °C under sterile conditions after reconstitution.
  • 6 months, -20 to -70 °C under sterile conditions after reconstitution.

Background: Cyr61/CCN1

Cyr61, also known as IGFBP-10 and CCN1, is a 50 kDa secreted matrix- and cell-associated protein that regulates the growth and adhesion of vascular endothelial cells, fibroblasts, and monocytes. Cyr61 interacts with cells that express integrins alphaV beta3, alphaV beta5, alphaM beta2, and alpha6 beta1. Cyr61 is cleaved by plasmin within its VWF domain which generates an N-terminal fragment that is not associated with the matrix but retains the ability to induce endothelial cell migration. Cyr61 induces VEGF upregulation, angiogenesis, and tumorigenesis. Between amino acids 176‑281, mouse Cyr61 shares 87% and 97% amino acid sequence identity with human and rat Cyr61, respectively.

Long Name

Cysteine-Rich, Angiogenic Inducer 61

Alternate Names

CCN1, GIG1, IGFBP-10

Entrez Gene IDs

3491 (Human); 16007 (Mouse); 83476 (Rat)

Gene Symbol

CCN1

UniProt

Additional Cyr61/CCN1 Products

Product Documents for Mouse Cyr61/CCN1 Antibody

Certificate of Analysis

To download a Certificate of Analysis, please enter a lot number in the search box below.

Note: Certificate of Analysis not available for kit components.

Product Specific Notices for Mouse Cyr61/CCN1 Antibody

For research use only

Loading...
Loading...
Loading...
Loading...