Skip to main content

Mouse CXCR4 Antibody

R&D Systems, part of Bio-Techne | Catalog # MAB21651

R&D Systems, part of Bio-Techne
Catalog #
Availability
Size / Price
Qty
Loading...
MAB21651-100
MAB21651-500
MAB21651-SP

Key Product Details

Validated by

Biological Validation

Species Reactivity

Validated:

Mouse

Cited:

Human, Mouse, Rat, Transgenic Mouse

Applications

Validated:

Immunohistochemistry, Neutralization, Flow Cytometry, Immunocytochemistry, CyTOF-ready

Cited:

Immunohistochemistry, Immunohistochemistry-Paraffin, Immunohistochemistry-Frozen, Western Blot, Neutralization, Flow Cytometry, Immunocytochemistry, Bioassay, In vivo assay

Label

Unconjugated

Antibody Source

Monoclonal Rat IgG2B Clone # 247506

Product Specifications

Immunogen

Y3 rat myeloid cell line transfected with mouse CXCR4
Met1-Ser359
Accession # P70658

Specificity

Detects mouse CXCR4 transfectants. Does not stain irrelevant transfectants.

Clonality

Monoclonal

Host

Rat

Isotype

IgG2B

Endotoxin Level

<0.10 EU per 1 μg of the antibody by the LAL method.

Scientific Data Images for Mouse CXCR4 Antibody

Detection of CXCR4 antibody in Mouse Thymocytes antibody by Flow Cytometry.

Detection of CXCR4 in Mouse Thymocytes by Flow Cytometry.

Mouse thymocytes were stained with (A) Rat Anti-Mouse CXCR4 Monoclonal Antibody (Catalog # MAB21651) or (B) Rat IgG2B isotype control antibody (Catalog # MAB0061) followed by anti-Rat IgG PE-conjugated Secondary Antibody (Catalog # F0105B) and Rat anti-Mouse CD8 alpha APC-conjugated Monoclonal Antibody (Catalog # FAB116A). View our protocol for Staining Membrane-associated Proteins.
CXCR4 antibody in Mouse Neural Progenitor Cells by Immunocytochemistry (ICC).

CXCR4 in Mouse Neural Progenitor Cells.

CXCR4 was detected in immersion fixed mouse neural progenitor cells using 10 µg/mL Rat Anti-Mouse CXCR4 Monoclonal Antibody (Catalog # MAB21651) for 3 hours at room temperature. Cells were stained with the NorthernLights™ 557-conjugated Anti-Rat IgG Secondary Antibody (red; Catalog # NL013) and counterstained with DAPI (blue). View our protocol for Fluorescent ICC Staining of Cells on Coverslips.
CXCR4 antibody in Mouse Splenocytes by Immunocytochemistry (ICC).

CXCR4 in Mouse Splenocytes.

CXCR4 was detected in immersion fixed mouse splenocytes using 10 µg/mL Rat Anti-Mouse CXCR4 Monoclonal Antibody (Catalog # MAB21651) for 3 hours at room temperature. Cells were stained with the NorthernLights™ 557-conjugated Anti-Rat IgG Secondary Antibody (red; Catalog # NL013) and counterstained with DAPI (blue). View our protocol for Fluorescent ICC Staining of Non-adherent Cells.

Applications for Mouse CXCR4 Antibody

Application
Recommended Usage

CyTOF-ready

Ready to be labeled using established conjugation methods. No BSA or other carrier proteins that could interfere with conjugation.

Flow Cytometry

0.25 µg/106 cells
Sample: Mouse thymocytes

Immunocytochemistry

8-25 µg/mL
Sample: Immersion fixed mouse neural progenitor cells and immersion fixed mouse splenocytes

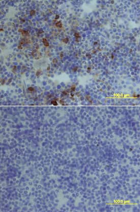
Immunohistochemistry

8-25 µg/mL
Sample: Immersion fixed frozen sections of mouse spleen

Neutralization

Measured by its ability to neutralize CXCL12/SDF‑1 alpha-induced chemotaxis in the BaF3 mouse pro‑B cell line transfected with mouse CXCR4. The Neutralization Dose (ND50) is typically 8‑40 µg/mL in the presence of 10 ng/mL Recombinant Mouse CXCL12/SDF‑1 alpha.

Reviewed Applications

Read 5 reviews rated 4.4 using MAB21651 in the following applications:

Formulation, Preparation, and Storage

Purification

Protein A or G purified from hybridoma culture supernatant

Reconstitution

Reconstitute at 0.5 mg/mL in sterile PBS. For liquid material, refer to CoA for concentration.

Reconstitution Buffer Available:
Size / Price
Qty
Loading...

Formulation

Lyophilized from a 0.2 μm filtered solution in PBS with Trehalose. *Small pack size (SP) is supplied either lyophilized or as a 0.2 µm filtered solution in PBS.

Shipping

Lyophilized product is shipped at ambient temperature. Liquid small pack size (-SP) is shipped with polar packs. Upon receipt, store immediately at the temperature recommended below.

Stability & Storage

Use a manual defrost freezer and avoid repeated freeze-thaw cycles.
  • 12 months from date of receipt, -20 to -70 °C as supplied.
  • 1 month, 2 to 8 °C under sterile conditions after reconstitution.
  • 6 months, -20 to -70 °C under sterile conditions after reconstitution.

Background: CXCR4

CXCR4, also known as CD184, is a G-protein-linked seven transmembrane spanning receptor that binds stromal cell-derived factor-1 (SDF-1). CXCR4 acts as a co-factor for T-cell tropic HIV-1 and -2 viral entry into cells. While primarily a membrane protein, CXCR4 undergoes trafficking and internalization in response to stimulation with phorbol esters and ligand (1). Cytoplasmic and nuclear localization of CXCR4 has been observed in colorectal and renal carcinomas (2,3) and it has been used as the basis of prognosis and metastatic state (3,4,5).

References

  1. Orsini, M.J. et al. (1999) J. Biol. Chem. 274:31076.
  2. Zagzag, D. et al. (2005) Cancer Res. 65:6178.
  3. Speetjens, F.M. et al. (2009) Cancer Microenvironment 2:1.
  4. Wang, L. et al. (2009) Oncology Reports 22:1333.
  5. Amara, S. et al. (2015) Cancer Biomark. 15:869.

Long Name

C-X-C Motif Chemokine Receptor 4

Alternate Names

CD184, D2S201E, FB22, Fusin, HM89, HSY3RR, LAP-3, LAP3, LCR1, LESTR, NPY3R, NPYRL, NPYY3R, WHIMS

Entrez Gene IDs

7852 (Human); 12767 (Mouse); 60628 (Rat); 483900 (Canine); 493676 (Feline)

Gene Symbol

CXCR4

UniProt

Additional CXCR4 Products

Product Documents for Mouse CXCR4 Antibody

Certificate of Analysis

To download a Certificate of Analysis, please enter a lot number in the search box below.

Note: Certificate of Analysis not available for kit components.

Product Specific Notices for Mouse CXCR4 Antibody

For research use only

Loading...
Loading...
Loading...
Loading...
Loading...