Skip to main content

MMR/CD206/Mannose Receptor Antibody (CL0387) - BSA Free

Novus Biologicals, part of Bio-Techne | Catalog # NBP2-52927

Novus Biologicals, part of Bio-Techne
Catalog #
Availability
Size / Price
Qty
Loading...
NBP2-52927-25ul
NBP2-52927

Key Product Details

Validated by

Orthogonal Validation

Species Reactivity

Validated:

Human

Cited:

Human

Applications

Validated:

Immunohistochemistry, Immunohistochemistry-Paraffin, Western Blot

Cited:

Immunohistochemistry-Paraffin

Label

Unconjugated

Antibody Source

Monoclonal Mouse IgG2B Clone # CL0387

Format

BSA Free

Concentration

Concentrations vary lot to lot. See vial label for concentration. If unlisted please contact technical services.

Product Specifications

Immunogen

This antibody was developed using a recombinant protein derived from P22897, with the exact immunogen sequence remaining proprietary.

Reactivity Notes

Immunogen displays the following percentage of sequence identity for non-tested species: Mouse (84%), Rat (86%).

Clonality

Monoclonal

Host

Mouse

Isotype

IgG2B

Description

Novus Biologicals Mouse MMR/CD206/Mannose Receptor Antibody (CL0387) - BSA Free (NBP2-52927) is a monoclonal antibody validated for use in IHC and WB. Anti-MMR/CD206/Mannose Receptor Antibody: Cited in 1 publication. All Novus Biologicals antibodies are covered by our 100% guarantee.

Scientific Data Images for MMR/CD206/Mannose Receptor Antibody (CL0387) - BSA Free

MMR/CD206/Mannose Receptor Antibody (CL0387)

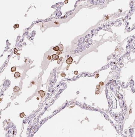
Immunohistochemistry-Paraffin: MMR/CD206/Mannose Receptor Antibody (CL0387) [NBP2-52927] -

Immunohistochemistry-Paraffin: MMR/CD206/Mannose Receptor Antibody (CL0387) [NBP2-52927] -Analysis in human lung and skeletal muscle tissues using NBP2-52927 antibody. Corresponding MRC1 RNA-seq data are presented for the same tissues.
Western Blot: MMR/CD206/Mannose Receptor Antibody (CL0387) [NBP2-52927]

Western Blot: MMR/CD206/Mannose Receptor Antibody (CL0387) [NBP2-52927]

Western Blot: MMR/CD206/Mannose Receptor Antibody (CL0387) [NBP2-52927] - Lane 1: Marker [kDa], Lane 2: Human liver tissue lysate
MMR/CD206/Mannose Receptor Antibody (CL0387)

Immunohistochemistry-Paraffin: MMR/CD206/Mannose Receptor Antibody (CL0387) [NBP2-52927] -

Immunohistochemistry-Paraffin: MMR/CD206/Mannose Receptor Antibody (CL0387) [NBP2-52927] -Staining of human lung shows strong membranous positivity in macrophages.

Applications for MMR/CD206/Mannose Receptor Antibody (CL0387) - BSA Free

Application
Recommended Usage

Immunohistochemistry

1:2500 - 1:5000

Immunohistochemistry-Paraffin

1:2500 - 1:5000

Western Blot

1 ug/ml
Application Notes
For IHC-Paraffin, HIER pH 6 retrieval is recommended.

Reviewed Applications

Read 1 review rated 5 using NBP2-52927 in the following applications:

Formulation, Preparation, and Storage

Purification

Protein A purified

Formulation

PBS (pH 7.2) and 40% Glycerol

Format

BSA Free

Preservative

0.02% Sodium Azide

Concentration

Concentrations vary lot to lot. See vial label for concentration. If unlisted please contact technical services.

Shipping

The product is shipped with polar packs. Upon receipt, store it immediately at the temperature recommended below.

Stability & Storage

Store at 4C short term. Aliquot and store at -20C long term. Avoid freeze-thaw cycles.

Background: MMR/CD206

The Mannose Receptor (MR), a member of the vertebrate C-type lectin family, is a pattern recognition receptor that is involved in both innate and adaptive immunity. The 180 kDa transmembrane protein consists of 5 domains: an amino-terminal cysteine-rich region, a fibronectin type II repeat, a series of eight tandem lectin-like carbohydrate recognition domains (responsible for the recognition of mannose and fucose), a transmembrane domain, and an intracellular carboxy-terminal tail.The structure is shared by the family of multi lectin mannose receptors: the phospholipase A2-receptor, DEC 205 and the novel C-type lectin receptor (mannose receptor X). The MR recognises a wide range of gram positive and gram negative bacteria, yeasts, parasites and mycobacteria. The MR has also been shown to bind and internalize tissue-type plasminogen activator. MR's are present on monocytes and dendritic cells (DC) and are presumed to play a role in innate and adaptive immunity, the latter via processing by DC. The expression of MR as observed in immunohistology is present on tissue macrophages, dendritic cells, a subpopulation of endothelial cells, Kupffer cells and sperm cells. The expression of MR on monocytes increases during culture and can be enhanced by cytokines such as IFN-gamma. Labeling of MR expressing monocytes/macrophages increases with prolonged incubation time probably due to internalization of the MR-antibody-complex. The antibody 15-2 prevents binding of glycoproteins including t-PA to MR. Detection of the MR with anti-MR monoclonal antibody 15-2 can substitute staining for mannose containing probes as labeled mannosylated BSA, a technique which is more cumbersome and less specific.

Long Name

Macrophage Mannose Receptor

Alternate Names

CD206, CLEC13D, MRC1

Gene Symbol

MRC1

Additional MMR/CD206 Products

Product Documents for MMR/CD206/Mannose Receptor Antibody (CL0387) - BSA Free

Certificate of Analysis

To download a Certificate of Analysis, please enter a lot number in the search box below.

Product Specific Notices for MMR/CD206/Mannose Receptor Antibody (CL0387) - BSA Free

This product is for research use only and is not approved for use in humans or in clinical diagnosis. Primary Antibodies are guaranteed for 1 year from date of receipt.

Loading...
Loading...
Loading...
Loading...