Skip to main content

MMP-9 Antibody (rMMP9/1769)

Novus Biologicals, part of Bio-Techne | Catalog # NBP3-48938

Recombinant Monoclonal Antibody
Novus Biologicals, part of Bio-Techne
Catalog #
Availability
Size / Price
Qty
Loading...
NBP3-48938-100ug
NBP3-48938-20ug

Key Product Details

Species Reactivity

Human

Applications

Immunohistochemistry

Label

Unconjugated

Antibody Source

Recombinant Monoclonal Mouse IgG1 kappa Clone # rMMP9/1769 expressed in HEK293

Concentration

Please see the vial label for concentration. If unlisted please contact technical services.

Product Specifications

Immunogen

Recombinant full-length human MMP-9 protein (Uniprot: P14780)

Localization

Extracellular matrix, Extracellular space, Secreted

Clonality

Monoclonal

Host

Mouse

Isotype

IgG1 kappa

Theoretical MW

92 kDa.
Disclaimer note: The observed molecular weight of the protein may vary from the listed predicted molecular weight due to post translational modifications, post translation cleavages, relative charges, and other experimental factors.

Description

Prepared in 10mM PBS with 0.05% BSA & 0.05% azide. Also available WITHOUT BSA & azide at 1.0mg/ml.

Antibody with azide - store at 2 to 8 C. Antibody without azide - store at -20 to -80 C. Antibody is stable for 24 months. Non-hazardous. No MSDS required.

Scientific Data Images for MMP-9 Antibody (rMMP9/1769)

MMP-9 Antibody (rMMP9/1769)

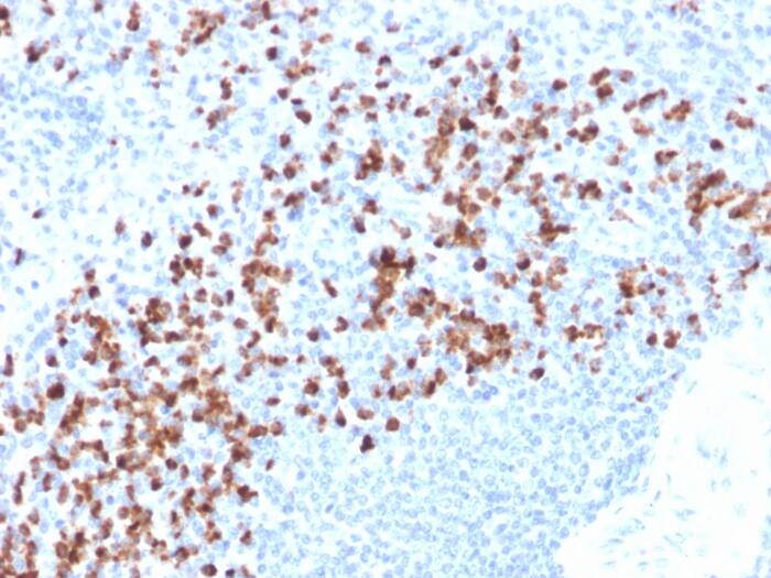
Immunohistochemistry-Paraffin: MMP-9 Antibody (rMMP9/1769) [NBP3-48938] -

Formalin-fixed, paraffin-embedded human spleen stained with MMP-9 Antibody (rMMP9/1769).

Applications for MMP-9 Antibody (rMMP9/1769)

Application
Recommended Usage

Immunohistochemistry

Optimal dilutions of this antibody should be experimentally determined.

Formulation, Preparation, and Storage

Purification

Protein A or G purified

Formulation

10 mM PBS with 0.05% BSA

Preservative

0.05% Sodium Azide

Concentration

Please see the vial label for concentration. If unlisted please contact technical services.

Shipping

The product is shipped with polar packs. Upon receipt, store it immediately at the temperature recommended below.

Stability & Storage

Store at 4C.

Background: MMP-9

Matrix metalloproteinases (MMPs) are zinc-dependent endopeptidases that degrade substances within the extracellular matrix. The MMP family includes six different groups of enzymes: collagenases, gelatinases, stromelysins, transmembrane MMPs, matrilysins and others. MMPs are secreted as proenzymes that have to be cleaved in order to be activated. Other MMPs, plasmins as well as other factors activate MMPs. MMPs are thought to play an important role in tissue remodeling associated with various physiological and pathological processes. MMP9 degrades of proteins in the extracellular matrix and activates growth factors like proTGF beta and proTNF alpha. MMP9 contributes to the invasion and metastasis of various human malignancies.

Long Name

Matrix Metalloproteinase 9

Alternate Names

CLG4B, Gelatinase B, GELB, MANDP2, MMP9

Gene Symbol

MMP9

Additional MMP-9 Products

Product Documents for MMP-9 Antibody (rMMP9/1769)

Certificate of Analysis

To download a Certificate of Analysis, please enter a lot number in the search box below.

Product Specific Notices for MMP-9 Antibody (rMMP9/1769)

This product is for research use only and is not approved for use in humans or in clinical diagnosis. Primary Antibodies are guaranteed for 1 year from date of receipt.

Loading...
Loading...
Loading...
Loading...
Loading...