Skip to main content

MMP-2 Antibody - BSA Free

Novus Biologicals, part of Bio-Techne | Catalog # NBP2-54667

Novus Biologicals, part of Bio-Techne
Catalog #
Availability
Size / Price
Qty
Loading...
NBP2-54667
NBP2-54667-25ul

Key Product Details

Species Reactivity

Validated:

Human

Predicted:

Mouse (94%), Rat (93%). Backed by our 100% Guarantee.

Applications

Immunohistochemistry, Immunohistochemistry-Paraffin, Western Blot

Label

Unconjugated

Antibody Source

Polyclonal Rabbit IgG

Format

BSA Free

Concentration

Concentrations vary lot to lot. See vial label for concentration. If unlisted please contact technical services.

Product Specifications

Immunogen

This antibody was developed against a Recombinant Protein corresponding to amino acids: YGASPDIDLGTGPTPTLGPVTPEICKQDIVFDGIAQIRGEIFFFKDRFIWRTVTPRDKPMGPLLVATFWPELPEKIDAVYEAPQEEKAVFFAGNEYWIYSASTLERGYPKPLTSLGLPPDVQRVDAAFNWS

Clonality

Polyclonal

Host

Rabbit

Isotype

IgG

Description

Novus Biologicals Rabbit MMP-2 Antibody - BSA Free (NBP2-54667) is a polyclonal antibody validated for use in IHC and WB. All Novus Biologicals antibodies are covered by our 100% guarantee.

Scientific Data Images for MMP-2 Antibody - BSA Free

Western Blot: MMP-2 Antibody [NBP2-54667]

Western Blot: MMP-2 Antibody [NBP2-54667]

Western Blot: MMP-2 Antibody [NBP2-54667] - Analysis in human cell line U-87 MG.
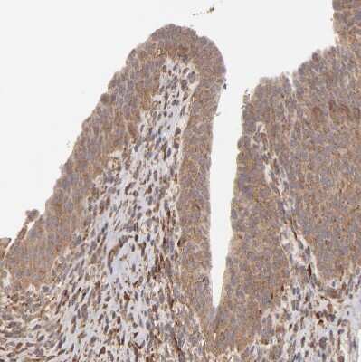
Immunohistochemistry-Paraffin: MMP-2 Antibody [NBP2-54667]

Immunohistochemistry-Paraffin: MMP-2 Antibody [NBP2-54667]

Immunohistochemistry-Paraffin: MMP-2 Antibody [NBP2-54667] - Staining of human urinary bladder shows weak to moderate cytoplasmic positivity in urothelial cells.
Immunohistochemistry-Paraffin: MMP-2 Antibody [NBP2-54667]

Immunohistochemistry-Paraffin: MMP-2 Antibody [NBP2-54667]

Immunohistochemistry-Paraffin: MMP-2 Antibody [NBP2-54667] - Staining of human endometrium shows weak to moderate cytoplasmic positivity in glandular cells.

Applications for MMP-2 Antibody - BSA Free

Application
Recommended Usage

Immunohistochemistry

1:50 - 1:200

Immunohistochemistry-Paraffin

1:50 - 1:200

Western Blot

0.04-0.4 ug/ml
Application Notes
For IHC-Paraffin, HIER pH 6 retrieval is recommended.

Formulation, Preparation, and Storage

Purification

Immunogen affinity purified

Formulation

PBS (pH 7.2) and 40% Glycerol

Format

BSA Free

Preservative

0.02% Sodium Azide

Concentration

Concentrations vary lot to lot. See vial label for concentration. If unlisted please contact technical services.

Shipping

The product is shipped with polar packs. Upon receipt, store it immediately at the temperature recommended below.

Stability & Storage

Store at 4C short term. Aliquot and store at -20C long term. Avoid freeze-thaw cycles.

Background: MMP-2

MMP2 is a member of the Matrix Metalloproteinase (MMP) family, which are involved in extracellular matrix degradation under both normal physiological and disease processes. Specifically, MMP-2 is responsible for degrading collagens type IV, V, VII, and X and gelatin type I. Other reported functions of MMP 2 include angiogenesis, tumor invasion, tissue repair, remodeling of the vasculature, inflammation, and atherosclerotic plaque rupture. MMP-2 secretion is activated by the Ras signaling pathway. MMP2 triggers cells to begin migration by cleaving laminin-5 and exposing an integrin-binding site on the epithelial basement membrane. The cleaved of laminin has been detected in tumors and in tissues being altered, howver the activated form of MMP2 is not found in benign tumors. Thus, detection of MMP2 is a possible early indicator of tumor activity. MMP2 is most strongly expressed in normal skin fibroblasts, but may also be found in gliomas, breast and prostate tumors. Mutations in the MMP-2 gene have been linked to Torg-Winchester syndrome, Nodulosis-Arthropathy-Osteolysis (NAO) syndrome, and arthritis. Additionally, abnormal expression of matrix matalloproteinases have been associated with neoplastic traits such as loss of negative growth regulation and high invasive potential.

Long Name

Matrix Metalloproteinase 2

Alternate Names

Gelatinase A, MMP2

Gene Symbol

MMP2

Additional MMP-2 Products

Product Documents for MMP-2 Antibody - BSA Free

Certificate of Analysis

To download a Certificate of Analysis, please enter a lot number in the search box below.

Product Specific Notices for MMP-2 Antibody - BSA Free

This product is for research use only and is not approved for use in humans or in clinical diagnosis. Primary Antibodies are guaranteed for 1 year from date of receipt.

Loading...
Loading...
Loading...
Loading...