Skip to main content

MIST1 Antibody - BSA Free

Novus Biologicals, part of Bio-Techne | Catalog # NBP2-82007

Novus Biologicals, part of Bio-Techne

Key Product Details

Species Reactivity

Human, Mouse, Rat

Applications

Immunohistochemistry, Immunohistochemistry-Paraffin, Western Blot, ELISA, Immunocytochemistry/ Immunofluorescence

Label

Unconjugated

Antibody Source

Polyclonal Rabbit IgG

Format

BSA Free

Concentration

1 mg/ml

Product Specifications

Immunogen

MIST1 antibody was raised against a 18 amino acid peptide near the center of human MIST1. The immunogen is located within amino acids 60 - 110 of MIST1. Amino Acid Squence: SIQRRLESNERERQRMHK

Clonality

Polyclonal

Host

Rabbit

Isotype

IgG

Theoretical MW

24 kDa.
Disclaimer note: The observed molecular weight of the protein may vary from the listed predicted molecular weight due to post translational modifications, post translation cleavages, relative charges, and other experimental factors.

Description

Novus Biologicals Rabbit MIST1 Antibody - BSA Free (NBP2-82007) is a polyclonal antibody validated for use in IHC, WB, ELISA and ICC/IF. All Novus Biologicals antibodies are covered by our 100% guarantee.

Scientific Data Images for MIST1 Antibody - BSA Free

Western Blot: MIST1 AntibodyBSA Free [NBP2-82007]

Western Blot: MIST1 AntibodyBSA Free [NBP2-82007]

Western Blot: MIST1 Antibody [NBP2-82007] - Analysis of MIST1 in rat small intestine tissue lysate with MIST1 Antibody at 1 ug/ml in (A) the absence and (B) the presence of blocking peptide.
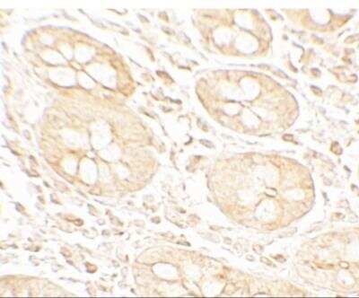
Immunohistochemistry: MIST1 Antibody - BSA Free [NBP2-82007]

Immunohistochemistry: MIST1 Antibody - BSA Free [NBP2-82007]

Immunohistochemistry: MIST1 Antibody [NBP2-82007] - Analysis of MIST1 in human small intestine tissue with MIST1 antibody at 5 ug/ml.
MIST1 Antibody - BSA Free

Immunohistochemistry: MIST1 Antibody - BSA Free [NBP2-82007] -

Immunohistochemistry: MIST1 Antibody - BSA Free [NBP2-82007] - Immunohistochemistry of MIST1 in human small intestine tissue with MIST1 antibody at 5 u/mL.

Applications for MIST1 Antibody - BSA Free

Application
Recommended Usage

Immunocytochemistry/ Immunofluorescence

20 ug/ml

Immunohistochemistry

5 ug/ml

Western Blot

1-2 ug/ml

Formulation, Preparation, and Storage

Purification

Peptide affinity purified

Formulation

PBS

Format

BSA Free

Preservative

0.02% Sodium Azide

Concentration

1 mg/ml

Shipping

The product is shipped with polar packs. Upon receipt, store it immediately at the temperature recommended below.

Stability & Storage

Store at 4C short term. Aliquot and store at -20C long term. Avoid freeze-thaw cycles.

Background: MIST1

MIST1 plays a role in controlling the transcriptional activity of MYOD1, ensuring that expanding myoblastpopulations remain undifferentiated. Repression may occur through muscle-specific E-box occupancy by homodimers. Mayalso negatively regulate bHLH-mediated t

Alternate Names

basic helix-loop-helix domain containing, class B, 8, basic helix-loop-helix family, member a15, bHLHa15, BHLHB8, class A basic helix-loop-helix protein 15, Class B basic helix-loop-helix protein 8, class II bHLH protein MIST1, MIST1MIST-1, Muscle, intestine and stomach expression 1

Gene Symbol

BHLHA15

Additional MIST1 Products

Product Documents for MIST1 Antibody - BSA Free

Certificate of Analysis

To download a Certificate of Analysis, please enter a lot number in the search box below.

Product Specific Notices for MIST1 Antibody - BSA Free

This product is for research use only and is not approved for use in humans or in clinical diagnosis. Primary Antibodies are guaranteed for 1 year from date of receipt.

Loading...
Loading...
Loading...
Loading...