Skip to main content

MICA Antibody (MICA/4442)

Novus Biologicals, part of Bio-Techne | Catalog # NBP3-13826

Novus Biologicals, part of Bio-Techne
Catalog #
Availability
Size / Price
Qty
Loading...
NBP3-13826-100ug
NBP3-13826-20ug

Key Product Details

Species Reactivity

Human, Mouse, Rat

Applications

Immunohistochemistry-Paraffin, Western Blot, Protein Array

Label

Unconjugated

Antibody Source

Monoclonal Mouse IgG2b Kappa Clone # MICA/4442

Concentration

0.2 mg/ml

Product Specifications

Immunogen

Recombinant fragment (around aa1-200) of human MICA (exact sequence is proprietary) (Uniprot: Q29983 )

Localization

Cell surface, Cytoplasm

Clonality

Monoclonal

Host

Mouse

Isotype

IgG2b Kappa

Theoretical MW

92 kDa.
Disclaimer note: The observed molecular weight of the protein may vary from the listed predicted molecular weight due to post translational modifications, post translation cleavages, relative charges, and other experimental factors.

Description

200ug/ml of antibody purified from Bioreactor Concentrate by Protein A or G. Prepared in 10 mM PBS with 0.05% BSA & 0.05% azide. Also available WITHOUT BSA & azide at 1.0 mg/ml. (NBP3-14208)

Antibody with azide - store at 2 to 8C. Antibody without azide - store at -20 to -80 C.

Scientific Data Images for MICA Antibody (MICA/4442)

Immunohistochemistry-Paraffin: MICA Antibody (MICA/4442) [NBP3-13826]

Immunohistochemistry-Paraffin: MICA Antibody (MICA/4442) [NBP3-13826]

Immunohistochemistry-Paraffin: MICA Antibody (MICA/4442) [NBP3-13826] - Formalin-fixed, paraffin-embedded human stomach stained with MICA antibody (MICA/4442). HIER: Tris/EDTA, pH9.0, 45min. HRP-polymer, 30min. DAB, 5min.
Immunohistochemistry-Paraffin: MICA Antibody (MICA/4442) [NBP3-13826]

Immunohistochemistry-Paraffin: MICA Antibody (MICA/4442) [NBP3-13826]

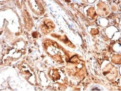
Immunohistochemistry-Paraffin: MICA Antibody (MICA/4442) [NBP3-13826] - Formalin-fixed, paraffin-embedded human kidney stained with MICA antibody (MICA/4442). HIER: Tris/EDTA, pH9.0, 45min. HRP-polymer, 30min. DAB, 5min.
Protein Array: MICA Antibody (MICA/4442) [NBP3-13826]

Protein Array: MICA Antibody (MICA/4442) [NBP3-13826]

Protein Array: MICA Antibody (MICA/4442) [NBP3-13826] - Analysis of Protein Array containing >19,000 full-length human proteins using MICA Antibody (MICA/4442).

Applications for MICA Antibody (MICA/4442)

Application
Recommended Usage

Immunohistochemistry-Paraffin

1-2 ug/ml

Western Blot

1-2 ug/ml
Application Notes
Immunohistochemistry (Formalin-fixed): 1-2ug/ml for 30 minutes at RT. Staining of formalin-fixed tissues requires heating tissue sections in 10mM Tris with 1mM EDTA, pH 9.0, for 45 min at 95C followed by cooling at RT for 20 minutes

Formulation, Preparation, and Storage

Purification

Protein A or G purified

Formulation

10 mM PBS with 0.05% BSA

Preservative

0.05% Sodium Azide

Concentration

0.2 mg/ml

Shipping

The product is shipped with polar packs. Upon receipt, store it immediately at the temperature recommended below.

Stability & Storage

Store at 4C.

Background: MICA

MICA encodes the higly polymorphic MHC (HLA) class I chain-related gene A. The protein product is expressed on the cell surface, although unlike canonical class I molecules does not seem to associate with beta-2-microglobulin. It is thought that MICA functions as a stress-induced antigen that is broadly recognized by intestinal epithelial gamma delta T cells.

Long Name

MHC Class I-related Protein A

Alternate Names

FLJ60820, MGC111087, PERB11.1

Gene Symbol

MICA

UniProt

Additional MICA Products

Product Documents for MICA Antibody (MICA/4442)

Certificate of Analysis

To download a Certificate of Analysis, please enter a lot number in the search box below.

Product Specific Notices for MICA Antibody (MICA/4442)

This product is for research use only and is not approved for use in humans or in clinical diagnosis. Primary Antibodies are guaranteed for 1 year from date of receipt.

Loading...
Loading...
Loading...
Loading...