Skip to main content

MGMT Antibody (MGMT/4791)

Novus Biologicals, part of Bio-Techne | Catalog # NBP3-20442

Novus Biologicals, part of Bio-Techne
Catalog #
Availability
Size / Price
Qty
Loading...
NBP3-20442-100ug
NBP3-20442-20ug

Key Product Details

Species Reactivity

Human

Applications

Immunohistochemistry-Paraffin, Western Blot, Immunocytochemistry/ Immunofluorescence

Label

Unconjugated

Antibody Source

Monoclonal Mouse IgG1 Clone # MGMT/4791

Concentration

0.2 mg/ml

Product Specifications

Immunogen

Purified His-tagged MGMT protein

Localization

Nucleus

Clonality

Monoclonal

Host

Mouse

Isotype

IgG1

Description

Positive Controls: Jurkat or MCF-7 cells. Human tonsil or stomach (IHC).

Antibody with azide - store at 2 to 8 C. Antibody without azide - store at -20 to -80 C. Non-hazardous. No MSDS required.

Scientific Data Images for MGMT Antibody (MGMT/4791)

MGMT Antibody (MGMT/4791)

MGMT Antibody (MGMT/4791)

Analysis of Protein Array containing more than 19,000 full-length human proteins using Monospecific Mouse Monoclonal Antibody to MGMT (MGMT/4791).
MGMT Antibody (MGMT/4791)

MGMT Antibody (MGMT/4791)

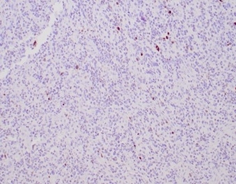
Formalin-fixed, paraffin-embedded human lymph node stained with MGMT antibody (MGMT/4791).
MGMT Antibody (MGMT/4791)

MGMT Antibody (MGMT/4791)

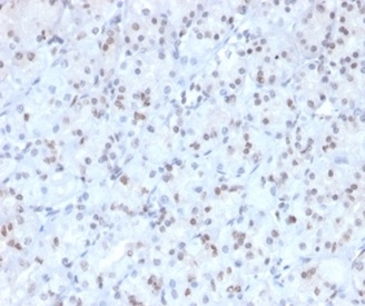
Formalin-fixed, paraffin-embedded human glioma stained with MGMT antibody (MGMT/4791).

Applications for MGMT Antibody (MGMT/4791)

Application
Recommended Usage

Immunocytochemistry/ Immunofluorescence

1-2 ug/ml

Immunohistochemistry-Paraffin

1-2 ug/ml

Western Blot

1-2 ug/ml
Application Notes
Immunohistochemistry (Formalin-fixed): 1-2ug/ml for 30 minutes. at RT. Staining of formalin-fixed tissues requires heating tissue sections in 10mM Tris with 1mM EDTA, pH 9.0, for 45 min at 95C followed by cooling at RT for 20 minutes.

Optimal dilution for a specific application should be determined.

Formulation, Preparation, and Storage

Purification

Protein A or G purified

Formulation

10mM PBS with 0.05% BSA

Preservative

0.05% Sodium Azide

Concentration

0.2 mg/ml

Shipping

The product is shipped with polar packs. Upon receipt, store it immediately at the temperature recommended below.

Stability & Storage

Store at 4C. Do not freeze.

Background: MGMT

O6-Methylguanine-DNA Methyltransferase (MGMT) is an important DNA repair protein involved in tumor cell resistance to the cytotoxic activity of chemotherapeutic alkylating agents. This protein is also effective in protecting normal cells against the genotoxic and carcinogenic effects of DNA alkylation. The alkylating drug resistance is caused by MGMT's ability to remove DNA alkyl groups introduced in the O6 position of guanine. MGMT is expressed in highly variable amounts, depending upon the cell and tissue type, species, and cellular growth characteristics. In addition, MGMT activity varies among groups of tumors and within a particular type of tumor.

MGMT antibodes are useful tools for DNA repair studies and for some cancer research.

Long Name

O-6 Methylguanine-DNA Methyltransferase

Alternate Names

6-O-methylguanine-DNA methyltransferase, EC 2.1.1.63, methylated-DNA--protein-cysteine methyltransferase, methylguanine-DNA methyltransferase, O-6-methylguanine-DNA methyltransferase, O6-methylguanine-DNA methyltransferase, O-6-methylguanine-DNA-alkyltransferase

Gene Symbol

MGMT

Additional MGMT Products

Product Documents for MGMT Antibody (MGMT/4791)

Certificate of Analysis

To download a Certificate of Analysis, please enter a lot number in the search box below.

Product Specific Notices for MGMT Antibody (MGMT/4791)

This product is for research use only and is not approved for use in humans or in clinical diagnosis. Primary Antibodies are guaranteed for 1 year from date of receipt.

Loading...
Loading...
Loading...
Loading...