Skip to main content

MGAT2 Antibody - BSA Free

Novus Biologicals, part of Bio-Techne | Catalog # NBP3-45922

Novus Biologicals, part of Bio-Techne
Catalog #
Availability
Size / Price
Qty
Loading...
NBP3-45922

Key Product Details

Species Reactivity

Human

Applications

ELISA, Immunohistochemistry, Western Blot

Label

Unconjugated

Antibody Source

Polyclonal Rabbit IgG

Format

BSA Free

Concentration

Please see the vial label for concentration. If unlisted please contact technical services.

Product Specifications

Immunogen

mannosyl(alpha-1,6-)-glycoprotein beta-1,2-N-acetylglucosaminyltransferase. (Uniprot# Q10469)

Clonality

Polyclonal

Host

Rabbit

Isotype

IgG

Theoretical MW

56 kDa.
Disclaimer note: The observed molecular weight of the protein may vary from the listed predicted molecular weight due to post translational modifications, post translation cleavages, relative charges, and other experimental factors.

Description

Novus Biologicals Rabbit MGAT2 Antibody - BSA Free (NBP3-45922) is a polyclonal antibody validated for use in IHC, WB and ELISA. All Novus Biologicals antibodies are covered by our 100% guarantee.

Scientific Data Images for MGAT2 Antibody - BSA Free

MGAT2 Antibody - BSA Free

Western Blot: MGAT2 Antibody - BSA Free [NBP3-45922] -

Western Blot: MGAT2 Antibody - BSA Free [NBP3-45922] - Human liver tissue were subjected to SDS PAGE followed by western blot with (MGAT2 antibody) at dilution of 1:500
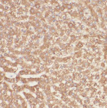
MGAT2 Antibody - BSA Free

Immunohistochemistry: MGAT2 Antibody - BSA Free [NBP3-45922] -

Immunohistochemistry: MGAT2 Antibody - BSA Free [NBP3-45922] - Immunohistochemistry of paraffin-embedded human liver using (MGAT2 antibody) at dilution of 1:100

Applications for MGAT2 Antibody - BSA Free

Application
Recommended Usage

Immunohistochemistry

1:20-1:200

Western Blot

1:500-1:2000

Formulation, Preparation, and Storage

Purification

Immunogen affinity purified

Formulation

PBS, 50% Glycerol, pH (7.3)

Format

BSA Free

Preservative

0.02% Sodium Azide

Concentration

Please see the vial label for concentration. If unlisted please contact technical services.

Shipping

The product is shipped with polar packs. Upon receipt, store it immediately at the temperature recommended below.

Stability & Storage

Store at -20C. Avoid freeze-thaw cycles.

Background: N-Acetylglucosaminyltransferase 2/MGAT2

The product of the MGAT2 gene is a Golgi enzyme catalyzing an essential step in the conversion of oligomannose to complexN-glycans. The enzyme has the typical glycosyltransferase domains: a short N-terminal cytoplasmic domain, ahydrophobic non-cleavable signal-anchor domain, and a C-terminal catalytic domain. Mutations in this gene may lead tocarbohydrate-deficient glycoprotein syndrome, type II. The coding region of this gene is intronless. Transcriptvariants with a spliced 5' UTR may exist, but their biological validity has not been determined. (provided byRefSeq)

Long Name

Mannosyl (alpha-1,6-)-glycoprotein beta-1,2-N-acetylglucosaminyltransferase

Alternate Names

CDG2A, GlcNAc-T II, GNT2

Gene Symbol

MGAT2

Additional N-Acetylglucosaminyltransferase 2/MGAT2 Products

Product Documents for MGAT2 Antibody - BSA Free

Certificate of Analysis

To download a Certificate of Analysis, please enter a lot number in the search box below.

Product Specific Notices for MGAT2 Antibody - BSA Free

This product is for research use only and is not approved for use in humans or in clinical diagnosis. Primary Antibodies are guaranteed for 1 year from date of receipt.

Loading...
Loading...
Loading...
Loading...