Skip to main content

MGAT1 Antibody - BSA Free

Novus Biologicals, part of Bio-Techne | Catalog # NBP3-45923

Novus Biologicals, part of Bio-Techne
Catalog #
Availability
Size / Price
Qty
Loading...
NBP3-45923

Key Product Details

Species Reactivity

Human, Mouse, Rat

Applications

Immunohistochemistry, Western Blot, ELISA

Label

Unconjugated

Antibody Source

Polyclonal Rabbit IgG

Format

BSA Free

Concentration

Please see the vial label for concentration. If unlisted please contact technical services.

Product Specifications

Immunogen

mannosyl (alpha-1, 3-)-glycoprotein beta-1, 2-N-acetylglucosaminyltransferase. (Uniprot# P26572)

Clonality

Polyclonal

Host

Rabbit

Isotype

IgG

Theoretical MW

60 kDa.
Disclaimer note: The observed molecular weight of the protein may vary from the listed predicted molecular weight due to post translational modifications, post translation cleavages, relative charges, and other experimental factors.

Description

Novus Biologicals Rabbit MGAT1 Antibody - BSA Free (NBP3-45923) is a polyclonal antibody validated for use in IHC, WB and ELISA. All Novus Biologicals antibodies are covered by our 100% guarantee.

Scientific Data Images for MGAT1 Antibody - BSA Free

MGAT1 Antibody - BSA Free

Western Blot: MGAT1 Antibody - BSA Free [NBP3-45923] -

Western Blot: MGAT1 Antibody - BSA Free [NBP3-45923] - Y79 cells were subjected to SDS PAGE followed by western blot with (MGAT1 antibody) at dilution of 1:1000
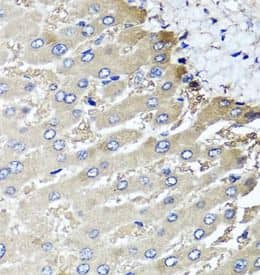
MGAT1 Antibody - BSA Free

Immunohistochemistry: MGAT1 Antibody - BSA Free [NBP3-45923] -

Immunohistochemistry: MGAT1 Antibody - BSA Free [NBP3-45923] - Immunohistochemistry of paraffin-embedded human liver injury using (MGAT1 antibody) at dilution of 1:100

Applications for MGAT1 Antibody - BSA Free

Application
Recommended Usage

Immunohistochemistry

1:50 - 1:200

Western Blot

1:500 - 1:2000

Formulation, Preparation, and Storage

Purification

Immunogen affinity purified

Formulation

PBS, 50% Glycerol, pH (7.3)

Format

BSA Free

Preservative

0.02% Sodium Azide

Concentration

Please see the vial label for concentration. If unlisted please contact technical services.

Shipping

The product is shipped with polar packs. Upon receipt, store it immediately at the temperature recommended below.

Stability & Storage

Store at -20C. Avoid freeze-thaw cycles.

Background: N-Acetylglucosaminyltransferase I/MGAT1

There are believed to be over 100 different glycosyltransferases involved in the synthesis of protein-bound and lipid-bound oligosaccharides. UDP-N-acetylglucosamine:alpha-3-D-mannoside beta-1,2-N-acetylglucosaminyltransferase I is a medial-Golgi enzyme essential for the synthesis of hybrid and complex N-glycans. The protein, encoded by a single exon, shows typical features of a type II transmembrane protein. The protein is believed to be essential for normal embryogenesis. Several variants encoding the same protein have been found for this gene. [provided by RefSeq]

Long Name

Mannosyl (alpha-1,3-)-glycoprotein beta-1,2-N-acetylglucosaminyltransferase

Alternate Names

GGNT1, GlcNac-TI, GLCT1, GNT-1

Gene Symbol

MGAT1

Additional N-Acetylglucosaminyltransferase I/MGAT1 Products

Product Documents for MGAT1 Antibody - BSA Free

Certificate of Analysis

To download a Certificate of Analysis, please enter a lot number in the search box below.

Product Specific Notices for MGAT1 Antibody - BSA Free

This product is for research use only and is not approved for use in humans or in clinical diagnosis. Primary Antibodies are guaranteed for 1 year from date of receipt.

Loading...
Loading...
Loading...
Loading...