Skip to main content

MELK Antibody (PSH03-55)

Novus Biologicals, part of Bio-Techne | Catalog # NBP3-32587

Recombinant Monoclonal Antibody
Novus Biologicals, part of Bio-Techne
Catalog #
Availability
Size / Price
Qty
Loading...
NBP3-32587

Key Product Details

Species Reactivity

Human, Mouse

Applications

Immunohistochemistry, Immunohistochemistry-Paraffin, Western Blot

Label

Unconjugated

Antibody Source

Recombinant Monoclonal Rabbit IgG Clone # PSH03-55 expressed in HEK293

Concentration

1 mg/ml

Product Specifications

Immunogen

Recombinant protein within human MELK aa 1-400 / 651. (Uniprot: Q14680)

Localization

Cell membrane.

Clonality

Monoclonal

Host

Rabbit

Isotype

IgG

Theoretical MW

75 kDa.
Disclaimer note: The observed molecular weight of the protein may vary from the listed predicted molecular weight due to post translational modifications, post translation cleavages, relative charges, and other experimental factors.

Description

Novus Biologicals Rabbit MELK Antibody (PSH03-55) (NBP3-32587) is a recombinant monoclonal antibody validated for use in IHC and WB. All Novus Biologicals antibodies are covered by our 100% guarantee.

Scientific Data Images for MELK Antibody (PSH03-55)

MELK Antibody (PSH03-55)

Western Blot: MELK Antibody (PSH03-55) [NBP3-32587]

Western Blot: MELK Antibody (PSH03-55) [NBP3-32587] - Western blot analysis of MELK on different lysates with Rabbit anti-MELK antibody (NBP3-32587) at 1/2,000 dilution.

Lane 1: HeLa cell lysate
Lane 2: 293T cell lysate
Lane 3: MDA-MB-231 cell lysate
Lane 4: HCT 116 cell lysate
Lane 5: NIH/3T3 cell lysate
Lane 6: C2C12 cell lysate

Lysates/proteins at 30 ug/Lane.

Predicted band size: 75 kDa
Observed band size: 72 kDa

Exposure time: 2 minutes;

4-20% SDS-PAGE gel.

Proteins were transferred to a PVDF membrane and blocked with 5% NFDM/TBST for 1 hour at room temperature. The primary antibody (NBP3-32587) at 1/2,000 dilution was used in 5% NFDM/TBST at 4 overnight. Goat Anti-Rabbit IgG - HRP Secondary Antibody at 1/100,000 dilution was used for 1 hour at room temperature.
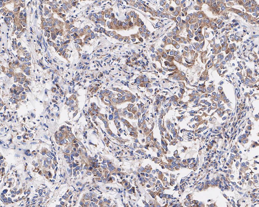
MELK Antibody (PSH03-55)

Immunohistochemistry: MELK Antibody (PSH03-55) [NBP3-32587]

Immunohistochemistry: MELK Antibody (PSH03-55) [NBP3-32587] - Immunohistochemical analysis of paraffin-embedded human breast cancer tissue with Rabbit anti-MELK antibody (NBP3-32587) at 1/500 dilution.

The section was pre-treated using heat mediated antigen retrieval with Tris-EDTA buffer (pH 9.0) for 20 minutes. The tissues were blocked in 1% BSA for 20 minutes at room temperature, washed with ddH2O and PBS, and then probed with the primary antibody (NBP3-32587) at 1/500 dilution for 1 hour at room temperature. The detection was performed using an HRP conjugated compact polymer system. DAB was used as the chromogen. Tissues were counterstained with hematoxylin and mounted with DPX.

Applications for MELK Antibody (PSH03-55)

Application
Recommended Usage

Immunohistochemistry-Paraffin

1:500-1:2000

Western Blot

1:2000

Formulation, Preparation, and Storage

Purification

Protein A purified

Formulation

PBS (pH7.4), 0.1% BSA and 40% Glycerol

Preservative

0.05% Sodium Azide

Concentration

1 mg/ml

Shipping

The product is shipped with polar packs. Upon receipt, store it immediately at the temperature recommended below.

Stability & Storage

Store at 4C short term. Aliquot and store at -20C long term. Avoid freeze-thaw cycles.

Background: MELK

MELK is a member of AMPK family, which has several consensus glycosylation sites. Glycosylations are known to affect migration of proteins on a SDS-PAGE [Hames, B.D and Rickwood, D., eds. Gel electrophoresis of proteins: a practical approach. Oxford University Press]. Further the activity of this antibody was confirmed against recombinant, GST fused MELK protein by Western blotting.

Long Name

Maternal Embryonic Leucine Zipper Kinase

Alternate Names

PK38

Gene Symbol

MELK

Additional MELK Products

Product Documents for MELK Antibody (PSH03-55)

Certificate of Analysis

To download a Certificate of Analysis, please enter a lot number in the search box below.

Product Specific Notices for MELK Antibody (PSH03-55)

This product is for research use only and is not approved for use in humans or in clinical diagnosis. Primary Antibodies are guaranteed for 1 year from date of receipt.

Loading...
Loading...
Loading...
Loading...