Skip to main content

Melan-A/MART-1 Antibody (MLANA/788)

Novus Biologicals, part of Bio-Techne | Catalog # NBP2-44394

Novus Biologicals, part of Bio-Techne
Catalog #
Availability
Size / Price
Qty
Loading...
NBP2-44394-0.1mg
NBP2-44394-0.02mg

Key Product Details

Species Reactivity

Validated:

Human, Mouse, Rat, Canine

Cited:

Canine

Applications

Validated:

Immunohistochemistry, Immunohistochemistry-Paraffin, Western Blot, Flow Cytometry

Cited:

IF/IHC

Label

Unconjugated

Antibody Source

Monoclonal Mouse IgG1 kappa Clone # MLANA/788

Concentration

0.2 mg/ml

Product Specifications

Immunogen

Recombinant human full-length Melan-A/MART-1 protein (Uniprot: Q16655)

Localization

Cytoplasmic

Specificity

This antibody recognizes a protein doublet of 20-22kDa, identified as MART-1 (Melanoma Antigen Recognized by T cells 1) or Melan-A. MART-1 is a newly identified melanocyte differentiation antigen recognized by autologous cytotoxic T lymphocytes. Seven other melanoma associated antigens recognized by autologous cytotoxic T cells include MAGE-1, MAGE-3, tyrosinase, gp100, gp75, BAGE-1, and GAGE-1. Subcellular fractionation shows that MART-1 is present in melanosomes and endoplasmic reticulum. This monoclonal antibody labels melanomas and other tumors showing melanocytic differentiation. It is also a useful positive-marker for angiomyolipomas. It does not stain tumor cells of epithelial, lymphoid, glial, or mesenchymal origin.

Marker

Melanoma Marker

Clonality

Monoclonal

Host

Mouse

Isotype

IgG1 kappa

Description

200ug/ml of antibody purified from Bioreactor Concentrate by Protein A or G. Prepared in 10 mM PBS with 0.05% BSA & 0.05% azide. Also available WITHOUT BSA & azide at 1.0 mg/ml. (NBP2-47803)

Antibody with azide - store at 2 to 8C. Antibody without azide - store at -20 to -80C.

Scientific Data Images for Melan-A/MART-1 Antibody (MLANA/788)

Western Blot: Melan-A/MART-1 Antibody (MLANA/788) [NBP2-44394]

Western Blot: Melan-A/MART-1 Antibody (MLANA/788) [NBP2-44394]

Western Blot: Melan-A/MART-1 Antibody (MLANA/788) [NBP2-44394] - Western Blot Analysis of COLO 38 cell lysate using Melan-A/MART-1 Mouse Monoclonal Antibody (MLANA/788).
Immunohistochemistry-Paraffin: Melan-A/MART-1 Antibody (MLANA/788) [NBP2-44394]

Immunohistochemistry-Paraffin: Melan-A/MART-1 Antibody (MLANA/788) [NBP2-44394]

Immunohistochemistry-Paraffin: Melan-A/MART-1 Antibody (MLANA/788) [NBP2-44394] - Human Testis stained with Melan-A Monoclonal Antibody (MLANA/788).
Immunohistochemistry-Paraffin: Melan-A/MART-1 Antibody (MLANA/788) [NBP2-44394]

Immunohistochemistry-Paraffin: Melan-A/MART-1 Antibody (MLANA/788) [NBP2-44394]

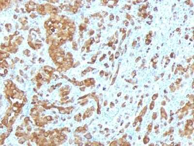
Immunohistochemistry-Paraffin: Melan-A/MART-1 Antibody (MLANA/788) [NBP2-44394] - Human Melanoma stained with Melan-A Monoclonal Antibody (MLANA/788).

Applications for Melan-A/MART-1 Antibody (MLANA/788)

Application
Recommended Usage

Flow Cytometry

0.5 - 1 ug/million cells in 0.1 ml

Immunohistochemistry-Paraffin

1-2 ug/ml

Western Blot

1-2 ug/ml
Application Notes
Immunohistochemistry (Formalin-fixed): 1-2ug/ml for 30 minutes at RT. Staining of formalin-fixed tissues requires heating tissue sections in 10mM Tris with 1mM EDTA, pH 9.0, for 45 min at 95C followed by cooling at RT for 20 minutes.
Optimal dilution for a specific application should be determined.
Use in Immunohistochemistry reported in scientific literature (PMID: 30606914).

Formulation, Preparation, and Storage

Purification

Protein A or G purified

Formulation

10 mM PBS with 0.05% BSA

Preservative

0.05% Sodium Azide

Concentration

0.2 mg/ml

Shipping

The product is shipped with polar packs. Upon receipt, store it immediately at the temperature recommended below.

Stability & Storage

Store at 4C.

Background: Melan-A/MART-1

MART-1 (Melanoma Antigen Recognized by T cells 1) or Melan-A1 is a newly identified melanocyte differentiation antigen recognized by autologous cytotoxic T lymphocytes. Seven other melanoma associated antigens recognized by autologous cytotoxic T cells include MAGE-1, MAGE-3, tyrosinase, gp100, gp75, BAGE-1, and GAGE-1. Subcellular fractionation shows that MART-1 is present in melanosomes and endoplasmic reticulum.

Alternate Names

Antigen LB39-AA, Antigen SK29-AA, MART-1, MelanA, MLANA

Gene Symbol

MLANA

UniProt

Additional Melan-A/MART-1 Products

Product Documents for Melan-A/MART-1 Antibody (MLANA/788)

Certificate of Analysis

To download a Certificate of Analysis, please enter a lot number in the search box below.

Product Specific Notices for Melan-A/MART-1 Antibody (MLANA/788)

This product is for research use only and is not approved for use in humans or in clinical diagnosis. Primary Antibodies are guaranteed for 1 year from date of receipt.

Loading...
Loading...
Loading...
Loading...
Loading...