Skip to main content

MEK5 Antibody - BSA Free

Novus Biologicals, part of Bio-Techne | Catalog # NBP1-89654

Novus Biologicals, part of Bio-Techne
Catalog #
Availability
Size / Price
Qty
Loading...
NBP1-89654-25ul
NBP1-89654

Key Product Details

Species Reactivity

Validated:

Human

Predicted:

Mouse (96%), Rat (96%). Backed by our 100% Guarantee.

Applications

Immunohistochemistry, Immunohistochemistry-Paraffin, Western Blot

Label

Unconjugated

Antibody Source

Polyclonal Rabbit IgG

Format

BSA Free

Concentration

Concentrations vary lot to lot. See vial label for concentration. If unlisted please contact technical services.

Product Specifications

Immunogen

This antibody was developed against Recombinant Protein corresponding to amino acids: IFPRACKPPGERNIHGLKVNTRAGPSQHSSPAVSDSLPSNSLKKSSAELKKILANGQMNEQDIRYRDTLGHGNG

Clonality

Polyclonal

Host

Rabbit

Isotype

IgG

Scientific Data Images for MEK5 Antibody - BSA Free

MEK5 Antibody - BSA Free Immunohistochemistry-Paraffin: MEK5 Antibody - BSA Free [NBP1-89654]

Immunohistochemistry-Paraffin: MEK5 Antibody - BSA Free [NBP1-89654]

Staining of human heart muscle shows moderate cytoplasmic positivity in cardiomyocytes.
MEK5 Antibody - BSA Free Immunohistochemistry-Paraffin: MEK5 Antibody - BSA Free [NBP1-89654]

Immunohistochemistry-Paraffin: MEK5 Antibody - BSA Free [NBP1-89654]

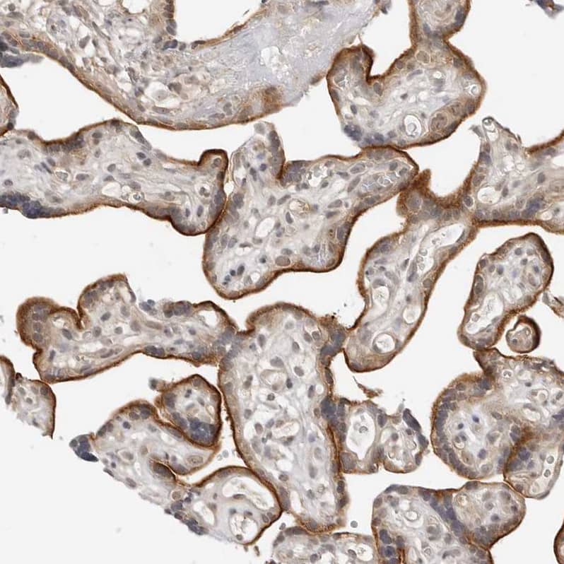
Staining of human placenta shows moderate cytoplasmic positivity in trophoblastic cells.
MEK5 Antibody - BSA Free Immunohistochemistry-Paraffin: MEK5 Antibody - BSA Free [NBP1-89654]

Immunohistochemistry-Paraffin: MEK5 Antibody - BSA Free [NBP1-89654]

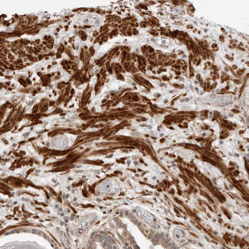
Staining of human prostate shows strong cytoplasmic positivity in smooth muscle cells.

Applications for MEK5 Antibody - BSA Free

Application
Recommended Usage

Immunohistochemistry

1:20 - 1:50

Immunohistochemistry-Paraffin

1:20 - 1:50

Western Blot

0.04-0.4 ug/ml
Application Notes
For IHC-Paraffin, HIER pH 6 retrieval is recommended.

Formulation, Preparation, and Storage

Purification

Affinity purified

Formulation

PBS (pH 7.2) and 40% Glycerol

Format

BSA Free

Preservative

0.02% Sodium Azide

Concentration

Concentrations vary lot to lot. See vial label for concentration. If unlisted please contact technical services.

Shipping

The product is shipped with polar packs. Upon receipt, store it immediately at the temperature recommended below.

Stability & Storage

Store at 4C short term. Aliquot and store at -20C long term. Avoid freeze-thaw cycles.

Background: MEK5

Mitogen-acitvated protein kinase kinase 5 (MKK5) belongs to the serine/threonine protein kinase family and the MAPK kinase subfamily (MAP2K, MKK or MEKs). MAPKs require dual phosphorylation on threonine and tyrosine residues, an activation step carried out by MAPK kinase (1-2). The MAPK cascade plays an important role in signaling defense responses. Of the MKK family members, MKK5 exhibits the closest homology to MEK1 and MEK2, with 46% amino acid identity in the catalytic domain (3) MKK has been show to activate extracellular-signal-regulated protein kinase 5 (ERK5). Also, activated ERK5 phosphorylates mitogen- MKK5 extensively at Ser129, Ser137, Ser142 and Ser149, which are located within the region in MKK5 that is thought to interact with ERK5 (3). There have also been findings to that the MEK5 (MKK5)/ERK5 (BMK) pathway may play a role in prostate cancer (5).

Long Name

Mitogen-activated Protein Kinase Kinase 5

Alternate Names

MAP2K5, MAPKK5, MKK5, PRKMK5

Gene Symbol

MAP2K5

Additional MEK5 Products

Product Documents for MEK5 Antibody - BSA Free

Certificate of Analysis

To download a Certificate of Analysis, please enter a lot number in the search box below.

Product Specific Notices for MEK5 Antibody - BSA Free

This product is for research use only and is not approved for use in humans or in clinical diagnosis. Primary Antibodies are guaranteed for 1 year from date of receipt.

Loading...
Loading...
Loading...
Loading...