Skip to main content

Meis homeobox 3 Antibody (OTI3E12)

Novus Biologicals, part of Bio-Techne | Catalog # NBP2-03933

Novus Biologicals, part of Bio-Techne
Catalog #
Availability
Size / Price
Qty
Loading...
NBP2-03933
Conjugate
Catalog #

Key Product Details

Species Reactivity

Human, Mouse, Rat

Applications

Immunohistochemistry, Immunohistochemistry-Paraffin, Western Blot, Flow Cytometry

Label

Unconjugated

Antibody Source

Monoclonal Mouse IgG1 Clone # OTI3E12

Concentration

1 mg/ml

Product Specifications

Immunogen

Human recombinant protein fragment corresponding to amino acids 1-261 of human MEIS3 (NP_064545) produced in E.coli.

Reactivity Notes

Please note that this antibody is reactive to Mouse and derived from the same host, Mouse. Mouse-On-Mouse blocking reagent may be needed for IHC and ICC experiments to reduce high background signal. You can find these reagents under catalog numbers PK-2200-NB and MP-2400-NB. Please contact Technical Support if you have any questions.

Clonality

Monoclonal

Host

Mouse

Isotype

IgG1

Theoretical MW

46 kDa.
Disclaimer note: The observed molecular weight of the protein may vary from the listed predicted molecular weight due to post translational modifications, post translation cleavages, relative charges, and other experimental factors.

Scientific Data Images for Meis homeobox 3 Antibody (OTI3E12)

Western Blot: Meis homeobox 3 Antibody (OTI3E12) [NBP2-03933]

Western Blot: Meis homeobox 3 Antibody (OTI3E12) [NBP2-03933]

Western Blot: Meis homeobox 3 Antibody (3E12) [NBP2-03933] - HEK293T cells were transfected with the pCMV6-ENTRY control (Left lane) or pCMV6-ENTRY Meis homeobox 3 (Right lane) cDNA for 48 hrs and lysed. Equivalent amounts of cell lysates (5 ug per lane) were separated by SDS-PAGE and immunoblotted with anti-Meis homeobox 3.
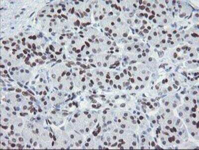
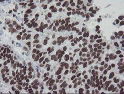
Immunohistochemistry-Paraffin: Meis homeobox 3 Antibody (OTI3E12) [NBP2-03933]

Immunohistochemistry-Paraffin: Meis homeobox 3 Antibody (OTI3E12) [NBP2-03933]

Immunohistochemistry-Paraffin: Meis homeobox 3 Antibody (3E12) [NBP2-03933] - Staining of paraffin-embedded Human tonsil using anti-Meis homeobox 3 mouse monoclonal antibody.
Flow Cytometry: Meis homeobox 3 Antibody (OTI3E12) [NBP2-03933]

Flow Cytometry: Meis homeobox 3 Antibody (OTI3E12) [NBP2-03933]

Flow Cytometry: Meis homeobox 3 Antibody (3E12) [NBP2-03933] - HEK293T cells transfected with either overexpression plasmid (Red) or empty vector control plasmid (Blue) were immunostained by anti-Meis homeobox 3 antibody, and then analyzed by flow cytometry.

Applications for Meis homeobox 3 Antibody (OTI3E12)

Application
Recommended Usage

Flow Cytometry

1:100

Immunohistochemistry

1:150

Immunohistochemistry-Paraffin

1:150

Western Blot

1:2000

Formulation, Preparation, and Storage

Purification

Immunogen affinity purified

Formulation

PBS (pH 7.3), 1.0% BSA and 50% Glycerol

Preservative

0.02% Sodium Azide

Concentration

1 mg/ml

Shipping

The product is shipped with polar packs. Upon receipt, store it immediately at the temperature recommended below.

Stability & Storage

Store at -20C. Avoid freeze-thaw cycles.

Background: Meis homeobox 3

MEIS3, also known as Homeobox protein Meis3, has 3 isoforms, a 375 amino acid isoform that is 41 kDa, a 421 amino acid isoform that is 46 kDa, and a 358 amino acid isoform that is 39 kDa, and is nucleus located. Little is currently known about its function. Studies are performed on the relationship of this protein to neuronitis. MEIS3 protein involvement has been observed with relation to HOXA13 in the regulation of transcription, DNA-dependent, negative regulation of apoptotic process, and positive regulation of protein kinase B signaling cascade pathways.

Alternate Names

DKFZp547H236, Meis homeobox 3, Meis1, myeloid ecotropic viral integration site 1 homolog 3, Meis1, myeloid ecotropic viral integration site 1 homolog 3 (mouse), Meis1-related protein 2, MRG2homeobox protein Meis3

Entrez Gene IDs

56917 (Human)

Gene Symbol

MEIS3

Additional Meis homeobox 3 Products

Product Documents for Meis homeobox 3 Antibody (OTI3E12)

Certificate of Analysis

To download a Certificate of Analysis, please enter a lot number in the search box below.

Product Specific Notices for Meis homeobox 3 Antibody (OTI3E12)

This product is for research use only and is not approved for use in humans or in clinical diagnosis. Primary Antibodies are guaranteed for 1 year from date of receipt.

Loading...
Loading...
Loading...
Loading...
Loading...