Skip to main content

MEF2C Antibody - BSA Free

Novus Biologicals, part of Bio-Techne | Catalog # NBP2-17260

Novus Biologicals, part of Bio-Techne
Catalog #
Availability
Size / Price
Qty
Loading...
NBP2-17260

Key Product Details

Species Reactivity

Validated:

Human, Mouse, Rat

Cited:

Rat

Predicted:

Bovine (100%), Porcine (97%), Rhesus Macaque (100%), Sheep (97%), Xenopus (90%). Backed by our 100% Guarantee.

Applications

Validated:

Immunohistochemistry, Immunohistochemistry-Paraffin, Immunohistochemistry-Frozen, Western Blot, Immunocytochemistry/ Immunofluorescence, Immunoprecipitation

Cited:

Western Blot, IF/IHC

Label

Unconjugated

Antibody Source

Polyclonal Rabbit IgG

Format

BSA Free

Concentration

Concentrations vary lot to lot. See vial label for concentration. If unlisted please contact technical services.

Product Specifications

Immunogen

Recombinant protein encompassing a sequence within the center region of human MEF2C. The exact sequence is proprietary.

Reactivity Notes

Xenopus laevis (90%).

Localization

Nucleus

Clonality

Polyclonal

Host

Rabbit

Isotype

IgG

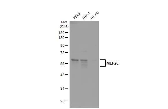
Theoretical MW

51 kDa.
Disclaimer note: The observed molecular weight of the protein may vary from the listed predicted molecular weight due to post translational modifications, post translation cleavages, relative charges, and other experimental factors.

Description

Novus Biologicals Rabbit MEF2C Antibody - BSA Free (NBP2-17260) is a polyclonal antibody validated for use in IHC, WB, ICC/IF and IP. Anti-MEF2C Antibody: Cited in 2 publications. All Novus Biologicals antibodies are covered by our 100% guarantee.

Scientific Data Images for MEF2C Antibody - BSA Free

Immunohistochemistry-Paraffin: MEF2C Antibody [NBP2-17260]

Immunohistochemistry-Paraffin: MEF2C Antibody [NBP2-17260]

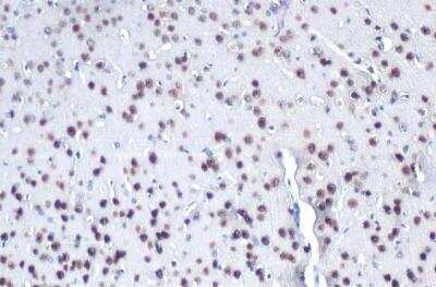
Immunohistochemistry-Paraffin: MEF2C Antibody [NBP2-17260] - Mouse brain. MEF2C stained by MEF2C antibody diluted at 1:250. Antigen Retrieval: Citrate buffer, pH 6.0, 15 min.
Immunohistochemistry-Paraffin: MEF2C Antibody [NBP2-17260]

Immunohistochemistry-Paraffin: MEF2C Antibody [NBP2-17260]

Immunohistochemistry-Paraffin: MEF2C Antibody [NBP2-17260] - Mouse fore brain. MEF2C antibody dilution: 1:500. Antigen Retrieval: Trilogy™ (EDTA based, pH 8.0) buffer, 15min.
Immunohistochemistry-Paraffin: MEF2C Antibody [NBP2-17260]

Immunohistochemistry-Paraffin: MEF2C Antibody [NBP2-17260]

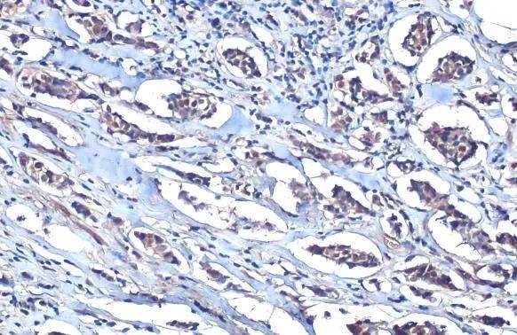
Immunohistochemistry-Paraffin: MEF2C Antibody [NBP2-17260] - Saos2 xenograft. MEF2C antibody dilution: 1:500. Antigen Retrieval: Trilogy™ (EDTA based, pH 8.0) buffer, 15min.

Applications for MEF2C Antibody - BSA Free

Application
Recommended Usage

Immunocytochemistry/ Immunofluorescence

1:100-1:1000

Immunohistochemistry

1:100-1:1000

Immunohistochemistry-Frozen

1:100-1:1000

Immunohistochemistry-Paraffin

1:100-1:1000

Immunoprecipitation

1:100-1:500

Western Blot

1:5000-1:20000

Formulation, Preparation, and Storage

Purification

Antigen Affinity-purified

Formulation

PBS, 20% Glycerol

Format

BSA Free

Preservative

0.025% Proclin 300

Concentration

Concentrations vary lot to lot. See vial label for concentration. If unlisted please contact technical services.

Shipping

The product is shipped with polar packs. Upon receipt, store it immediately at the temperature recommended below.

Stability & Storage

Aliquot and store at -20C or -80C. Avoid freeze-thaw cycles.

Background: MEF2C

This locus encodes a member of the MADS box transcription enhancer factor 2 (MEF2) family of proteins, which play a role in myogenesis. The encoded protein, MEF2 polypeptide C, has both trans-activating and DNA binding activities. This protein may play a role in maintaining the differentiated state of muscle cells. Mutations and deletions at this locus have been associated with severe mental retardation, stereotypic movements, epilepsy, and cerebral malformation. Alternatively spliced transcript variants have been described. [provided by RefSeq]

Long Name

Myocyte-specific Enhancer Factor 2C

Alternate Names

DEL5q14.3

Gene Symbol

MEF2C

Additional MEF2C Products

Product Documents for MEF2C Antibody - BSA Free

Certificate of Analysis

To download a Certificate of Analysis, please enter a lot number in the search box below.

Product Specific Notices for MEF2C Antibody - BSA Free

This product is for research use only and is not approved for use in humans or in clinical diagnosis. Primary Antibodies are guaranteed for 1 year from date of receipt.

Loading...
Loading...
Loading...
Loading...

⚠ WARNING: This product can expose you to chemicals including mercury, which is known to the State of California to cause reproductive toxicity with developmental effects.  For more information go to www.P65Warnings.ca.gov.