Skip to main content

MCAM/CD146 Antibody (S05-5A2) - BSA Free

Novus Biologicals, part of Bio-Techne | Catalog # NBP3-19541

Recombinant Monoclonal Antibody
Novus Biologicals, part of Bio-Techne
Catalog #
Availability
Size / Price
Qty
Loading...
NBP3-19541-100ul
NBP3-19541-50ul

Key Product Details

Species Reactivity

Human, Mouse, Rat

Applications

Flow Cytometry, Immunocytochemistry/ Immunofluorescence, Immunohistochemistry, Immunohistochemistry-Paraffin, Immunoprecipitation, Western Blot

Label

Unconjugated

Antibody Source

Recombinant Monoclonal Rabbit IgG Clone # S05-5A2 expressed in HEK293

Format

BSA Free

Concentration

0.3 mg/ml

Product Specifications

Immunogen

A synthetic peptide of human MCAM/CD146 (Uniprot # P43121)

Clonality

Monoclonal

Host

Rabbit

Isotype

IgG

Theoretical MW

72 kDa.
Disclaimer note: The observed molecular weight of the protein may vary from the listed predicted molecular weight due to post translational modifications, post translation cleavages, relative charges, and other experimental factors.

Description

Novus Biologicals Rabbit MCAM/CD146 Antibody (S05-5A2) - BSA Free (NBP3-19541) is a recombinant monoclonal antibody validated for use in IHC, WB, Flow, ICC/IF and IP. All Novus Biologicals antibodies are covered by our 100% guarantee.

Scientific Data Images for MCAM/CD146 Antibody (S05-5A2) - BSA Free

MCAM/CD146 Antibody (S05-5A2)

Western Blot: MCAM/CD146 Antibody (S05-5A2) [NBP3-19541] -

Western Blot: MCAM/CD146 Antibody (S05-5A2) [NBP3-19541] - Western blot analysis of MCAM/CD146 expression in (1) A375 cell lysate; (2) HUVEC cell lysate
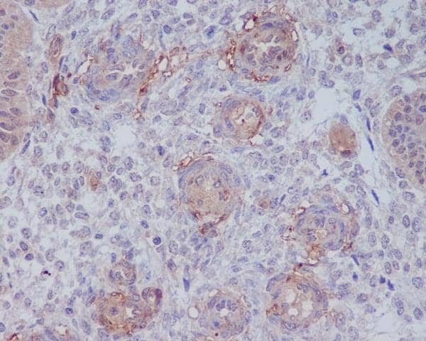
MCAM/CD146 Antibody (S05-5A2)

Immunohistochemistry-Paraffin: MCAM/CD146 Antibody (S05-5A2) [NBP3-19541] -

Immunohistochemistry-Paraffin: MCAM/NBP3-19541 (S05-5A2) [NBP3-19541] - Immunohistochemical analysis of paraffin-embedded human uterus, using NBP3-19541.
MCAM/CD146 Antibody (S05-5A2)

Western Blot: MCAM/CD146 Antibody (S05-5A2) [NBP3-19541] -

Western Blot: MCAM/CD146 Antibody (S05-5A2) [NBP3-19541] - All lanes use NBP3-19541 at 1:5000 dilution for 1 hour at room temperature.

Applications for MCAM/CD146 Antibody (S05-5A2) - BSA Free

Application
Recommended Usage

Flow Cytometry

1:50

Immunocytochemistry/ Immunofluorescence

1:50-1:200

Immunohistochemistry

1:50-1:200

Immunoprecipitation

1:50

Western Blot

1:500-1:2000

Formulation, Preparation, and Storage

Purification

Affinity purified

Formulation

PBS (pH 7.4), 150mM NaCl, 50% glycerol

Format

BSA Free

Preservative

0.02% Sodium Azide

Concentration

0.3 mg/ml

Shipping

The product is shipped with polar packs. Upon receipt, store it immediately at the temperature recommended below.

Stability & Storage

Store at 4C short term. Aliquot and store at -20C long term. Avoid freeze-thaw cycles.

Background: MCAM/CD146

CD146 belongs to the immunoglobulin supergene family with five immunoglobulin like domains (V-V-C2-C2-C2), a transmembrane region and a 63 residue cytoplasmic tail. The protein is a membrane glycoprotein that functions as a Ca2+ independent cell adhesion molecule involved in heterophilic cell to cell interactions. CD146 has a molecular size of 130 kDa in its reduced form (118 kDa unreduced), and N linked glycosylation accounts for fifty percent of the apparent molecular weight. In some cells the molecule carries a sulfate 3 glucuronyl moiety. Expression of the molecule was shown in a relatively limited spectrum of normal human tissues (endothelium, smooth muscle, and subpopulations of activated T cells) and malignant neoplasm (melanoma and breast carcinoma). The lineage specific expression pattern of CD146 can be useful in the differential diagnosis of certain lesions including melanomas and various types of gestational trophoblastic lesions. CD146 expression can promote tumor progression in human melanoma, through enhanced interaction between melanoma cells and endothelial cells. However, in breast carcinoma, CD146 may act as a tumor suppressor. Over expression of CD146 in breast carcinoma cells results in a more cohesive cell growth and in the formation of smaller tumors in nude mice. During implantation and placentation, CD146 is expressed by the intermediate trophoblast in the placental site and binds to its putative receptor in uterine smooth muscle cells thus limiting trophoblastic invasion in the myometrium. Monoclonal antibody specific for CD146 is an important tool for the identification and isolation of cells expressing CD146.

Long Name

Melanoma Cell Adhesion Molecule

Alternate Names

CD146, L-Gicerin, MUC18

Gene Symbol

MCAM

Additional MCAM/CD146 Products

Product Documents for MCAM/CD146 Antibody (S05-5A2) - BSA Free

Certificate of Analysis

To download a Certificate of Analysis, please enter a lot number in the search box below.

Product Specific Notices for MCAM/CD146 Antibody (S05-5A2) - BSA Free

This product is for research use only and is not approved for use in humans or in clinical diagnosis. Primary Antibodies are guaranteed for 1 year from date of receipt.

Loading...
Loading...
Loading...
Loading...
Loading...