Skip to main content

MBD2 Antibody

Novus Biologicals, part of Bio-Techne | Catalog # NB100-55415

Novus Biologicals, part of Bio-Techne
Catalog #
Availability
Size / Price
Qty
Loading...
NB100-55415

Key Product Details

Species Reactivity

Validated:

Human

Predicted:

Canine (100%), Mouse (100%), Rat (100%). Backed by our 100% Guarantee.

Applications

Immunohistochemistry, Immunohistochemistry-Paraffin, Western Blot, Peptide ELISA

Label

Unconjugated

Antibody Source

Polyclonal Goat IgG

Concentration

0.5 mg/ml

Product Specifications

Immunogen

Peptide with sequence C-RNDPLNQNKGKPDLN corresponding to internal region according to NP_003918.1.

Epitope

RNDPLNQNKGKPDLN

Specificity

This antibody is expected to recognize isoform 1 (NP_003918.1) only.

Clonality

Polyclonal

Host

Goat

Isotype

IgG

Scientific Data Images for MBD2 Antibody

Western Blot: MBD2 Antibody [NB100-55415]

Western Blot: MBD2 Antibody [NB100-55415]

Western Blot: MBD2 Antibody [NB100-55415] - Staining of Jurkat cell lysate (35 ug protein in RIPA buffer) with antibody at 0.3 ug/mL. Primary incubation was 1 hour. Detected by chemiluminescence.
Immunohistochemistry-Paraffin: MBD2 Antibody [NB100-55415]

Immunohistochemistry-Paraffin: MBD2 Antibody [NB100-55415]

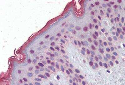
Immunohistochemistry-Paraffin: MBD2 Antibody [NB100-55415] - Staining of paraffin embedded Human Skin with antibody at 2.5 ug/mL. Steamed antigen retrieval with citrate buffer pH 6, AP-staining.
Immunohistochemistry-Paraffin: MBD2 Antibody [NB100-55415]

Immunohistochemistry-Paraffin: MBD2 Antibody [NB100-55415]

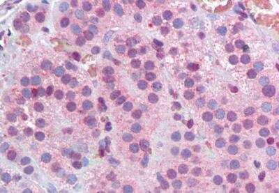
Immunohistochemistry-Paraffin: MBD2 Antibody [NB100-55415] - Staining of paraffin embedded Human Colon with antibody at 2.5 ug/mL. Steamed antigen retrieval with citrate buffer pH 6, AP-staining.

Applications for MBD2 Antibody

Application
Recommended Usage

Immunohistochemistry

2.5 ug/mL

Immunohistochemistry-Paraffin

2.5 ug/mL

Peptide ELISA

Detection limit 1:64000

Western Blot

0.3 - 1 ug/mL

Formulation, Preparation, and Storage

Purification

Immunogen affinity purified

Formulation

Tris saline (20 mM Tris pH 7.3, 150 mM NaCl), 0.5% BSA

Preservative

0.02% Sodium Azide

Concentration

0.5 mg/ml

Shipping

The product is shipped with polar packs. Upon receipt, store it immediately at the temperature recommended below.

Stability & Storage

Store at -20C. Avoid freeze-thaw cycles.

Background: MBD2

DNA methylation is the major modification of eukaryotic genomes and plays an essential role in mammalian development. Human proteins MECP2, MBD1, MBD2, MBD3, and MBD4 comprise a family of nuclear proteins related by the presence in each of a methyl-CpG binding domain (MBD). Each of these proteins, with the exception of MBD3, is capable of binding specifically to methylated DNA. MECP2, MBD1 and MBD2 can also repress transcription from methylated gene promoters. This protein may function as a mediator of the biological consequences of the methylation signal.

Long Name

Methyl-CpG-binding domain protein 2

Alternate Names

Demethylase, DMTase

Entrez Gene IDs

8932 (Human); 17191 (Mouse)

Gene Symbol

MBD2

Additional MBD2 Products

Product Documents for MBD2 Antibody

Certificate of Analysis

To download a Certificate of Analysis, please enter a lot number in the search box below.

Product Specific Notices for MBD2 Antibody

This product is for research use only and is not approved for use in humans or in clinical diagnosis. Primary Antibodies are guaranteed for 1 year from date of receipt.

Loading...
Loading...
Loading...
Loading...