Skip to main content

Lysozyme Antibody (OTI1C9)

Novus Biologicals, part of Bio-Techne | Catalog # NBP2-45702

Novus Biologicals, part of Bio-Techne
Catalog #
Availability
Size / Price
Qty
Loading...
NBP2-45702

Key Product Details

Species Reactivity

Human

Applications

Immunohistochemistry, Immunohistochemistry-Paraffin, Western Blot

Label

Unconjugated

Antibody Source

Monoclonal Mouse IgG2B Clone # OTI1C9

Concentration

1 mg/ml

Product Specifications

Immunogen

Full length human recombinant protein of human LYZ(NP_000230) produced in HEK293T cell.

Clonality

Monoclonal

Host

Mouse

Isotype

IgG2B

Theoretical MW

14.7 kDa.
Disclaimer note: The observed molecular weight of the protein may vary from the listed predicted molecular weight due to post translational modifications, post translation cleavages, relative charges, and other experimental factors.

Description

Novus Biologicals Mouse Lysozyme Antibody (OTI1C9) (NBP2-45702) is a monoclonal antibody validated for use in IHC and WB. All Novus Biologicals antibodies are covered by our 100% guarantee.

Scientific Data Images for Lysozyme Antibody (OTI1C9)

Western Blot: Lysozyme Antibody (OTI1C9) [NBP2-45702]

Western Blot: Lysozyme Antibody (OTI1C9) [NBP2-45702]

Western Blot: Lysozyme Antibody (1C9) [NBP2-45702] - Analysis of HEK293T cells were transfected with the pCMV6-ENTRY control (Left lane) or pCMV6-ENTRY Lysozyme.
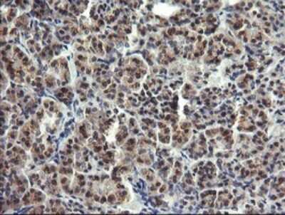
Immunohistochemistry: Lysozyme Antibody (OTI1C9) [NBP2-45702]

Immunohistochemistry: Lysozyme Antibody (OTI1C9) [NBP2-45702]

Immunohistochemistry: Lysozyme Antibody (1C9) [NBP2-45702] - Analysis of Human pancreas tissue. (Heat-induced epitope retrieval by 10mM citric buffer, pH6.0, 120C for 3min)

Applications for Lysozyme Antibody (OTI1C9)

Application
Recommended Usage

Immunohistochemistry

1:150

Western Blot

1:4000

Formulation, Preparation, and Storage

Purification

Immunogen affinity purified

Formulation

PBS (pH 7.3), 1.0% BSA and 50% Glycerol

Preservative

0.02% Sodium Azide

Concentration

1 mg/ml

Shipping

The product is shipped with polar packs. Upon receipt, store it immediately at the temperature recommended below.

Stability & Storage

Store at -20C. Avoid freeze-thaw cycles.

Background: Lysozyme

Lysozyme catalyzes the hydrolysis of certain mucopolysaccharides of bacterial cell walls. Specifically, it catalyzes the hydrolysis of the bacterial cell wall beta glycosidic linkages between N acetylmuramic acid and N acetylglucosamine. It is found in spleen, lung, kidney, white blood cells, plasma, saliva, milk, and tears.

Alternate Names

EC 3.2.1.17, lysozyme, lysozyme (renal amyloidosis)1,4-beta-N-acetylmuramidase C, lysozyme C, LZM, renal amyloidosis

Gene Symbol

LYZ

Additional Lysozyme Products

Product Documents for Lysozyme Antibody (OTI1C9)

Certificate of Analysis

To download a Certificate of Analysis, please enter a lot number in the search box below.

Product Specific Notices for Lysozyme Antibody (OTI1C9)

This product is for research use only and is not approved for use in humans or in clinical diagnosis. Primary Antibodies are guaranteed for 1 year from date of receipt.

Loading...
Loading...
Loading...
Loading...