Skip to main content

Lysozyme Antibody (095) - Azide and BSA Free

Novus Biologicals, part of Bio-Techne | Catalog # NBP3-30754

Novus Biologicals, part of Bio-Techne

Key Product Details

Species Reactivity

Human

Applications

Immunohistochemistry, Immunohistochemistry-Paraffin

Label

Unconjugated

Antibody Source

Monoclonal Mouse IgG1 Clone # 095

Format

Azide and BSA Free

Concentration

Please see the vial label for concentration. If unlisted please contact technical services.

Product Specifications

Immunogen

Produced from a hybridoma resulting from the fusion of a mouse myeloma with B cells obtained from a mouse immunized with a synthetic peptide corresponding to the center region of the Human Lysozyme

Clonality

Monoclonal

Host

Mouse

Isotype

IgG1

Description

Novus Biologicals Mouse Lysozyme Antibody (095) - Azide and BSA Free (NBP3-30754) is a monoclonal antibody validated for use in IHC. All Novus Biologicals antibodies are covered by our 100% guarantee.

Scientific Data Images for Lysozyme Antibody (095) - Azide and BSA Free

Lysozyme Antibody (095) - Azide and BSA Free

Immunohistochemistry-Paraffin: Lysozyme Antibody (095) [NBP3-30754] -

Immunohistochemistry-Paraffin: Lysozyme Antibody (095) [NBP3-30754] - Immunochemical staining of human Lysozyme in human liver with NBP3-30754 at 1:200 dilution, formalin-fixed paraffin embedded sections.
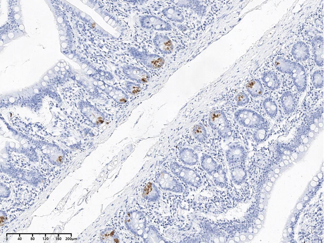
Lysozyme Antibody (095) - Azide and BSA Free

Immunohistochemistry-Paraffin: Lysozyme Antibody (095) [NBP3-30754] -

Immunohistochemistry-Paraffin: Lysozyme Antibody (095) [NBP3-30754] - Immunochemical staining of human Lysozyme in human small intestine with NBP3-30754 at 1:200 dilution, formalin-fixed paraffin embedded sections.

Applications for Lysozyme Antibody (095) - Azide and BSA Free

Application
Recommended Usage

Immunohistochemistry-Paraffin

1:100-1:500

Formulation, Preparation, and Storage

Purification

Protein A purified

Formulation

0.2 um filtered solution in PBS

Format

Azide and BSA Free

Preservative

No Preservative

Concentration

Please see the vial label for concentration. If unlisted please contact technical services.

Shipping

The product is shipped with polar packs. Upon receipt, store it immediately at the temperature recommended below.

Stability & Storage

Store at 4C short term. Aliquot and store at -20C long term. Avoid freeze-thaw cycles.

Background: Lysozyme

Lysozyme catalyzes the hydrolysis of certain mucopolysaccharides of bacterial cell walls. Specifically, it catalyzes the hydrolysis of the bacterial cell wall beta glycosidic linkages between N acetylmuramic acid and N acetylglucosamine. It is found in spleen, lung, kidney, white blood cells, plasma, saliva, milk, and tears.

Alternate Names

EC 3.2.1.17, lysozyme, lysozyme (renal amyloidosis)1,4-beta-N-acetylmuramidase C, lysozyme C, LZM, renal amyloidosis

Gene Symbol

LYZ

Additional Lysozyme Products

Product Documents for Lysozyme Antibody (095) - Azide and BSA Free

Certificate of Analysis

To download a Certificate of Analysis, please enter a lot number in the search box below.

Product Specific Notices for Lysozyme Antibody (095) - Azide and BSA Free

This product is for research use only and is not approved for use in humans or in clinical diagnosis. Primary Antibodies are guaranteed for 1 year from date of receipt.

Loading...
Loading...
Loading...
Loading...