Skip to main content

Ly-6D Antibody - BSA Free

Novus Biologicals, part of Bio-Techne | Catalog # NBP2-49416

Novus Biologicals, part of Bio-Techne
Catalog #
Availability
Size / Price
Qty
Loading...
NBP2-49416-25ul
NBP2-49416

Key Product Details

Validated by

Orthogonal Validation, Independent Antibodies

Species Reactivity

Human

Applications

Immunohistochemistry, Immunohistochemistry-Paraffin, Western Blot

Label

Unconjugated

Antibody Source

Polyclonal Rabbit IgG

Format

BSA Free

Concentration

Concentrations vary lot to lot. See vial label for concentration. If unlisted please contact technical services.

Product Specifications

Immunogen

This antibody was developed against a recombinant protein corresponding to amino acids: ESCTPSYTLQGQVSSGTSSTQCCQEDLCNEKLHNAAP

Clonality

Polyclonal

Host

Rabbit

Isotype

IgG

Description

Novus Biologicals Rabbit Ly-6D Antibody - BSA Free (NBP2-49416) is a polyclonal antibody validated for use in IHC and WB. All Novus Biologicals antibodies are covered by our 100% guarantee.

Scientific Data Images for Ly-6D Antibody - BSA Free

Immunohistochemistry-Paraffin: Ly-6D Antibody [NBP2-49416]

Immunohistochemistry-Paraffin: Ly-6D Antibody [NBP2-49416]

Immunohistochemistry-Paraffin: Ly-6D Antibody [NBP2-49416] - Analysis in human skin and kidney tissues using antibody. Corresponding LY6D RNA-seq data are presented for the same tissues.
Immunohistochemistry-Paraffin: Ly-6D Antibody [NBP2-49416]

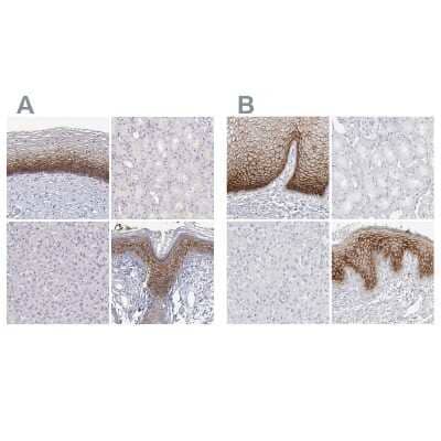
Immunohistochemistry-Paraffin: Ly-6D Antibody [NBP2-49416]

Immunohistochemistry-Paraffin: Ly-6D Antibody [NBP2-49416] - Staining of human cervix, uterine, kidney, liver and skin using Anti-LY6D antibody NBP2-49416 (A) shows similar protein distribution across tissues to independent antibody NBP1-84029 (B).
Western Blot: Ly-6D Antibody [NBP2-49416]

Western Blot: Ly-6D Antibody [NBP2-49416]

Western Blot: Ly-6D Antibody [NBP2-49416] - Analysis in control (vector only transfected HEK293T lysate) and LY6D over-expression lysate (Co-expressed with a C-terminal myc-DDK tag (3.1 kDa) in mammalian HEK293T cells).

Applications for Ly-6D Antibody - BSA Free

Application
Recommended Usage

Immunohistochemistry

1:5000 - 1:10000

Immunohistochemistry-Paraffin

1:5000 - 1:10000

Western Blot

0.04-0.4 ug/ml
Application Notes
For IHC-Paraffin, HIER pH 6 retrieval is recommended.

Formulation, Preparation, and Storage

Purification

Affinity purified

Formulation

PBS (pH 7.2) and 40% Glycerol

Format

BSA Free

Preservative

0.02% Sodium Azide

Concentration

Concentrations vary lot to lot. See vial label for concentration. If unlisted please contact technical services.

Shipping

The product is shipped with polar packs. Upon receipt, store it immediately at the temperature recommended below.

Stability & Storage

Store at 4C short term. Aliquot and store at -20C long term. Avoid freeze-thaw cycles.

Background: Ly-6D

Ly-6D may act as a specification marker at earliest stage specification of lymphocytes between B- and T-cell development. Marks the earliest stage of B-cell specification

Alternate Names

E48E48 antigen, Ly-6D, lymphocyte antigen 6 complex, locus D, lymphocyte antigen 6D

Gene Symbol

LY6D

Additional Ly-6D Products

Product Documents for Ly-6D Antibody - BSA Free

Certificate of Analysis

To download a Certificate of Analysis, please enter a lot number in the search box below.

Product Specific Notices for Ly-6D Antibody - BSA Free

This product is for research use only and is not approved for use in humans or in clinical diagnosis. Primary Antibodies are guaranteed for 1 year from date of receipt.

Loading...
Loading...
Loading...
Loading...