Skip to main content

Lipase A Antibody - BSA Free

Novus Biologicals, part of Bio-Techne | Catalog # NBP2-19360

Novus Biologicals, part of Bio-Techne
Catalog #
Availability
Size / Price
Qty
Loading...
NBP2-19360

Key Product Details

Species Reactivity

Validated:

Human, Mouse

Predicted:

Rhesus Macaque (98%). Backed by our 100% Guarantee.

Applications

Immunohistochemistry, Immunohistochemistry-Paraffin, Western Blot, Immunocytochemistry/ Immunofluorescence

Label

Unconjugated

Antibody Source

Polyclonal Rabbit IgG

Format

BSA Free

Concentration

Concentrations vary lot to lot. See vial label for concentration. If unlisted please contact technical services.

Product Specifications

Immunogen

Recombinant protein encompassing a sequence within the center region of human Lipase A. The exact sequence is proprietary.

Reactivity Notes

Immunogen displays the following percentage of sequence identity for non-tested species: Porcine (82%).

Localization

Lysosome

Clonality

Polyclonal

Host

Rabbit

Isotype

IgG

Theoretical MW

45 kDa.
Disclaimer note: The observed molecular weight of the protein may vary from the listed predicted molecular weight due to post translational modifications, post translation cleavages, relative charges, and other experimental factors.

Description

Novus Biologicals Rabbit Lipase A Antibody - BSA Free (NBP2-19360) is a polyclonal antibody validated for use in IHC, WB and ICC/IF. All Novus Biologicals antibodies are covered by our 100% guarantee.

Scientific Data Images for Lipase A Antibody - BSA Free

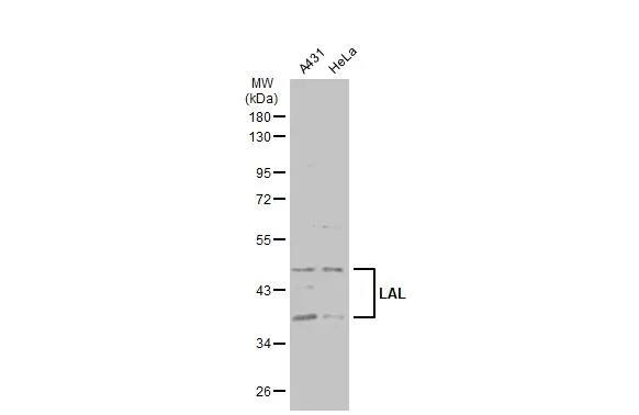
Western Blot: Lipase A Antibody [NBP2-19360]

Western Blot: Lipase A Antibody [NBP2-19360]

Western Blot: Lipase A Antibody [NBP2-19360] - Sample (50 ug of whole cell lysate) A: Mouse Liver, 10% SDS PAGE gel, diluted at 1:1000.
Lipase A Antibody

Western Blot: Lipase A Antibody [NBP2-19360] -

Western Blot: Lipase A Antibody [NBP2-19360] - Various whole cell extracts (30 ug) were separated by 10% SDS-PAGE, and the membrane was blotted with Lipase A antibody [N3C3] (NBP2-19360) diluted at 1:1000. The HRP-conjugated anti-rabbit IgG antibody was used to detect the primary antibody.
Lipase A Antibody

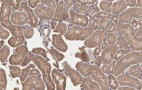
Immunohistochemistry-Paraffin: Lipase A Antibody [NBP2-19360] -

Immunohistochemistry-Paraffin: Lipase A Antibody [NBP2-19360] -Mouse kidney.LAL stained by LAL antibody [N3C3] diluted at 1:500.Antigen Retrieval: Citrate buffer, pH 6.0, 15 min

Applications for Lipase A Antibody - BSA Free

Application
Recommended Usage

Immunocytochemistry/ Immunofluorescence

Assay dependent

Immunohistochemistry

Assay dependent

Immunohistochemistry-Paraffin

Assay dependent

Western Blot

1:500-1:3000

Formulation, Preparation, and Storage

Purification

Antigen Affinity-purified

Formulation

PBS, 20% Glycerol

Format

BSA Free

Preservative

0.025% Proclin 300

Concentration

Concentrations vary lot to lot. See vial label for concentration. If unlisted please contact technical services.

Shipping

The product is shipped with polar packs. Upon receipt, store it immediately at the temperature recommended below.

Stability & Storage

Aliquot and store at -20C or -80C. Avoid freeze-thaw cycles.

Background: LIPA

This gene encodes lipase A, the lysosomal acid lipase (also known as cholesterol ester hydrolase). This enzyme functions in the lysosome to catalyze the hydrolysis of cholesteryl esters and triglycerides. Mutations in this gene can result in Wolman disease and cholesteryl ester storage disease. Alternatively spliced transcript variants encoding the same protein have been found for this gene. [provided by RefSeq]

Long Name

Lipase A

Alternate Names

CESD, Lipase A

Gene Symbol

LIPA

UniProt

Additional LIPA Products

Product Documents for Lipase A Antibody - BSA Free

Certificate of Analysis

To download a Certificate of Analysis, please enter a lot number in the search box below.

Product Specific Notices for Lipase A Antibody - BSA Free

This product is for research use only and is not approved for use in humans or in clinical diagnosis. Primary Antibodies are guaranteed for 1 year from date of receipt.

Loading...
Loading...
Loading...
Loading...