Skip to main content

Lgi3 Antibody - BSA Free

Novus Biologicals, part of Bio-Techne | Catalog # NBP3-46027

Novus Biologicals, part of Bio-Techne
Catalog #
Availability
Size / Price
Qty
Loading...
NBP3-46027

Key Product Details

Species Reactivity

Human, Mouse, Rat

Applications

Immunohistochemistry, Western Blot, ELISA, Immunocytochemistry/ Immunofluorescence, Serum

Label

Unconjugated

Antibody Source

Polyclonal Rabbit IgG

Format

BSA Free

Concentration

Please see the vial label for concentration. If unlisted please contact technical services.

Product Specifications

Immunogen

leucine-rich repeat LGI family, member 3. (Uniprot# Q8N145)

Clonality

Polyclonal

Host

Rabbit

Isotype

IgG

Description

Novus Biologicals Rabbit Lgi3 Antibody - BSA Free (NBP3-46027) is a polyclonal antibody validated for use in IHC, WB, ELISA and ICC/IF. All Novus Biologicals antibodies are covered by our 100% guarantee.

Scientific Data Images for Lgi3 Antibody - BSA Free

Lgi3 Antibody - BSA Free

Western Blot: Lgi3 Antibody - BSA Free [NBP3-46027] -

Western Blot: Lgi3 Antibody - BSA Free [NBP3-46027] - HepG2 cells were subjected to SDS PAGE followed by western blot with (Lgi3 antibody) at dilution of 1:1000
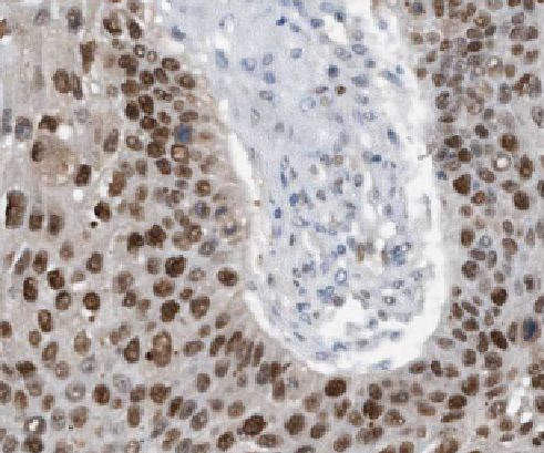
Lgi3 Antibody - BSA Free

Immunohistochemistry: Lgi3 Antibody - BSA Free [NBP3-46027] -

Immunohistochemistry: Lgi3 Antibody - BSA Free [NBP3-46027] - Immunohistochemistry of paraffin-embedded human lung using (Lgi3 antibody) at dilution of 1:50

Applications for Lgi3 Antibody - BSA Free

Application
Recommended Usage

Immunocytochemistry/ Immunofluorescence

1:20-1:200

Immunohistochemistry

1:20-1:200

Serum

FC

Western Blot

1:500-1:2000
Application Notes
Theoretical Molecular Weight is 55-62 kDa

Formulation, Preparation, and Storage

Purification

Immunogen affinity purified

Formulation

PBS, 50% Glycerol, pH (7.3)

Format

BSA Free

Preservative

0.02% Sodium Azide

Concentration

Please see the vial label for concentration. If unlisted please contact technical services.

Shipping

The product is shipped with polar packs. Upon receipt, store it immediately at the temperature recommended below.

Stability & Storage

Store at -20C. Avoid freeze-thaw cycles.

Background: LGI3

The LGI3 gene encodes the Leucine-Rich Glioma-Inactivated Protien 3 and may help regulate neuronal exocytosis. LGI3 is the third member of the LGI/Epitempin family.

Long Name

Leucine-Rich Glioma-Inactivated Protein 3

Alternate Names

LGIL4

Gene Symbol

LGI3

Additional LGI3 Products

Product Documents for Lgi3 Antibody - BSA Free

Certificate of Analysis

To download a Certificate of Analysis, please enter a lot number in the search box below.

Product Specific Notices for Lgi3 Antibody - BSA Free

This product is for research use only and is not approved for use in humans or in clinical diagnosis. Primary Antibodies are guaranteed for 1 year from date of receipt.

Loading...
Loading...
Loading...
Loading...