LAMP-2/CD107b Antibody (D3-D8-D3-R)
Novus Biologicals, part of Bio-Techne | Catalog # NBP3-32523
Recombinant Monoclonal Antibody
Key Product Details
Species Reactivity
Human
Applications
Immunohistochemistry, Immunohistochemistry-Paraffin, Western Blot
Label
Unconjugated
Antibody Source
Recombinant Monoclonal Mouse IgG1 Clone # D3-D8-D3-R expressed in HEK293
Concentration
1 mg/ml
Product Specifications
Immunogen
Recombinant protein corresponding to N terminal Human LAMP-2/CD107b. (Uniprot: P13473)
Localization
Cell membrane, Cytoplasmic vesicle, Endosome, Lysosome, Membrane.
Clonality
Monoclonal
Host
Mouse
Isotype
IgG1
Theoretical MW
45 kDa.
Disclaimer note: The observed molecular weight of the protein may vary from the listed predicted molecular weight due to post translational modifications, post translation cleavages, relative charges, and other experimental factors.
Disclaimer note: The observed molecular weight of the protein may vary from the listed predicted molecular weight due to post translational modifications, post translation cleavages, relative charges, and other experimental factors.
Description
Novus Biologicals Mouse LAMP-2/CD107b Antibody (D3-D8-D3-R) (NBP3-32523) is a recombinant monoclonal antibody validated for use in IHC and WB. All Novus Biologicals antibodies are covered by our 100% guarantee.
Scientific Data Images for LAMP-2/CD107b Antibody (D3-D8-D3-R)
Western Blot: LAMP-2/CD107b Antibody (D3-D8-D3-R) [NBP3-32523]
Western Blot: LAMP-2/CD107b Antibody (D3-D8-D3-R) [NBP3-32523] - Western blot analysis of LAMP-2/CD107b on different lysates with Mouse anti-LAMP-2/CD107b antibody (NBP3-32523) at 1/1,000 dilution.Lane 1: HeLa cell lysate
Lane 2: Jurkat cell lysate
Lane 3: HepG2 cell lysate
Lane 4: HUVEC cell lysate
Lane 5: JAR cell lysate
Lane 6: HEK-293 cell lysate
Lane 7: THP-1 cell lysate
Lysates/proteins at 20 ug/Lane.
Predicted band size: 45 kDa
Observed band size: 110 kDa
Exposure time: 3 minute;
4-20% SDS-PAGE gel.
Proteins were transferred to a PVDF membrane and blocked with 5% NFDM/TBST for 1 hour at room temperature. The primary antibody (NBP3-32523) at 1/1,000 dilution was used in 5% NFDM/TBST at 4 overnight. Goat Anti-Mouse IgG - HRP Secondary Antibody at 1/50,000 dilution was used for 1 hour at room temperature.
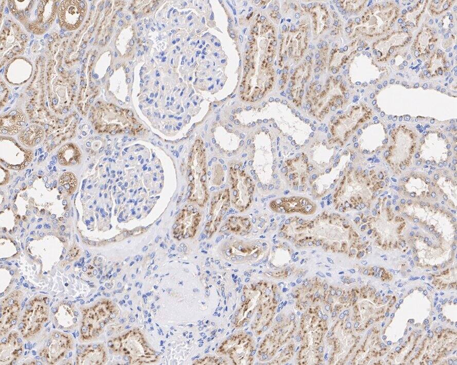
Immunohistochemistry: LAMP-2/CD107b Antibody (D3-D8-D3-R) [NBP3-32523]
Immunohistochemistry: LAMP-2/CD107b Antibody (D3-D8-D3-R) [NBP3-32523] - Immunohistochemical analysis of paraffin-embedded human kidney tissue with Mouse anti-LAMP-2/CD107b antibody (NBP3-32523) at 1/5,000 dilution.The section was pre-treated using heat mediated antigen retrieval with Tris-EDTA buffer (pH 9.0) for 20 minutes. The tissues were blocked in 1% BSA for 20 minutes at room temperature, washed with ddH2O and PBS, and then probed with the primary antibody (NBP3-32523) at 1/5,000 dilution for 1 hour at room temperature. The detection was performed using an HRP conjugated compact polymer system. DAB was used as the chromogen. Tissues were counterstained with hematoxylin and mounted with DPX.
Applications for LAMP-2/CD107b Antibody (D3-D8-D3-R)
Application
Recommended Usage
Immunohistochemistry-Paraffin
1:5000
Western Blot
1:1000
Formulation, Preparation, and Storage
Purification
Protein A purified
Formulation
PBS (pH7.4), 0.1% BSA and 40% Glycerol
Preservative
0.05% Sodium Azide
Concentration
1 mg/ml
Shipping
The product is shipped with polar packs. Upon receipt, store it immediately at the temperature recommended below.
Stability & Storage
Store at 4C short term. Aliquot and store at -20C long term. Avoid freeze-thaw cycles.
Background: LAMP-2/CD107b
References
1. Rowland, T. J., Sweet, M. E., Mestroni, L., & Taylor, M. R. G. (2016). Danon disease - dysregulation of autophagy in a multisystem disorder with cardiomyopathy. Journal of Cell Science. https://doi.org/10.1242/jcs.184770
2. Alfaro, I. E., Albornoz, A., Molina, A., Moreno, J., Cordero, K., Criollo, A., & Budini, M. (2019). Chaperone mediated autophagy in the crosstalk of neurodegenerative diseases and metabolic disorders. Frontiers in Endocrinology. https://doi.org/10.3389/fendo.2018.00778
3. Schneider, J. L., & Cuervo, A. M. (2014). Autophagy and human disease: Emerging themes. Current Opinion in Genetics and Development. https://doi.org/10.1016/j.gde.2014.04.003
4. Chi, C., Leonard, A., Knight, W. E., Beussman, K. M., Zhao, Y., Cao, Y., Song, K. (2019). LAMP-2B regulates human cardiomyocyte function by mediating autophagosome lysosome fusion. Proceedings of the National Academy of Sciences of the United States of America. https://doi.org/10.1073/pnas.1808618116
5. Nguyen, H. T., Noguchi, S., Sugie, K., Matsuo, Y., Nguyen, C. T. H., Koito, H., Tsukaguchi, H. (2018). Small-Vessel Vasculopathy Due to Aberrant Autophagy in LAMP-2 Deficiency. Scientific Reports. https://doi.org/10.1038/s41598-018-21602-8
Long Name
Lysosome-associated Membrane Glycoprotein 2
Alternate Names
CD107b, LAMP2, LAMPB, LGP110
Gene Symbol
LAMP2
Additional LAMP-2/CD107b Products
Product Documents for LAMP-2/CD107b Antibody (D3-D8-D3-R)
Product Specific Notices for LAMP-2/CD107b Antibody (D3-D8-D3-R)
This product is for research use only and is not approved for use in humans or in clinical diagnosis. Primary Antibodies are guaranteed for 1 year from date of receipt.
Loading...
Loading...
Loading...
Loading...