Skip to main content

LAG-3 Antibody (OTI8F6) - Azide and BSA Free

Novus Biologicals, part of Bio-Techne | Catalog # NBP2-71112

Novus Biologicals, part of Bio-Techne

Key Product Details

Validated by

Biological Validation

Species Reactivity

Human

Applications

Immunohistochemistry, Immunohistochemistry-Paraffin, Western Blot, Flow Cytometry

Label

Unconjugated

Antibody Source

Monoclonal Mouse IgG2B Clone # OTI8F6

Format

Azide and BSA Free

Concentration

LYOPH mg/ml

Product Specifications

Immunogen

This LAG-3 Antibody (OTI8F6) - Azide and BSA Free was developed from human recombinant protein fragment corresponding to amino acids 66-332 of human LAG3(NP_002277) produced in E.coli.

Clonality

Monoclonal

Host

Mouse

Isotype

IgG2B

Theoretical MW

57.5 kDa.
Disclaimer note: The observed molecular weight of the protein may vary from the listed predicted molecular weight due to post translational modifications, post translation cleavages, relative charges, and other experimental factors.

Description

Novus Biologicals Mouse LAG-3 Antibody (OTI8F6) - Azide and BSA Free (NBP2-45581) is a monoclonal antibody validated for use in IHC, WB and Flow. All Novus Biologicals antibodies are covered by our 100% guarantee.

Scientific Data Images for LAG-3 Antibody (OTI8F6) - Azide and BSA Free

Western Blot: LAG-3 Antibody (OTI8F6)Azide and BSA Free [NBP2-71112]

Western Blot: LAG-3 Antibody (OTI8F6)Azide and BSA Free [NBP2-71112]

Western Blot: LAG-3 Antibody (OTI8F6) [NBP2-71112] - Analysis of HEK293T cells were transfected with the pCMV6-ENTRY control (Left lane) or pCMV6-ENTRY LAG3.
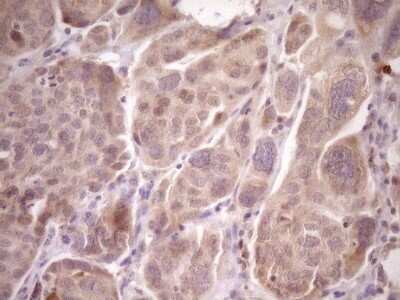
Immunohistochemistry: LAG-3 Antibody (OTI8F6) - Azide and BSA Free [NBP2-71112]

Immunohistochemistry: LAG-3 Antibody (OTI8F6) - Azide and BSA Free [NBP2-71112]

Immunohistochemistry: LAG-3 Antibody (OTI8F6) - Azide and BSA Free [NBP2-71112] - Analysis of Adenocarcinoma of Human colon tissue. (Heat-induced epitope retrieval by Tris-EDTA, pH8.0)(1:150)
Flow Cytometry: LAG-3 Antibody (OTI8F6) - Azide and BSA Free [NBP2-71112]

Flow Cytometry: LAG-3 Antibody (OTI8F6) - Azide and BSA Free [NBP2-71112]

Flow Cytometry: LAG-3 Antibody (OTI8F6) - Azide and BSA Free [NBP2-71112] - Analysis of living PBMCs treated with 10ug/ml PHA for 72h (Right)/untreated (Left) using anti-LAG3 antibody (1:100).

Applications for LAG-3 Antibody (OTI8F6) - Azide and BSA Free

Application
Recommended Usage

Flow Cytometry

1:100

Immunohistochemistry

1:150

Immunohistochemistry-Paraffin

1:150

Western Blot

1:2000

Formulation, Preparation, and Storage

Purification

Immunogen affinity purified

Reconstitution

we recommend adding 100uL distilled water to a final antibody concentration of about 1 mg/mL. To use this carrier-free antibody for conjugation experiment, we strongly recommend performing another round of desalting process.

Formulation

Lyophilized from PBS (pH 7.3) with 8% Trehalose

Format

Azide and BSA Free

Preservative

No Preservative

Concentration

LYOPH mg/ml

Shipping

The product is shipped with polar packs. Upon receipt, store it immediately at the temperature recommended below.

Stability & Storage

Store at -20C. Avoid freeze-thaw cycles.

Background: LAG-3

Lymphocyte activation gene-3 (LAG-3), also referred to as CD233, is a type I transmembrane protein with a theoretical molecular weight of 70 kDa that is a member of the immunoglobulin superfamily (IgSF) (1, 2). Human LAG-3 cDNA encodes 525 amino acids (aa) that includes a 28 aa signal sequence, a 422 aa extracellular domain (ECD) with four Ig-like domains (D1-D4), a transmembrane region and a highly charged cytoplasmic region. Within the ECD, human LAG-3 shares 70%, 67%, 76%, and 73% aa sequence identity with mouse, rat, porcine, and bovine LAG-3, respectively. The extracellular region of LAG-3 and the CD4 co-receptor share ~20% aa sequence homology but are structurally similar and both bind to major histocompatibility complex class II (MHCII) on antigen-presenting cells (APCs), although LAG-3 has much higher affinity (1, 3). LAG-3 is highly expressed in the lymph node, spleen, ovary, and appendix while expressed at a lower level in a variety of other tissues. More specifically, LAG-3 is expressed on activated CD4+ and CD8+ T cells, natural killer T (NKT) cells, natural killer (NK) cells, plasmacytoid dendritic cells (pDCs), and regulatory T cells (Tregs), but not on naive, or resting, T cells (1, 3).

As mentioned above, LAG-3 binds to MHCII and this occurs via a proline-rich amino acid loop in D1 (1, 3). Another unique feature of LAG-3 is the longer connecting peptide region between the D4 and the transmembrane, which is acted upon and cleaved by metalloproteinases a disintegrin and metallopeptidase domain (ADAM) 10 and ADAM17 to generate a soluble 54 kDa form of LAG-3 (sLAG-3) (1, 3). The interaction of LAG-3 with MHCII prevents the MHC molecule from binding to a T-cell receptor (TCR) or CD4, thereby functioning in an inhibitory role and suppressing the TCR signal (4). When LAG-3 crosslinks with the TCR/CD3 complex, it causes reduced T-cell proliferation and cytokine secretion (4). This negative regulation is important in controlling autoimmunity as one study found Lag3-/- NOD (non-obese diabetic) mice had accelerated diabetes onset and increased T-cell infiltration into islet cells (5). On the other hand, besides being a negative regulator of T-cells, LAG-3 binding to MHCII molecules on APCs induces dendritic cell maturation and cytokine secretion by monocytes (5, 6). In addition to MHCII, other reported ligands for LAG-3 includes fibrinogen-like protein 1 (FGL1), liver endothelial cell lectin (lSECtin), galectin-3 (Gal-3), and alpha-synuclein fibrils (1). Gal-3, for instance, is expressed on stromal cells and CD8+ T-cells in the tumor microenvironment and the interaction with LAG-3 was shown to be crucial for the suppression of secreted cytokine IFN-gamma and may control anti-tumor immune responses (1, 5). Interestingly, a mouse model of Parkinson's disease revealed LAG-3 binding to alpha-synuclein fibrils in the central nervous system, contributing to its pathogenesis (1, 5).

Recent cancer immunotherapeutic approaches have focused on inhibitory receptors such as LAG-3 to revive expression of cytotoxic T-cells to attack tumors (6). LAG-3 has been shown to be co-expressed and have synergy with another immune-checkpoint molecule called programmed-death 1 (PD-1) (1, 4, 5, 6). In a mouse model of colon adenocarcinoma LAG3 blockade alone was largely ineffective, however co-blockade of LAG-3 and PD-1 limited tumor growth and resulted in tumor clearance in 80% of mice, compared to 40% with PD-1 blockade alone (5). Additionally, in a model of fibrosarcoma the LAG-3/PD-1 duel blockade increased survival and the percentage of tumor-free mice (5). Analysis of a variety of human tumor samples (e.g. melanoma, colon cancer, head and neck squamous cell carcinoma) also suggest that LAG3 alone and combinatorial treatment with PD-1 may be a good target for treatment (1, 3-6). To date there are over 10 different agents targeting LAG-3 in clinical trials for cancer either as an anti-LAG-3 blocking antibody monotherapy or as a combination antagonist bispecific antibody, primarily with PD-1 (1, 3-6).

Alternative names for LAG-3 includes 17b4 lag3, 17b4 neutralizing, 17b4, CD223, FDC, LAG-3 17b4, LAG-3 blocking, and LAG3.

References

1. Maruhashi, T., Sugiura, D., Okazaki, I. M., & Okazaki, T. (2020). LAG-3: from molecular functions to clinical applications. Journal for Immunotherapy of Cancer, 8(2), e001014. https://doi.org/10.1136/jitc-2020-001014

2. Triebel, F., Jitsukawa, S., Baixeras, E., Roman-Roman, S., Genevee, C., Viegas-Pequignot, E., & Hercend, T. (1990). LAG-3, a novel lymphocyte activation gene closely related to CD4. The Journal of experimental medicine, 171(5), 1393-1405. https://doi.org/10.1084/jem.171.5.1393

3. Ruffo, E., Wu, R. C., Bruno, T. C., Workman, C. J., & Vignali, D. (2019). Lymphocyte-activation gene 3 (LAG3): The next immune checkpoint receptor. Seminars in immunology, 42, 101305. https://doi.org/10.1016/j.smim.2019.101305

4. Long, L., Zhang, X., Chen, F., Pan, Q., Phiphatwatchara, P., Zeng, Y., & Chen, H. (2018). The promising immune checkpoint LAG-3: from tumor microenvironment to cancer immunotherapy. Genes & cancer, 9(5-6), 176-189.

5. Andrews, L. P., Marciscano, A. E., Drake, C. G., & Vignali, D. A. (2017). LAG3 (CD223) as a cancer immunotherapy target. Immunological reviews, 276(1), 80-96. https://doi.org/10.1111/imr.12519

6. Goldberg, M. V., & Drake, C. G. (2011). LAG-3 in Cancer Immunotherapy. Current topics in microbiology and immunology, 344, 269-278. https://doi.org/10.1007/82_2010_114

Long Name

Lymphocyte-activation Gene 3

Alternate Names

CD223, LAG3

Gene Symbol

LAG3

Additional LAG-3 Products

Product Documents for LAG-3 Antibody (OTI8F6) - Azide and BSA Free

Certificate of Analysis

To download a Certificate of Analysis, please enter a lot number in the search box below.

Product Specific Notices for LAG-3 Antibody (OTI8F6) - Azide and BSA Free

This product is for research use only and is not approved for use in humans or in clinical diagnosis. Primary Antibodies are guaranteed for 1 year from date of receipt.

Loading...
Loading...
Loading...
Loading...
Loading...
Loading...
Loading...