Skip to main content

KMT1A/SUV39H1 Antibody - BSA Free

Novus Biologicals, part of Bio-Techne | Catalog # NBP2-17086

Novus Biologicals, part of Bio-Techne
Catalog #
Availability
Size / Price
Qty
Loading...
NBP2-17086

Key Product Details

Species Reactivity

Validated:

Human, Mouse, Monkey

Cited:

Mouse

Predicted:

Bovine (100%), Rat (98%), Rhesus Macaque (100%), Xenopus (90%). Backed by our 100% Guarantee.

Applications

Validated:

Immunohistochemistry, Immunohistochemistry-Paraffin, Western Blot, Immunocytochemistry/ Immunofluorescence, Immunoprecipitation

Cited:

Immunohistochemistry Free-Floating

Label

Unconjugated

Antibody Source

Polyclonal Rabbit IgG

Format

BSA Free

Concentration

Concentrations vary lot to lot. See vial label for concentration. If unlisted please contact technical services.

Product Specifications

Immunogen

Recombinant protein encompassing a sequence within the center region of human KMT1A/SUV39H1. The exact sequence is proprietary.

Reactivity Notes

Xenopus laevis (90%).

Localization

Nucleus; Centromere

Clonality

Polyclonal

Host

Rabbit

Isotype

IgG

Theoretical MW

48 kDa.
Disclaimer note: The observed molecular weight of the protein may vary from the listed predicted molecular weight due to post translational modifications, post translation cleavages, relative charges, and other experimental factors.

Description

Novus Biologicals Rabbit KMT1A/SUV39H1 Antibody - BSA Free (NBP2-17086) is a polyclonal antibody validated for use in IHC, WB, ICC/IF and IP. Anti-KMT1A/SUV39H1 Antibody: Cited in 1 publication. All Novus Biologicals antibodies are covered by our 100% guarantee.

Scientific Data Images for KMT1A/SUV39H1 Antibody - BSA Free

Immunocytochemistry/ Immunofluorescence: KMT1A/SUV39H1 Antibody [NBP2-17086]

Immunocytochemistry/ Immunofluorescence: KMT1A/SUV39H1 Antibody [NBP2-17086]

Immunocytochemistry/Immunofluorescence: KMT1A/SUV39H1 Antibody [NBP2-17086] - SUV39H1 antibody [N3C3] detects SUV39H1 protein at nucleus by immunofluorescent analysis. Sample: HeLa cells were fixed in 4% paraformaldehyde at RT for 15 min. Green: SUV39H1 stained by SUV39H1 antibody [N3C3] diluted at 1:500. Red: phalloidin, a cytoskeleton marker, diluted at 1:200. Scale bar= 10 um.
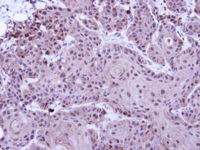
Immunohistochemistry-Paraffin: KMT1A/SUV39H1 Antibody [NBP2-17086]

Immunohistochemistry-Paraffin: KMT1A/SUV39H1 Antibody [NBP2-17086]

Immunohistochemistry-Paraffin: KMT1A/SUV39H1 Antibody [NBP2-17086] - Cal27 Xenograft, using SUV39H1 antibody at 1:100 dilution. Antigen Retrieval: Trilogy™ (EDTA based, pH 8.0) buffer, 15min.
Western Blot: KMT1A/SUV39H1 Antibody [NBP2-17086]

Western Blot: KMT1A/SUV39H1 Antibody [NBP2-17086]

Western Blot: KMT1A/SUV39H1 Antibody [NBP2-17086] - Western blot with anti Suv39H1 after siControl and siSUV39H1 in MCF7 cells. Image from verified customer review.

Applications for KMT1A/SUV39H1 Antibody - BSA Free

Application
Recommended Usage

Immunocytochemistry/ Immunofluorescence

1:100-1:1000

Immunohistochemistry

1:100-1:1000

Immunohistochemistry-Paraffin

1:100-1:1000

Immunoprecipitation

Assay dependent

Western Blot

1:500-1:20000

Reviewed Applications

Read 1 review rated 5 using NBP2-17086 in the following applications:

Formulation, Preparation, and Storage

Purification

Antigen Affinity-purified

Formulation

PBS, 20% Glycerol

Format

BSA Free

Preservative

0.025% Proclin 300

Concentration

Concentrations vary lot to lot. See vial label for concentration. If unlisted please contact technical services.

Shipping

The product is shipped with polar packs. Upon receipt, store it immediately at the temperature recommended below.

Stability & Storage

Aliquot and store at -20C or -80C. Avoid freeze-thaw cycles.

Background: KMT1A/SUV39H1

This gene is a member of the suppressor of variegation 3-9 homolog family and encodes a protein with a chromodomain and a C-terminal SET domain. This nuclear protein moves to the centromeres during mitosis and functions as a histone methyltransferase, methylating Lys-9 of histone H3. Overall, it plays a vital role in heterochromatin organization, chromosome segregation, and mitotic progression. [provided by RefSeq]

Long Name

Histone-lysine N-methyltransferase SUV39H1

Alternate Names

EC 2.1.1.355, H3-K9-HMTase 1, KMT1A, SUV39H, SUV39H1

Gene Symbol

SUV39H1

UniProt

Additional KMT1A/SUV39H1 Products

Product Documents for KMT1A/SUV39H1 Antibody - BSA Free

Certificate of Analysis

To download a Certificate of Analysis, please enter a lot number in the search box below.

Product Specific Notices for KMT1A/SUV39H1 Antibody - BSA Free

This product is for research use only and is not approved for use in humans or in clinical diagnosis. Primary Antibodies are guaranteed for 1 year from date of receipt.

Loading...
Loading...
Loading...
Loading...