Skip to main content

Klkbl4 Antibody - BSA Free

Novus Biologicals, part of Bio-Techne | Catalog # NBP1-88043

Novus Biologicals, part of Bio-Techne
Catalog #
Availability
Size / Price
Qty
Loading...
NBP1-88043
NBP1-88043-25ul

Key Product Details

Validated by

Orthogonal Validation

Species Reactivity

Human

Applications

Immunohistochemistry, Immunohistochemistry-Paraffin, Western Blot

Label

Unconjugated

Antibody Source

Polyclonal Rabbit IgG

Format

BSA Free

Concentration

Concentrations vary lot to lot. See vial label for concentration. If unlisted please contact technical services.

Product Specifications

Immunogen

This antibody was developed against Recombinant Protein corresponding to amino acids: VFYGPDPKEGLVSSMEFPWVVSLQDSQYTHLAFGCILSEFWVLSIASAIQNRKDIVVIVGISNMDPSKIAHTEYPVNTIIIHEDFDNNSMSN

Clonality

Polyclonal

Host

Rabbit

Isotype

IgG

Scientific Data Images for Klkbl4 Antibody - BSA Free

Immunohistochemistry-Paraffin: Klkbl4 Antibody [NBP1-88043]

Immunohistochemistry-Paraffin: Klkbl4 Antibody [NBP1-88043]

Immunohistochemistry-Paraffin: Klkbl4 Antibody [NBP1-88043] - Staining in human testis and endometrium tissues using anti-PRSS54 antibody. Corresponding PRSS54 RNA-seq data are presented for the same tissues.
Immunohistochemistry-Paraffin: Klkbl4 Antibody [NBP1-88043]

Immunohistochemistry-Paraffin: Klkbl4 Antibody [NBP1-88043]

Immunohistochemistry-Paraffin: Klkbl4 Antibody [NBP1-88043] - Staining of human endometrium shows low expression as expected.
Immunohistochemistry-Paraffin: Klkbl4 Antibody [NBP1-88043]

Immunohistochemistry-Paraffin: Klkbl4 Antibody [NBP1-88043]

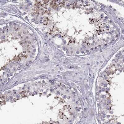
Immunohistochemistry-Paraffin: Klkbl4 Antibody [NBP1-88043] - Staining of human testis shows high expression.

Applications for Klkbl4 Antibody - BSA Free

Application
Recommended Usage

Immunohistochemistry

1:500 - 1:1000

Immunohistochemistry-Paraffin

1:500 - 1:1000

Western Blot

0.04-0.4 ug/ml
Application Notes
For IHC-Paraffin, HIER pH 6 retrieval is recommended.

Formulation, Preparation, and Storage

Purification

Affinity purified

Formulation

PBS (pH 7.2) and 40% Glycerol

Format

BSA Free

Preservative

0.02% Sodium Azide

Concentration

Concentrations vary lot to lot. See vial label for concentration. If unlisted please contact technical services.

Shipping

The product is shipped with polar packs. Upon receipt, store it immediately at the temperature recommended below.

Stability & Storage

Store at 4C short term. Aliquot and store at -20C long term. Avoid freeze-thaw cycles.

Background: Klkbl4

Alternate Names

Cancer/testis antigen 67, CT67Plasma kallikrein-like protein 4, FLJ25339, KLKBL4inactive serine protease 54, protease, serine, 54

Gene Symbol

PRSS54

Additional Klkbl4 Products

Product Documents for Klkbl4 Antibody - BSA Free

Certificate of Analysis

To download a Certificate of Analysis, please enter a lot number in the search box below.

Product Specific Notices for Klkbl4 Antibody - BSA Free

This product is for research use only and is not approved for use in humans or in clinical diagnosis. Primary Antibodies are guaranteed for 1 year from date of receipt.

Loading...
Loading...
Loading...
Loading...