KLF4 Antibody - BSA Free
Novus Biologicals, part of Bio-Techne | Catalog # NBP1-83940
Key Product Details
Validated by
Orthogonal Validation, Biological Validation
Species Reactivity
Validated:
Human
Cited:
Human
Applications
Validated:
Immunohistochemistry, Immunohistochemistry-Paraffin, Western Blot, Immunocytochemistry/ Immunofluorescence, Immunoprecipitation, Chromatin Immunoprecipitation (ChIP), Chromatin Immunoprecipitation-exo-Seq, Knockdown Validated
Cited:
Immunohistochemistry-Paraffin, Western Blot, Immunocytochemistry/ Immunofluorescence, Immunoprecipitation, Chemotaxis, IF/IHC, Knockdown Validated
Label
Unconjugated
Antibody Source
Polyclonal Rabbit IgG
Format
BSA Free
Concentration
Concentrations vary lot to lot. See vial label for concentration. If unlisted please contact technical services.
Product Specifications
Immunogen
This antibody was developed against Recombinant Protein corresponding to amino acids: ETEEFNDLLDLDFILSNSLTHPPESVAATVSSSASASSSSSPSSSGPASAPSTCSFTYPIRAGNDPGVAPGGTGGGLLYGRESAPPPTAPFNLADINDVSP
Reactivity Notes
Immunogen displays the following percentage of sequence identity for non-tested species: Mouse (89%), Rat (89).
Clonality
Polyclonal
Host
Rabbit
Isotype
IgG
Theoretical MW
56 kDa.
Disclaimer note: The observed molecular weight of the protein may vary from the listed predicted molecular weight due to post translational modifications, post translation cleavages, relative charges, and other experimental factors.
Disclaimer note: The observed molecular weight of the protein may vary from the listed predicted molecular weight due to post translational modifications, post translation cleavages, relative charges, and other experimental factors.
Description
Novus Biologicals Rabbit KLF4 Antibody - BSA Free (NBP1-83940) is a polyclonal antibody validated for use in IHC, WB, ICC/IF, IP and ChIP. Anti-KLF4 Antibody: Cited in 12 publications. All Novus Biologicals antibodies are covered by our 100% guarantee.
Scientific Data Images for KLF4 Antibody - BSA Free
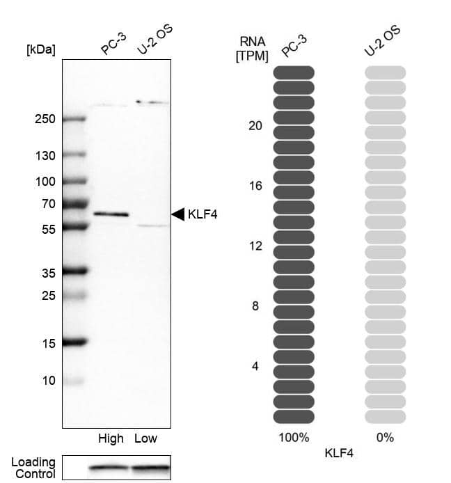
Western Blot: KLF4 Antibody [NBP1-83940]
KLF4-Antibody-Western-Blot-NBP1-83940-img0025.jpgImmunocytochemistry/ Immunofluorescence: KLF4 Antibody [NBP1-83940]
Immunocytochemistry/Immunofluorescence: KLF4 Antibody [NBP1-83940] - Staining of human cell line A-431 shows localization to nucleoplasm. Antibody staining is shown in green.Applications for KLF4 Antibody - BSA Free
Application
Recommended Usage
Chromatin Immunoprecipitation (ChIP)
Reported in scientific literature (PMID: 25228645).
Chromatin Immunoprecipitation-exo-Seq
1-10ug per reaction
Immunocytochemistry/ Immunofluorescence
0.25-2 ug/ml
Immunohistochemistry
1:1000 - 1:2500
Immunohistochemistry-Paraffin
1:1000 - 1:2500
Immunoprecipitation
Reported in scientific literature (PMID: 25228645).
Knockdown Validated
Reported in scientific publication (PMID: 32427586).
Western Blot
0.04-0.4 ug/ml
Application Notes
For IHC-Paraffin, HIER pH 6 retrieval is recommended. ICC/IF, fixation/permeabilization: PFA/Triton X-100.
Reviewed Applications
Read 2 reviews rated 4 using NBP1-83940 in the following applications:
Formulation, Preparation, and Storage
Purification
Immunogen affinity purified
Formulation
PBS (pH 7.2) and 40% Glycerol
Format
BSA Free
Preservative
0.02% Sodium Azide
Concentration
Concentrations vary lot to lot. See vial label for concentration. If unlisted please contact technical services.
Shipping
The product is shipped with polar packs. Upon receipt, store it immediately at the temperature recommended below.
Stability & Storage
Store at 4C short term. Aliquot and store at -20C long term. Avoid freeze-thaw cycles.
Background: KLF4
Long Name
Kruppel-Like Factor 4
Alternate Names
EZF
Entrez Gene IDs
9314 (Human)
Gene Symbol
KLF4
UniProt
Additional KLF4 Products
Product Documents for KLF4 Antibody - BSA Free
Product Specific Notices for KLF4 Antibody - BSA Free
This product is for research use only and is not approved for use in humans or in clinical diagnosis. Primary Antibodies are guaranteed for 1 year from date of receipt.
Loading...
Loading...
Loading...
Loading...