Skip to main content

KLF4 Antibody (7B7U1)

Novus Biologicals, part of Bio-Techne | Catalog # NBP3-15469

Recombinant Monoclonal Antibody
Novus Biologicals, part of Bio-Techne
Catalog #
Availability
Size / Price
Qty
Loading...
NBP3-15469-100ul
NBP3-15469-20ul

Key Product Details

Species Reactivity

Human, Mouse, Rat

Applications

Immunohistochemistry, Immunohistochemistry-Paraffin, Western Blot, ELISA, Immunocytochemistry/ Immunofluorescence, Immunoprecipitation

Label

Unconjugated

Antibody Source

Recombinant Monoclonal Rabbit IgG Clone # 7B7U1 expressed in HEK293

Concentration

Please see the vial label for concentration. If unlisted please contact technical services.

Product Specifications

Immunogen

A synthetic peptide corresponding to a sequence within amino acids 300-400 of human KLF4 (O43474). PAAHDFPLGRQLPSRTTPTLGLEEVLSSRDCHPALPLPPGFHPHPGPNYPSFLPDQMQPQVPPLHYQGQSRGFVARAGEPCVCWPHFGTHGMMLTPPSSPL

Clonality

Monoclonal

Host

Rabbit

Isotype

IgG

Theoretical MW

55 kDa.
Disclaimer note: The observed molecular weight of the protein may vary from the listed predicted molecular weight due to post translational modifications, post translation cleavages, relative charges, and other experimental factors.

Description

Novus Biologicals Rabbit KLF4 Antibody (7B7U1) (NBP3-15469) is a recombinant monoclonal antibody validated for use in IHC, WB, ELISA, ICC/IF and IP. All Novus Biologicals antibodies are covered by our 100% guarantee.

Scientific Data Images for KLF4 Antibody (7B7U1)

Western Blot: KLF4 Antibody (7B7U1) [NBP3-15469]

Western Blot: KLF4 Antibody (7B7U1) [NBP3-15469]

Western Blot: KLF4 Antibody (7B7U1) [NBP3-15469] - Analysis of extracts of Mouse lung, using KLF4 Rabbit mAb (NBP3-15469) at 1:1000 dilution. Secondary antibody: HRP Goat Anti-Rabbit IgG (H+L) at 1:10000 dilution. Lysates/proteins: 25ug per lane. Blocking buffer: 3% nonfat dry milk in TBST. Detection: ECL Basic Kit. Exposure time: 3min.
Immunocytochemistry/ Immunofluorescence: KLF4 Antibody (7B7U1) [NBP3-15469]

Immunocytochemistry/ Immunofluorescence: KLF4 Antibody (7B7U1) [NBP3-15469]

Immunocytochemistry/Immunofluorescence: KLF4 Antibody (7B7U1) [NBP3-15469] - Immunofluorescence analysis of U-2 OS cells using KLF4 Rabbit mAb (NBP3-15469) at dilution of 1:100 (40x lens). Blue: DAPI for nuclear staining.
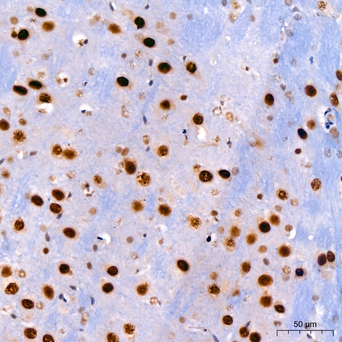
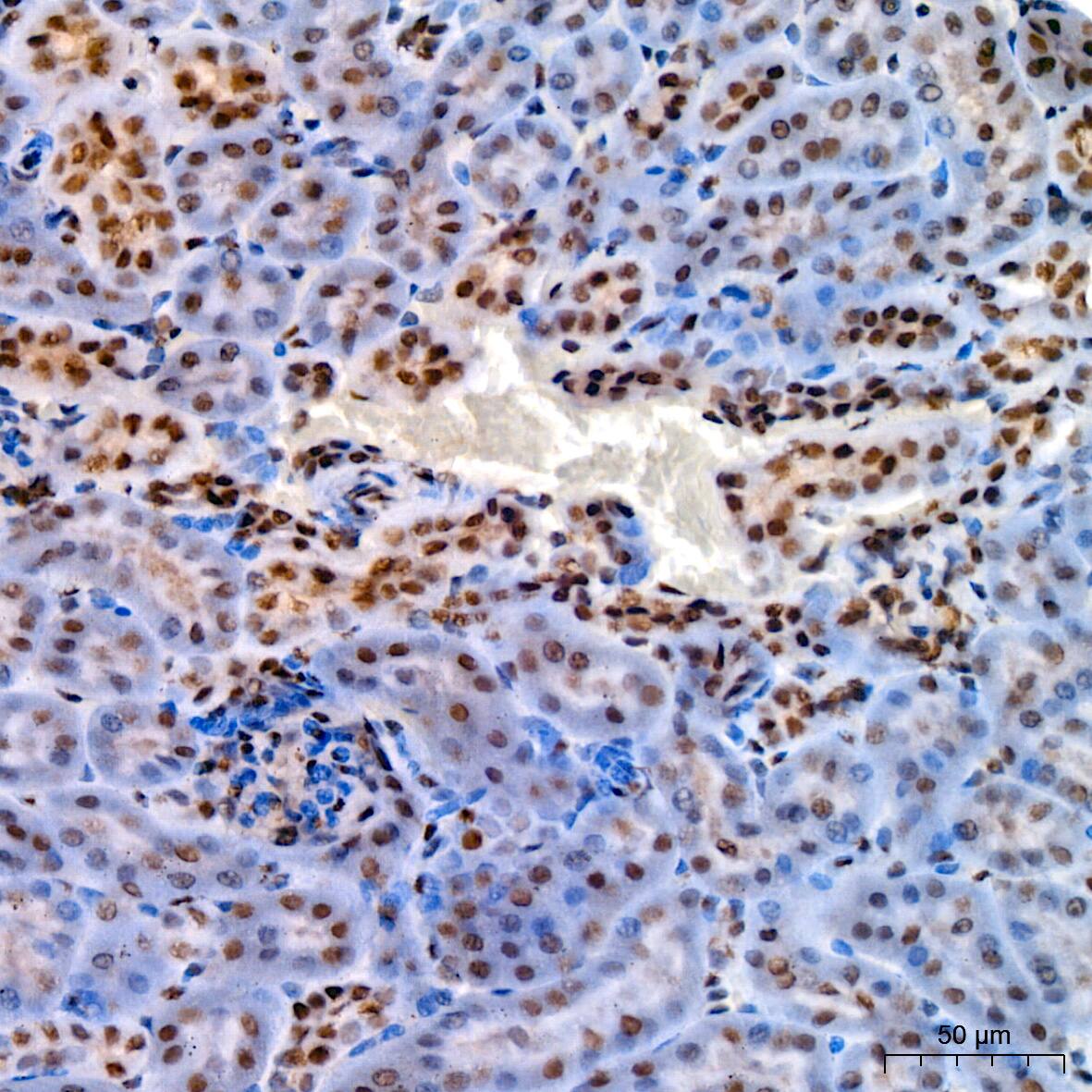
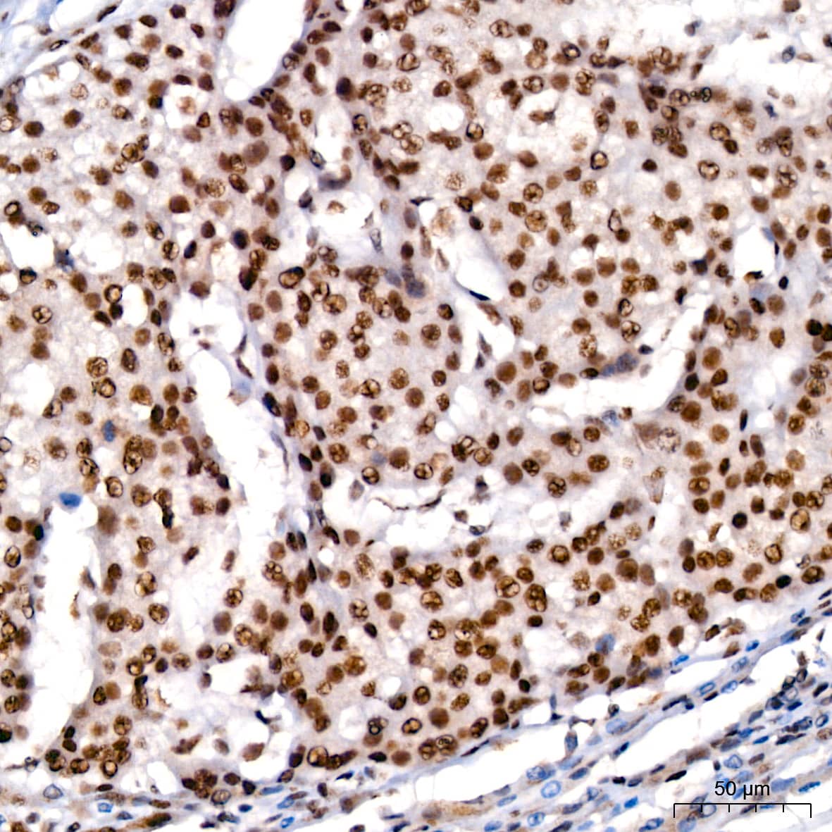
Immunohistochemistry-Paraffin: KLF4 Antibody (7B7U1) [NBP3-15469]

Immunohistochemistry-Paraffin: KLF4 Antibody (7B7U1) [NBP3-15469]

Immunohistochemistry-Paraffin: KLF4 Antibody (7B7U1) [NBP3-15469] - Mouse spinal cord using KLF4 Rabbit mAb (NBP3-15469) at dilution of 1:100 (40x lens).Perform microwave antigen retrieval with 10 mM PBS buffer pH 7.2 before commencing with IHC staining protocol.

Applications for KLF4 Antibody (7B7U1)

Application
Recommended Usage

ELISA

Recommended starting concentration is 1 μg/mL. Please optimize the concentration based on your specific assay requirements.

Immunocytochemistry/ Immunofluorescence

1:100 - 1:1000

Immunohistochemistry

1:200 - 1:2000

Immunohistochemistry-Paraffin

1:200 - 1:2000

Immunoprecipitation

0.5μg-4μg antibody for 200μg-400μg extracts of whole cells

Western Blot

1:1000 - 1:2000

Formulation, Preparation, and Storage

Purification

Affinity purified

Formulation

PBS (pH 7.3), 50% glycerol, 0.05% BSA

Preservative

0.02% Sodium Azide

Concentration

Please see the vial label for concentration. If unlisted please contact technical services.

Shipping

The product is shipped with polar packs. Upon receipt, store it immediately at the temperature recommended below.

Stability & Storage

Store at -20C. Avoid freeze-thaw cycles.

Background: KLF4

KLF4 is a transcription factor that works with Sp1 to activate the Laminin gamma1 chain gene. It binds the CACCC core sequence. KLF4 may be involved in the differentiation of epithelial cells and may also function in the development of the skeleton and kidney. KLF4 also has roles as both an oncogene and a tumor suppressor.

Long Name

Kruppel-Like Factor 4

Alternate Names

EZF

Gene Symbol

KLF4

Additional KLF4 Products

Product Documents for KLF4 Antibody (7B7U1)

Certificate of Analysis

To download a Certificate of Analysis, please enter a lot number in the search box below.

Product Specific Notices for KLF4 Antibody (7B7U1)

This product is for research use only and is not approved for use in humans or in clinical diagnosis. Primary Antibodies are guaranteed for 1 year from date of receipt.

Loading...
Loading...
Loading...
Loading...