KLF4 Antibody (3A1) - BSA Free
Novus Biologicals, part of Bio-Techne | Catalog # NBP3-26180
Recombinant Monoclonal Antibody
Key Product Details
Species Reactivity
Human
Applications
Immunohistochemistry, Western Blot, ELISA, Immunocytochemistry/ Immunofluorescence, Immunoprecipitation
Label
Unconjugated
Antibody Source
Recombinant Monoclonal Rabbit IgG Clone # 3A1 expressed in HEK293
Format
BSA Free
Concentration
Please see the vial label for concentration. If unlisted please contact technical services.
Product Specifications
Immunogen
A synthesized peptide derived from Human KLF4 [UniProt O43474]
Clonality
Monoclonal
Host
Rabbit
Isotype
IgG
Description
Novus Biologicals Rabbit KLF4 Antibody (3A1) - BSA Free (NBP3-26180) is a recombinant monoclonal antibody validated for use in IHC, WB, ELISA, ICC/IF and IP. All Novus Biologicals antibodies are covered by our 100% guarantee.
Scientific Data Images for KLF4 Antibody (3A1) - BSA Free
Immunoprecipitation: KLF4 Antibody (3A1) [NBP3-26180] -
Immunoprecipitation: KLF4 Antibody (3A1) [NBP3-26180] - Immunoprecipitating KLF4 in Hela whole cell lysate.Lane 1: Rabbit control IgG instead of NBP3-26180 in Hela whole cell lysate. For western blotting, a HRP-conjugated Protein G antibody was used as the secondary antibody (1/2000).
Lane 2: NBP3-26180 (2ug) + Hela whole cell lysate (500ug).
Lane 3: Hela whole cell lysate (10ug).
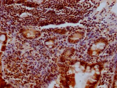
Immunohistochemistry: KLF4 Antibody (3A1) [NBP3-26180] -
Immunohistochemistry: KLF4 Antibody (3A1) [NBP3-26180] - Image of KLF4 Antibody (3A1) diluted at 1:100 and staining in paraffin-embedded human small intestine tissue performed. After dewaxing and hydration, antigen retrieval was mediated by high pressure in a citrate buffer (pH 6.0). Section was blocked with 10% normal goat serum 30min at RT. Then primary antibody (1% BSA) was incubated at 4C overnight. The primary is detected by a Goat anti-rabbit IgG polymer labeled by HRP and visualized using 0.05% DAB.Immunohistochemistry: KLF4 Antibody (3A1) [NBP3-26180] -
Immunohistochemistry: KLF4 Antibody (3A1) [NBP3-26180] - Image of KLF4 Antibody (3A1) diluted at 1:100 and staining in paraffin-embedded human small intestine tissue performed. After dewaxing and hydration, antigen retrieval was mediated by high pressure in a citrate buffer (pH 6.0). Section was blocked with 10% normal goat serum 30min at RT. Then primary antibody (1% BSA) was incubated at 4C overnight. The primary is detected by a Goat anti-rabbit IgG polymer labeled by HRP and visualized using 0.05% DAB.Applications for KLF4 Antibody (3A1) - BSA Free
Application
Recommended Usage
Immunocytochemistry/ Immunofluorescence
1:20-1:200
Immunohistochemistry
1:50-1:200
Immunoprecipitation
1:200-1:1000
Western Blot
1:500-1:5000
Formulation, Preparation, and Storage
Purification
Affinity purified
Formulation
PBS, pH 7.4, 150mM NaCl, and 50% glycerol
Format
BSA Free
Preservative
0.02% Sodium Azide
Concentration
Please see the vial label for concentration. If unlisted please contact technical services.
Shipping
The product is shipped with polar packs. Upon receipt, store it immediately at the temperature recommended below.
Stability & Storage
Store at -20 to -70C. Avoid freeze-thaw cycles.
Background: KLF4
Long Name
Kruppel-Like Factor 4
Alternate Names
EZF
Gene Symbol
KLF4
Additional KLF4 Products
Product Documents for KLF4 Antibody (3A1) - BSA Free
Product Specific Notices for KLF4 Antibody (3A1) - BSA Free
This product is for research use only and is not approved for use in humans or in clinical diagnosis. Primary Antibodies are guaranteed for 1 year from date of receipt.
Loading...
Loading...
Loading...
Loading...