Skip to main content

Ki67/MKI67 Antibody (1297A) - Azide and BSA Free

Novus Biologicals, part of Bio-Techne | Catalog # NBP2-80822

Recombinant Monoclonal Antibody.
Novus Biologicals, part of Bio-Techne
Catalog #
Availability
Size / Price
Qty
Loading...
NBP2-80822
Forumulation
Catalog #

Key Product Details

Species Reactivity

Human, Mouse

Applications

Knockout Validated, Immunohistochemistry, Immunohistochemistry-Paraffin, Flow Cytometry, Flow (Intracellular), Immunocytochemistry/ Immunofluorescence, CyTOF-ready

Label

Unconjugated

Antibody Source

Recombinant Monoclonal Rabbit IgG Clone # 1297A expressed in HEK293

Format

Azide and BSA Free

Concentration

1 mg/ml

Product Specifications

Immunogen

The immunogen for this KI67/MKI67 Antibody (1297A) was made using a synthetic peptide from the internal portion of Mouse KI67/MKI67, between amino acids 1850-1950 [UniProt# E9PVX6].

Clonality

Monoclonal

Host

Rabbit

Isotype

IgG

Theoretical MW

351 kDa.
Disclaimer note: The observed molecular weight of the protein may vary from the listed predicted molecular weight due to post translational modifications, post translation cleavages, relative charges, and other experimental factors.

Description

Novus Biologicals Knockout (KO) Validated Rabbit Ki67/MKI67 Antibody (1297A) - Azide and BSA Free (NBP2-54791) is a recombinant monoclonal antibody validated for use in IHC, Flow and ICC/IF. All Novus Biologicals antibodies are covered by our 100% guarantee.

Scientific Data Images for Ki67/MKI67 Antibody (1297A) - Azide and BSA Free

Immunocytochemistry/ Immunofluorescence: Ki67/MKI67 Antibody (1297A) - Azide and BSA Free [NBP2-80822]

Immunocytochemistry/ Immunofluorescence: Ki67/MKI67 Antibody (1297A) - Azide and BSA Free [NBP2-80822]

Immunocytochemistry/Immunofluorescence: Ki67/MKI67 Antibody (1297A) - Azide and BSA Free [NBP2-80822] - A431 cells were fixed in 4% paraformaldehyde for 10 minutes and permeabilized in 0.5% Triton X-100 in PBS for 5 minutes. The cells were incubated with anti-Ki67/MKI67 Antibody (1297A) NBP2-80822 at 2 ug/ml overnight at 4C and detected with an anti-rabbit Dylight 488 (Green) at a 1:1000 dilution for 60 minutes. Alpha tubulin (DM1A) NB100-690 was used as a co-stain at a 1:1000 dilution and detected with an anti-mouse Dylight 550 (Red) at a 1:1000 dilution. Nuclei were counterstained with DAPI (Blue). Cells were imaged using a 100X objective and digitally deconvolved.
Immunocytochemistry/ Immunofluorescence: Ki67/MKI67 Antibody (1297A) - Azide and BSA Free [NBP2-80822]

Immunocytochemistry/ Immunofluorescence: Ki67/MKI67 Antibody (1297A) - Azide and BSA Free [NBP2-80822]

Immunocytochemistry/Immunofluorescence: Ki67/MKI67 Antibody (1297A) - Azide and BSA Free [NBP2-80822] - NIH3T3 cells were fixed in 4% paraformaldehyde for 10 minutes and permeabilized in 0.5% Triton X-100 in PBS for 5 minutes. The cells were incubated with anti-Ki67/MKI67 Antibody (1297A) NBP2-80822 at 2 ug/ml overnight at 4C and detected with an anti-rabbit Dylight 488 (Green) at a 1:1000 dilution for 60 minutes. Alpha tubulin (DM1A) NB100-690 was used as a co-stain at a 1:1000 dilution and detected with an anti-mouse Dylight 550 (Red) at a 1:1000 dilution. Nuclei were counterstained with DAPI (Blue). Cells were imaged using a 100X objective and digitally deconvolved.
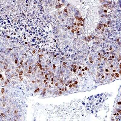
Immunohistochemistry: Ki67/MKI67 Antibody (1297A) - Azide and BSA Free [NBP2-80822]

Immunohistochemistry: Ki67/MKI67 Antibody (1297A) - Azide and BSA Free [NBP2-80822]

Immunohistochemistry: Ki67/MKI67 Antibody (1297A) - Azide and BSA Free [NBP2-80822] - Ki-67/MKI67 was detected in immersion fixed paraffin-embedded sections of human liver cancer tissue using Rabbit Anti-Human Ki-67/MKI67 Monoclonal Antibody at 3 ug/mL for 1 hour at room temperature followed by incubation with the Anti-Rabbit IgG.

Applications for Ki67/MKI67 Antibody (1297A) - Azide and BSA Free

Application
Recommended Usage

Flow (Intracellular)

1 ug/ml

Flow Cytometry

1 ug/ml

Immunocytochemistry/ Immunofluorescence

1-10 ug/ml

Immunohistochemistry

3-15 ug/ml

Immunohistochemistry-Paraffin

3-15 ug/ml

Formulation, Preparation, and Storage

Purification

Protein A or G purified

Formulation

PBS

Format

Azide and BSA Free

Preservative

No Preservative

Concentration

1 mg/ml

Shipping

The product is shipped with polar packs. Upon receipt, store it immediately at the temperature recommended below.

Stability & Storage

Store at 4C short term. Aliquot and store at -20C long term. Avoid freeze-thaw cycles.

Background: Ki67/MKI67

Ki67 is a nuclear protein associated with proliferation, named after its discovery in a Hodgkin's lymphoma-derived cell line by Scholzer and Gerdes at Kiel University, Germany (1). This proliferation marker is expressed during active phases of the cell cycle (late G1, S, G2 and M), whereas the protein remains undetectable in the G0 phase. Ki67 has two main isoforms with theoretical molecular weights of 319 kDa and 359 kDa. Its abundance is tightly regulated by synthesis and degradation with an estimated half-life of 60-90 min, regardless of its position in the cell cycle. Ki67 has been shown to be involved in ribosomal biogenesis, heterochromatin maintenance, and mitotic chromosome separation (2).

Detection of Ki67 by immunostaining is commonly used as a proliferation marker in solid tumors, as well as certain hematological malignancies (3-5). The Ki67 index, which reports on positive Ki67 stained tumor cell nuclei, has been extensively studied as a prognostic biomarker in cancers such as breast cancer and cervical cancer.

References

1. Gerdes J, Schwab U, Lemke H, Stein H. (1983) Production of a mouse monoclonal antibody reactive with a human nuclear antigen associated with cell proliferation. Int J Cancer. 31:13-20. PMID: 6339421

2. Starborg M, Gell K, Brundell E and Hoog C. (1996) The murine Ki-67 cell proliferation antigen accumulates in the nucleolar and heterochromatic regions of interphase cells and at the periphery of the mitotic chromosomes in a process essential for cell cycle progression. J Cell Sci. 109:143-153. 1996

3. Karamitopoulou E, Perentes E, Tolnay M, Probst A. (1998) Prognostic significance of MIB-1, p53, and bcl-2 immunoreactivity in meningiomas. Hum Pathol. 29(2):140-5. PMID: 9490273

4. Geyer FC, Rodrigues DN, Weigelt B and Reis-Filho JS. (2012) Molecular classification of estrogen receptor-positive/luminal breast cancers. Adv Anat Pathol. 19(1):39-53. PMID: 22156833

5. Ikenberg H, Bergeron C, Schmidt D, Griesser H, Alameda F, Angeloni C, Bogers J, Dachez R, Denton K, Hariri J, Keller T, von Knebel Doeberitz M, Neumann HH, Puig-Tintore LM, Sideri M, Rehm S, Ridder R; PALMS Study Group. (2013) Screening for cervical cancer precursors with p16/Ki-67 dual-stained cytology: results of the PALMS study. J Natl Cancer Inst. 105(20):1550-7. PMID: 24096620

Long Name

Antigen Identified by Monoclonal Antibody Ki67

Alternate Names

Ki-67, KIA, MIB-1, MKI67, PPP1R105, TSG126

Gene Symbol

MKI67

Additional Ki67/MKI67 Products

Product Documents for Ki67/MKI67 Antibody (1297A) - Azide and BSA Free

Certificate of Analysis

To download a Certificate of Analysis, please enter a lot number in the search box below.

Product Specific Notices for Ki67/MKI67 Antibody (1297A) - Azide and BSA Free

This product is for research use only and is not approved for use in humans or in clinical diagnosis. Primary Antibodies are guaranteed for 1 year from date of receipt.

Loading...
Loading...
Loading...
Loading...
Loading...
Loading...