Skip to main content

KATNAL1 Antibody (OTI1A7)

Novus Biologicals, part of Bio-Techne | Catalog # NBP2-03555

Novus Biologicals, part of Bio-Techne
Catalog #
Availability
Size / Price
Qty
Loading...
NBP2-03555

Key Product Details

Species Reactivity

Human, Mouse, Rat, Monkey, Primate

Applications

Immunohistochemistry, Immunohistochemistry-Paraffin, Western Blot, Flow Cytometry

Label

Unconjugated

Antibody Source

Monoclonal Mouse IgG1 Clone # OTI1A7

Concentration

0.4 mg/ml

Product Specifications

Immunogen

Full length human recombinant protein of human KATNAL1 (NP_115492) produced in HEK293T cell.

Reactivity Notes

Please note that this antibody is reactive to Mouse and derived from the same host, Mouse. Mouse-On-Mouse blocking reagent may be needed for IHC and ICC experiments to reduce high background signal. You can find these reagents under catalog numbers PK-2200-NB and MP-2400-NB. Please contact Technical Support if you have any questions.

Clonality

Monoclonal

Host

Mouse

Isotype

IgG1

Theoretical MW

55.2 kDa.
Disclaimer note: The observed molecular weight of the protein may vary from the listed predicted molecular weight due to post translational modifications, post translation cleavages, relative charges, and other experimental factors.

Description

Novus Biologicals Mouse KATNAL1 Antibody (OTI1A7) (NBP2-03555) is a monoclonal antibody validated for use in IHC, WB and Flow. All Novus Biologicals antibodies are covered by our 100% guarantee.

Scientific Data Images for KATNAL1 Antibody (OTI1A7)

Western Blot: KATNAL1 Antibody (1A7) [NBP2-03555] Analysis of extracts (35ug) from 9 different cell lines by using anti-KATNAL1 monoclonal antibody (HepG2: human; HeLa: human; SVT2: mouse; A549: human; COS7: monkey; Jurkat: human; MDCK: canine; PC12: rat; MCF7: human).
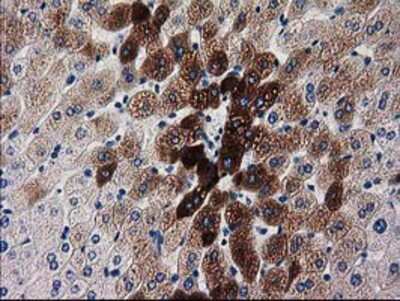
Immunohistochemistry-Paraffin: KATNAL1 Antibody (OTI1A7) [NBP2-03555]

Immunohistochemistry-Paraffin: KATNAL1 Antibody (OTI1A7) [NBP2-03555]

Immunohistochemistry-Paraffin: KATNAL1 Antibody (1A7) [NBP2-03555] - Staining of paraffin-embedded Human liver tissue using anti-KATNAL1 mouse monoclonal antibody.
Flow Cytometry: KATNAL1 Antibody (OTI1A7) [NBP2-03555]

Flow Cytometry: KATNAL1 Antibody (OTI1A7) [NBP2-03555]

Flow Cytometry: KATNAL1 Antibody (1A7) [NBP2-03555] - HEK293T cells transfected with either overexpression plasmid (Red) or empty vector control plasmid (Blue) were immunostained by anti-KATNAL1 antibody, and then analyzed by flow cytometry.

Applications for KATNAL1 Antibody (OTI1A7)

Application
Recommended Usage

Flow Cytometry

1:100

Immunohistochemistry

1:150

Immunohistochemistry-Paraffin

1:150

Western Blot

1:500-2000

Formulation, Preparation, and Storage

Purification

Immunogen affinity purified

Formulation

PBS (pH 7.3), 1.0% BSA and 50% Glycerol

Preservative

0.02% Sodium Azide

Concentration

0.4 mg/ml

Shipping

The product is shipped with polar packs. Upon receipt, store it immediately at the temperature recommended below.

Stability & Storage

Store at -20C. Avoid freeze-thaw cycles.

Background: KATNAL1

Severs microtubules in vitro in an ATP-dependent manner. This activity may promote rapid reorganization ofcellular microtubule arrays

Alternate Names

EC 3.6.4.3, katanin p60 ATPase-containing subunit A-like 1, katanin p60 subunit A-like 1MGC2599, p60 katanin-like 1

Entrez Gene IDs

84056 (Human)

Gene Symbol

KATNAL1

Additional KATNAL1 Products

Product Documents for KATNAL1 Antibody (OTI1A7)

Certificate of Analysis

To download a Certificate of Analysis, please enter a lot number in the search box below.

Product Specific Notices for KATNAL1 Antibody (OTI1A7)

This product is for research use only and is not approved for use in humans or in clinical diagnosis. Primary Antibodies are guaranteed for 1 year from date of receipt.

Loading...
Loading...
Loading...
Loading...
Loading...