Skip to main content

KAT4/TBP Associated Factor 1 Antibody - BSA Free

Novus Biologicals, part of Bio-Techne | Catalog # NBP1-77847

Novus Biologicals, part of Bio-Techne
Catalog #
Availability
Size / Price
Qty
Loading...
NBP1-77847

Key Product Details

Validated by

Biological Validation

Species Reactivity

Human, Mouse

Applications

Immunohistochemistry, Immunohistochemistry-Paraffin, Western Blot, ELISA, Immunoprecipitation, Chromatin Immunoprecipitation (ChIP)

Label

Unconjugated

Antibody Source

Polyclonal Rabbit IgG

Format

BSA Free

Concentration

Please see the vial label for concentration. If unlisted please contact technical services.

Product Specifications

Immunogen

This affinity purified KAT4/TBP Associated Factor 1 Antibody was prepared from whole rabbit serum produced by repeated immunizations with a synthetic peptide corresponding to amino acids near the carboxyl terminus of human KAT4/TBP Associated Factor 1. (Uniprot: P21675)

Reactivity Notes

A BLAST analysis was used to suggest cross-reactivity with KAT4/TBP Associated Factor 1 protein from human, mouse and rat based on 100% homology with the immunizing sequence. Reactivity against homologues from other sources is not known.

Clonality

Polyclonal

Host

Rabbit

Isotype

IgG

Description

This affinity purified antibody is directed against human KAT4/TBP Associated Factor 1 protein. The product was affinity purified from monospecific antiserum by immunoaffinity chromatography

Store vial at -20C prior to opening. Aliquot contents and freeze at -20C or below for extended storage. Avoid cycles of freezing and thawing. Centrifuge product if not completely clear after standing at room temperature. This product is stable for several weeks at 4C as an undiluted liquid. Dilute only prior to immediate use.

Scientific Data Images for KAT4/TBP Associated Factor 1 Antibody - BSA Free

Western Blot: KAT4/TBP Associated Factor 1 Antibody [NBP1-77847]

Western Blot: KAT4/TBP Associated Factor 1 Antibody [NBP1-77847]

Western Blot: KAT4/TBP Associated Factor 1 Antibody [NBP1-77847] - HeLa nuclear extract (arrowhead). The membrane was probed with the primary antibody at dilutions of 1:100 (lane 1), 1:250 (lane 2), 1: 500 (Lane 3 and 1:1,000 (Lane 4). The identity of the bands at ~95 kDa is unknown, but may be degraded TAF1. Personal Communication, Anne Gegonne, CCR-NCI, Bethesda, MD.
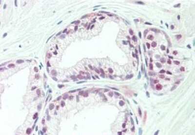
Immunohistochemistry: KAT4/TBP Associated Factor 1 Antibody [NBP1-77847]

Immunohistochemistry: KAT4/TBP Associated Factor 1 Antibody [NBP1-77847]

Immunohistochemistry: KAT4/TBP Associated Factor 1 Antibody [NBP1-77847] - Tissue: prostate. Fixation: formalin fixed paraffin embedded. Primary antibody: Anti-TAF1 at 10 ug/mL for 1 h at RT. Secondary antibody: Peroxidase rabbit secondary antibody at 1:10,000 for 45 min at RT. Staining: TAF-1 as precipitated red signal with hematoxylin purple nuclear counterstain.
Chromatin Immunoprecipitation: KAT4/TBP Associated Factor 1 Antibody [NBP1-77847] - Chromatin Immunoprecipitation: KAT4/TBP Associated Factor 1 Antibody [NBP1-77847] Transcription Initiation Factor TFIID Subunit 1 (TAF1) antibody was used to detect TAF1 in treated and untreated HeLa Cells. HeLa cells were treated with TNF alpha and Chromatin was prepared by Chip Kit. CHIP was performed on fos promoters using 5 ug of TAF1 antibody and an RNA PolII antibody.

Applications for KAT4/TBP Associated Factor 1 Antibody - BSA Free

Application
Recommended Usage

Chromatin Immunoprecipitation (ChIP)

1:10-1:500

ELISA

1:150000-1:300000

Immunohistochemistry

10ug/ml

Immunohistochemistry-Paraffin

10 ug/ml

Immunoprecipitation

1:10 - 1:500

Western Blot

1:100-1:2000
Application Notes
This affinity purified antibody has been tested for use in ELISA, Immunohistochemistry, ChIP, and western blotting. Specific conditions for reactivity should be optimized by the end user. Expect a band approximately 213 kDa in size corresponding to TAF1 protein by western blotting in the appropriate cell lysate or extract.

Formulation, Preparation, and Storage

Purification

Immunogen affinity purified

Formulation

0.02 M Potassium Phosphate, 0.15 M Sodium Chloride, pH 7.2

Format

BSA Free

Preservative

0.01% Sodium Azide

Concentration

Please see the vial label for concentration. If unlisted please contact technical services.

Shipping

The product is shipped with polar packs. Upon receipt, store it immediately at the temperature recommended below.

Stability & Storage

Store at -20C short term. Aliquot and store at -80C long term. Avoid freeze-thaw cycles.

Background: KAT4/TBP Associated Factor 1

Transcription Initiation Factor TFIID Subunit 1 (TAF1) is the largest component and core scaffold of the TFIID basal transcription factor complex, which also includes TATA-binding protein (TBP) and a variety of TBP-associated factors. TFIID nucleates the formation of transcription pre-initiation complexes and plays a key role in the regulation of gene expression by RNA polymerase II. TAF1 possesses DNA-binding activity and also contains novel N- and C-terminal Ser/Thr kinase domains which can auto-phosphorylate or trans-phosphorylate other transcription factors. For example, TAF1 interacts with the C-terminus of TP53 and phosphorylates the T55 residue, leading to MDM2-mediated degradation of TP53. TAF1 also catalyzes Ser phosphorylation of general transcription factor IIA (GTF2A1) and IIF (GTF2F1). The retinoblastoma tumor suppressor protein, RB1, interacts with the N-terminal domain of TAF1 and inhibits its intrinsic kinase activity. TAF1 is essential for progression through the G1 phase of the cell cycle and has been reported to be indispensable for expression of 18% of mammalian genes.

Long Name

Transcription initiation factor TFIID subunit 1

Alternate Names

BA2R, CCG1, CCGS, p250, TAF(II)250, TAF1, TAF2A, TAFII-250, TAFII250

Gene Symbol

TAF1

UniProt

Additional KAT4/TBP Associated Factor 1 Products

Product Documents for KAT4/TBP Associated Factor 1 Antibody - BSA Free

Certificate of Analysis

To download a Certificate of Analysis, please enter a lot number in the search box below.

Product Specific Notices for KAT4/TBP Associated Factor 1 Antibody - BSA Free

This product is for research use only and is not approved for use in humans or in clinical diagnosis. Primary Antibodies are guaranteed for 1 year from date of receipt.

Loading...
Loading...
Loading...
Loading...