Skip to main content

JMJD6/PSR Antibody - Azide and BSA Free

Novus Biologicals, part of Bio-Techne | Catalog # NBP3-03444

Novus Biologicals, part of Bio-Techne
Catalog #
Availability
Size / Price
Qty
Loading...
NBP3-03444-100ul
NBP3-03444-20ul

Key Product Details

Validated by

Knockout/Knockdown

Species Reactivity

Human, Mouse, Rat

Applications

Immunocytochemistry/ Immunofluorescence, Immunohistochemistry, Immunohistochemistry-Paraffin, Knockout Validated, Western Blot

Label

Unconjugated

Antibody Source

Polyclonal Rabbit IgG

Format

Azide and BSA Free

Concentration

Please see the vial label for concentration. If unlisted please contact technical services.

Product Specifications

Immunogen

Recombinant fusion protein containing a sequence corresponding to amino acids 1-170 of human JMJD6/PSR (NP_055982.2). MNHKSKKRIREAKRSARPELKDSLDWTRHNYYESFSLSPAAVADNVERADALQLSVEEFVERYERPYKPVVLLNAQEGWSAQEKWTLERLKRKYRNQKFKCGEDNDGYSVKMKMKYYIEYMESTRDDSPLYIFDSSYGEHPKRRKLLEDYKVPKFFTDDLFQYAGEKRRP

Clonality

Polyclonal

Host

Rabbit

Isotype

IgG

Description

Novus Biologicals Knockout (KO) Validated Rabbit JMJD6/PSR Antibody - Azide and BSA Free (NBP3-03444) is a polyclonal antibody validated for use in IHC, WB and ICC/IF. All Novus Biologicals antibodies are covered by our 100% guarantee.

Scientific Data Images for JMJD6/PSR Antibody - Azide and BSA Free

Western Blot: JMJD6/PSR AntibodyAzide and BSA Free [NBP3-03444]

Western Blot: JMJD6/PSR AntibodyAzide and BSA Free [NBP3-03444]

Western Blot: JMJD6/PSR Antibody [NBP3-03444] - Western blot analysis of extracts of 293T cells, using JMJD6/PSR antibody (NBP3-03444) at 1:1000 dilution. Secondary antibody: HRP Goat Anti-Rabbit IgG (H+L) at 1:10000 dilution. Lysates/proteins: 25ug per lane. Blocking buffer: 3% nonfat dry milk in TBST. Detection: ECL Basic Kit. Exposure time: 180s.
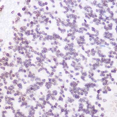
Immunohistochemistry-Paraffin: JMJD6/PSR Antibody - Azide and BSA Free [NBP3-03444]

Immunohistochemistry-Paraffin: JMJD6/PSR Antibody - Azide and BSA Free [NBP3-03444]

Immunohistochemistry-Paraffin: JMJD6/PSR Antibody [NBP3-03444] - Immunohistochemistry of paraffin-embedded mouse spinal cord using JMJD6/PSR Rabbit pAb (NBP3-03444) at dilution of 1:100 (40x lens). Perform high pressure antigen retrieval with 10 mM citrate buffer pH 6.0 before commencing with IHC staining protocol.
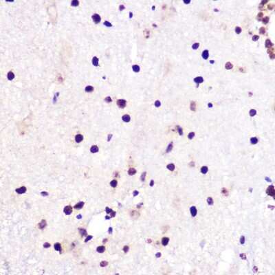
Immunohistochemistry-Paraffin: JMJD6/PSR Antibody - Azide and BSA Free [NBP3-03444]

Immunohistochemistry-Paraffin: JMJD6/PSR Antibody - Azide and BSA Free [NBP3-03444]

Immunohistochemistry-Paraffin: JMJD6/PSR Antibody [NBP3-03444] - Immunohistochemistry of paraffin-embedded rat brain using JMJD6/PSR Rabbit pAb (NBP3-03444) at dilution of 1:100 (40x lens). Perform high pressure antigen retrieval with 10 mM citrate buffer pH 6.0 before commencing with IHC staining protocol.

Applications for JMJD6/PSR Antibody - Azide and BSA Free

Application
Recommended Usage

Immunocytochemistry/ Immunofluorescence

1:50 - 1:100

Immunohistochemistry

1:50 - 1:100

Western Blot

1:500 - 1:2000

Formulation, Preparation, and Storage

Purification

Affinity purified

Formulation

PBS (pH 7.3), 50% glycerol

Format

Azide and BSA Free

Preservative

0.05% Proclin 300

Concentration

Please see the vial label for concentration. If unlisted please contact technical services.

Shipping

The product is shipped with polar packs. Upon receipt, store it immediately at the temperature recommended below.

Stability & Storage

Store at -20C. Avoid freeze-thaw cycles.

Background: JMJD6/PSR

JMJD6 encodes a nuclear protein with a JmjC domain. JmjC domain-containing proteins are predicted to function as protein hydroxylases or histone demethylases. This protein was first identified as a putative phosphatidylserine receptor involved in phagocytosis of apoptotic cells; however, subsequent studies have indicated that it does not directly function in the clearance of apoptotic cells, and questioned whether it is a true phosphatidylserine receptor. Multiple transcript variants encoding different isoforms have been found for this gene.

Long Name

Jumonji Domain Containing 6/Phosphatidylserine Receptor

Alternate Names

PSR, PTDSR

Gene Symbol

JMJD6

Additional JMJD6/PSR Products

Product Documents for JMJD6/PSR Antibody - Azide and BSA Free

Certificate of Analysis

To download a Certificate of Analysis, please enter a lot number in the search box below.

Product Specific Notices for JMJD6/PSR Antibody - Azide and BSA Free

This product is for research use only and is not approved for use in humans or in clinical diagnosis. Primary Antibodies are guaranteed for 1 year from date of receipt.

Loading...
Loading...
Loading...
Loading...