Skip to main content

Jak2 [p Tyr1007, p Tyr1008] Antibody (SY24-03)

Novus Biologicals, part of Bio-Techne | Catalog # NBP2-67429

Recombinant Monoclonal Antibody.
Novus Biologicals, part of Bio-Techne
Catalog #
Availability
Size / Price
Qty
Loading...
NBP2-67429

Key Product Details

Validated by

Biological Validation

Species Reactivity

Validated:

Human, Mouse, Rat

Cited:

Rat

Applications

Validated:

Immunohistochemistry, Immunohistochemistry-Paraffin, Western Blot, Immunocytochemistry/ Immunofluorescence, Immunoprecipitation

Cited:

Western Blot

Label

Unconjugated

Antibody Source

Recombinant Monoclonal Rabbit IgG Clone # SY24-03 expressed in HEK293

Concentration

1 mg/ml

Product Specifications

Immunogen

Synthetic phospho-peptide corresponding to residues surrounding Tyr1007 and 1008 of human Jak2. (SwissProt: O60674 Human; SwissProt: Q62120 Mouse; SwissProt: Q62689 Rat)

Modification

p Tyr1007, p Tyr1008

Localization

Nucleus, Endomembrane system, Cytoplasm.

Clonality

Monoclonal

Host

Rabbit

Isotype

IgG

Theoretical MW

131 kDa.
Disclaimer note: The observed molecular weight of the protein may vary from the listed predicted molecular weight due to post translational modifications, post translation cleavages, relative charges, and other experimental factors.

Description

Novus Biologicals Rabbit Jak2 [p Tyr1007, p Tyr1008] Antibody (SY24-03) (NBP2-67429) is a recombinant monoclonal antibody validated for use in IHC, WB, ICC/IF and IP. Anti-Jak2 Antibody: Cited in 2 publications. All Novus Biologicals antibodies are covered by our 100% guarantee.

Scientific Data Images for Jak2 [p Tyr1007, p Tyr1008] Antibody (SY24-03)

Western Blot: Jak2 [p Tyr1007, p Tyr1008] Antibody (SY24-03) [NBP2-67429] - ICC staining of Phospho-JAK2(Y1007+Y1008) in Hela cells (green). Formalin fixed cells were permeabilized with 0.1% Triton X-100 in TBS for 10 minutes at room temperature and blocked with 1% Blocker BSA for 15 minutes at room temperature. Cells were probed with the primary antibody (1/50) for 1 hour at room temperature, washed with PBS. Alexa Fluor (TM) 488 Goat anti-Rabbit IgG was used as the secondary antibody at 1/1,000 dilution. The nuclear counter stain is DAPI (blue).
Immunocytochemistry/Immunofluorescence: Jak2 [p Tyr1007, p Tyr1008] Antibody (SY24-03) [NBP2-67429] - Staining Phospho-JAK2(Y1007+Y1008) in Hela cells (green). The nuclear counter stain is DAPI (blue). Cells were fixed in paraformaldehyde, permeabilised with 0.25% Triton X100/PBS.
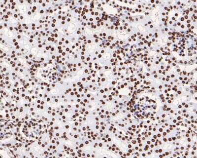
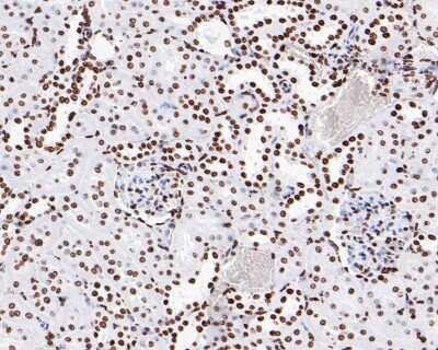
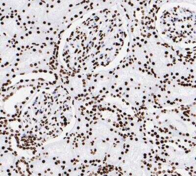
Immunohistochemistry-Paraffin: Jak2 [p Tyr1007, p Tyr1008] Antibody (SY24-03) [NBP2-67429] - Analysis of paraffin-embedded mouse kidney tissue using anti-Jak2 [p Tyr1007, p Tyr1008] antibody. The section was pre-treated using heat mediated antigen retrieval with sodium citrate buffer (pH 6.0) for 20 minutes. The tissues were blocked in 5% BSA for 30 minutes at room temperature, washed with ddH2O and PBS, and then probed with the primary antibody (1/200) for 30 minutes at room temperature. The detection was performed using an HRP conjugated compact polymer system. DAB was used as the chromogen. Tissues were counterstained with hematoxylin and mounted with DPX.

Applications for Jak2 [p Tyr1007, p Tyr1008] Antibody (SY24-03)

Application
Recommended Usage

Immunocytochemistry/ Immunofluorescence

1:50-1:200

Immunohistochemistry

1:200-1:500

Immunohistochemistry-Paraffin

1:200-1:500

Immunoprecipitation

Assay dependent concentration

Western Blot

1:500-1:1000

Reviewed Applications

Read 1 review rated 1 using NBP2-67429 in the following applications:

Formulation, Preparation, and Storage

Purification

Protein A purified

Formulation

TBS (pH7.4), 0.05% BSA, 40% Glycerol

Preservative

0.05% Sodium Azide

Concentration

1 mg/ml

Shipping

The product is shipped with polar packs. Upon receipt, store it immediately at the temperature recommended below.

Stability & Storage

Store at 4C short term. Aliquot and store at -20C long term. Avoid freeze-thaw cycles.

Background: Jak2

Jak2 is a member of the Janus family tyrosine kinases (Jaks), whose function is to transduce extracellular signals from cytokines and interferons. Jaks associate with cytokine receptors; upon ligand binding, Jaks phosphorylate the receptor. The phosphorylated receptors are bound by SH2-containing proteins, one class of which is the signal transducers and activators of transcription (STATs). Activated STATs, then, translocate to the nucleus to mediate gene transcription (1,2). Tyr1007/1008 of Jak2 are the homologous Tyr1054/1055 in Tyk2, and phosphorylation at these residues is needed for Tyk2 activation (3). A chromosomal aberration involving Jak2 is found in a form of pre-B acute myeloid leukemia (4).

Long Name

Janus Kinase 2

Alternate Names

EC 2.7.10, EC 2.7.10.2, JAK-2, Janus kinase 2Janus kinase 2 (a protein tyrosine kinase), JTK10, tyrosine-protein kinase JAK2

Gene Symbol

JAK2

Additional Jak2 Products

Product Documents for Jak2 [p Tyr1007, p Tyr1008] Antibody (SY24-03)

Certificate of Analysis

To download a Certificate of Analysis, please enter a lot number in the search box below.

Product Specific Notices for Jak2 [p Tyr1007, p Tyr1008] Antibody (SY24-03)

This product is for research use only and is not approved for use in humans or in clinical diagnosis. Primary Antibodies are guaranteed for 1 year from date of receipt.

Loading...
Loading...
Loading...
Loading...