Jak2 Antibody (OTI7D12)
Novus Biologicals, part of Bio-Techne | Catalog # NBP2-45468
Conjugate
Catalog #
Forumulation
Catalog #
Key Product Details
Species Reactivity
Human, Mouse, Rat
Applications
Immunohistochemistry, Immunohistochemistry-Paraffin
Label
Unconjugated
Antibody Source
Monoclonal Mouse IgG2B Clone # OTI7D12
Concentration
1 mg/ml
Product Specifications
Immunogen
Human recombinant protein fragment corresponding to amino acids 297-596 of human JAK2(NP_004963) produced in E.coli.
Reactivity Notes
Please note that this antibody is reactive to Mouse and derived from the same host, Mouse. Mouse-On-Mouse blocking reagent may be needed for IHC and ICC experiments to reduce high background signal. You can find these reagents under catalog numbers PK-2200-NB and MP-2400-NB. Please contact Technical Support if you have any questions.
Clonality
Monoclonal
Host
Mouse
Isotype
IgG2B
Scientific Data Images for Jak2 Antibody (OTI7D12)
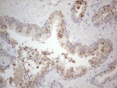
Immunohistochemistry-Paraffin: Jak2 Antibody (OTI7D12) [NBP2-45468]
Immunohistochemistry-Paraffin: Jak2 Antibody (OTI7D12) [NBP2-45468] - Analysis of Human prostate tissue. (Heat-induced epitope retrieval by 1mM EDTA in 10mM Tris buffer (pH8.5) at 120C for 3 min)Immunohistochemistry: Jak2 Antibody (OTI7D12) [NBP2-45468]
Immunohistochemistry: Jak2 Antibody (7D12) [NBP2-45468] - Analysis of Carcinoma of Human prostate tissue. (Heat-induced epitope retrieval by 1mM EDTA in 10mM Tris buffer (pH8.5) at 120C for 3 min)Applications for Jak2 Antibody (OTI7D12)
Application
Recommended Usage
Immunohistochemistry
1:150
Formulation, Preparation, and Storage
Purification
Immunogen affinity purified
Formulation
PBS (pH 7.3), 1.0% BSA and 50% Glycerol
Preservative
0.02% Sodium Azide
Concentration
1 mg/ml
Shipping
The product is shipped with polar packs. Upon receipt, store it immediately at the temperature recommended below.
Stability & Storage
Store at -20C. Avoid freeze-thaw cycles.
Background: Jak2
Long Name
Janus Kinase 2
Alternate Names
EC 2.7.10, EC 2.7.10.2, JAK-2, Janus kinase 2Janus kinase 2 (a protein tyrosine kinase), JTK10, tyrosine-protein kinase JAK2
Gene Symbol
JAK2
Additional Jak2 Products
Product Documents for Jak2 Antibody (OTI7D12)
Product Specific Notices for Jak2 Antibody (OTI7D12)
This product is for research use only and is not approved for use in humans or in clinical diagnosis. Primary Antibodies are guaranteed for 1 year from date of receipt.
Loading...
Loading...
Loading...
Loading...