Skip to main content

Jak2 [p Tyr1007, p Tyr1008] Antibody (1A4) - BSA Free

Novus Biologicals, part of Bio-Techne | Catalog # NBP3-26415

Recombinant monoclonal antibody expressed in HEK293F cells
Novus Biologicals, part of Bio-Techne
Catalog #
Availability
Size / Price
Qty
Loading...
NBP3-26415-100ul
NBP3-26415-50ul

Key Product Details

Validated by

Biological Validation

Species Reactivity

Human

Applications

ELISA, Immunohistochemistry, Immunoprecipitation, Western Blot

Label

Unconjugated

Antibody Source

Recombinant Monoclonal Rabbit IgG Clone # 1A4 expressed in HEK293

Format

BSA Free

Concentration

Please see the vial label for concentration. If unlisted please contact technical services.

Product Specifications

Immunogen

A synthesized peptide derived from Human JAK2 [p Tyr1007, p Tyr1008] [UniProt O60674]

Modification

p Tyr 1007, p Tyr 1008

Clonality

Monoclonal

Host

Rabbit

Isotype

IgG

Description

Novus Biologicals Rabbit Jak2 [p Tyr1007, p Tyr1008] Antibody (1A4) - BSA Free (NBP3-26415) is a recombinant monoclonal antibody validated for use in IHC, WB, ELISA and IP. All Novus Biologicals antibodies are covered by our 100% guarantee.

Scientific Data Images for Jak2 [p Tyr1007, p Tyr1008] Antibody (1A4) - BSA Free

Jak2 [p Tyr1007, p Tyr1008] Antibody (1A4)

Immunoprecipitation: Jak2 [p Tyr1007, p Tyr1008] Antibody (1A4) [NBP3-26415] -

Immunoprecipitation: Jak2 [p Tyr1007, p Tyr1008] Antibody (1A4) [NBP3-26415] - Immunoprecipitating Jak2 [p Tyr1007, p Tyr1008] in Hela whole cell lysate treated with Pervanadate.
Lane 1: Rabbit control IgG (1ug) instead of NBP3-26415 in Hela whole cell lysate treated with Pervanadate. For western blotting, a HRP-conjugated Protein G antibody was used as the secondary antibody (1/2000).
Lane 2: NBP3-26415 (3ug) + Hela whole cell lysate treated with Pervanadate (1mg).
Lane 3: Hela whole cell lysate treated with Pervanadate (20ug).
Jak2 [p Tyr1007, p Tyr1008] Antibody (1A4)

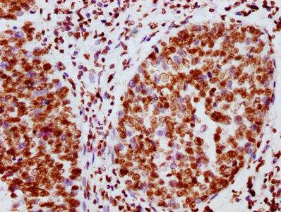
Immunohistochemistry: Jak2 [p Tyr1007, p Tyr1008] Antibody (1A4) [NBP3-26415] -

Immunohistochemistry: Jak2 [p Tyr1007, p Tyr1008] Antibody (1A4) [NBP3-26415] - Image of Jak2 [p Tyr1007, p Tyr1008] Antibody (1A4) diluted at 1:100 and staining in paraffin-embedded human ovarian cancer performed. After dewaxing and hydration, antigen retrieval was mediated by high pressure in a citrate buffer (pH 6.0). Section was blocked with 10% normal goat serum 30min at RT. Then primary antibody (1% BSA) was incubated at 4C overnight. The primary is detected by a biotinylated secondary antibody and visualized using an HRP conjugated SP system.
Jak2 [p Tyr1007, p Tyr1008] Antibody (1A4)

Immunohistochemistry: Jak2 [p Tyr1007, p Tyr1008] Antibody (1A4) [NBP3-26415] -

Immunohistochemistry: Jak2 [p Tyr1007, p Tyr1008] Antibody (1A4) [NBP3-26415] - Image of Jak2 [p Tyr1007, p Tyr1008] Antibody (1A4) diluted at 1:100 and staining in paraffin-embedded human ovarian cancer performed. After dewaxing and hydration, antigen retrieval was mediated by high pressure in a citrate buffer (pH 6.0). Section was blocked with 10% normal goat serum 30min at RT. Then primary antibody (1% BSA) was incubated at 4C overnight. The primary is detected by a biotinylated secondary antibody and visualized using an HRP conjugated SP system.

Applications for Jak2 [p Tyr1007, p Tyr1008] Antibody (1A4) - BSA Free

Application
Recommended Usage

Immunohistochemistry

1:50-1:200

Immunoprecipitation

1:200-1:1000

Western Blot

1:500-1:5000

Formulation, Preparation, and Storage

Purification

Affinity purified

Formulation

PBS, pH 7.4, 150mM NaCl, and 50% glycerol

Format

BSA Free

Preservative

0.02% Sodium Azide

Concentration

Please see the vial label for concentration. If unlisted please contact technical services.

Shipping

The product is shipped with polar packs. Upon receipt, store it immediately at the temperature recommended below.

Stability & Storage

Store at -20 to -70C. Avoid freeze-thaw cycles.

Background: Jak2

Jak2 is a member of the Janus family tyrosine kinases (Jaks), whose function is to transduce extracellular signals from cytokines and interferons. Jaks associate with cytokine receptors; upon ligand binding, Jaks phosphorylate the receptor. The phosphorylated receptors are bound by SH2-containing proteins, one class of which is the signal transducers and activators of transcription (STATs). Activated STATs, then, translocate to the nucleus to mediate gene transcription (1,2). Tyr1007/1008 of Jak2 are the homologous Tyr1054/1055 in Tyk2, and phosphorylation at these residues is needed for Tyk2 activation (3). A chromosomal aberration involving Jak2 is found in a form of pre-B acute myeloid leukemia (4).

Long Name

Janus Kinase 2

Alternate Names

EC 2.7.10, EC 2.7.10.2, JAK-2, Janus kinase 2Janus kinase 2 (a protein tyrosine kinase), JTK10, tyrosine-protein kinase JAK2

Gene Symbol

JAK2

Additional Jak2 Products

Product Documents for Jak2 [p Tyr1007, p Tyr1008] Antibody (1A4) - BSA Free

Certificate of Analysis

To download a Certificate of Analysis, please enter a lot number in the search box below.

Product Specific Notices for Jak2 [p Tyr1007, p Tyr1008] Antibody (1A4) - BSA Free

This product is for research use only and is not approved for use in humans or in clinical diagnosis. Primary Antibodies are guaranteed for 1 year from date of receipt.

Loading...
Loading...
Loading...
Loading...