Skip to main content

ITPK1 Antibody (JE64-35)

Novus Biologicals, part of Bio-Techne | Catalog # NBP3-32485

Recombinant Monoclonal Antibody
Novus Biologicals, part of Bio-Techne
Catalog #
Availability
Size / Price
Qty
Loading...
NBP3-32485

Key Product Details

Species Reactivity

Human

Applications

Immunohistochemistry, Immunohistochemistry-Paraffin, Western Blot

Label

Unconjugated

Antibody Source

Recombinant Monoclonal Rabbit IgG Clone # JE64-35 expressed in HEK293

Concentration

1 mg/ml

Product Specifications

Immunogen

Synthetic peptide within Human ITPK1 aa 362-410. (Uniprot: Q13572)

Localization

Cytosol, apical plasma membrane, cytoplasm.

Clonality

Monoclonal

Host

Rabbit

Isotype

IgG

Theoretical MW

46 kDa.
Disclaimer note: The observed molecular weight of the protein may vary from the listed predicted molecular weight due to post translational modifications, post translation cleavages, relative charges, and other experimental factors.

Description

Novus Biologicals Rabbit ITPK1 Antibody (JE64-35) (NBP3-32485) is a recombinant monoclonal antibody validated for use in IHC and WB. All Novus Biologicals antibodies are covered by our 100% guarantee.

Scientific Data Images for ITPK1 Antibody (JE64-35)

ITPK1 Antibody (JE64-35)

Western Blot: ITPK1 Antibody (JE64-35) [NBP3-32485]

Western Blot: ITPK1 Antibody (JE64-35) [NBP3-32485] - Western blot analysis of ITPK1 on different lysates with Rabbit anti-ITPK1 antibody (NBP3-32485) at 1/500 dilution.

Lane 1: Hela cell lysate
Lane 2: HepG2 cell lysate
Lane 3: 293T cell lysate
Lane 4: A431 cell lysate
Lane 5: MCF-7 cell lysate

Lysates/proteins at 10 ug/Lane.

Predicted band size: 46 kDa
Observed band size: 42 kDa

Exposure time: 2 minutes;

10% SDS-PAGE gel.

Proteins were transferred to a PVDF membrane and blocked with 5% NFDM/TBST for 1 hour at room temperature. The primary antibody (NBP3-32485) at 1/500 dilution was used in 5% NFDM/TBST at room temperature for 2 hours. Goat Anti-Rabbit IgG - HRP Secondary Antibody at 1:300,000 dilution was used for 1 hour at room temperature.
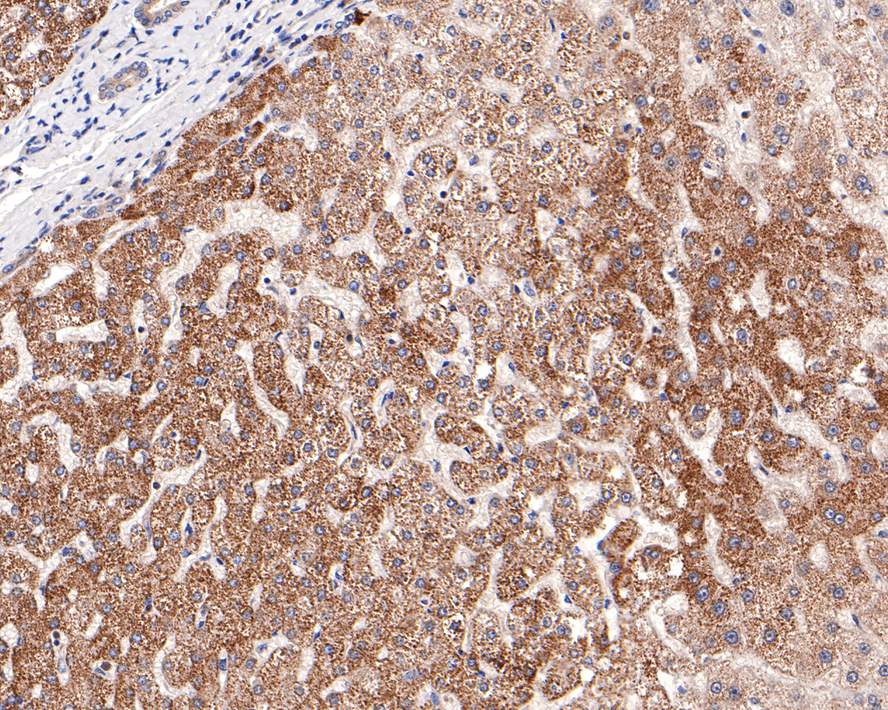
ITPK1 Antibody (JE64-35)

Immunohistochemistry: ITPK1 Antibody (JE64-35) [NBP3-32485]

Immunohistochemistry: ITPK1 Antibody (JE64-35) [NBP3-32485] - Immunohistochemical analysis of paraffin-embedded human liver tissue with Rabbit anti-ITPK1 antibody (NBP3-32485) at 1/100 dilution.

The section was pre-treated using heat mediated antigen retrieval with Tris-EDTA buffer (pH 9.0) for 20 minutes. The tissues were blocked in 1% BSA for 20 minutes at room temperature, washed with ddH2O and PBS, and then probed with the primary antibody (NBP3-32485) at 1/100 dilution for 1 hour at room temperature. The detection was performed using an HRP conjugated compact polymer system. DAB was used as the chromogen. Tissues were counterstained with hematoxylin and mounted with DPX.

Applications for ITPK1 Antibody (JE64-35)

Application
Recommended Usage

Immunohistochemistry-Paraffin

1:100

Western Blot

1:500

Formulation, Preparation, and Storage

Purification

Protein A purified

Formulation

1*TBS (pH7.4), 0.05% BSA and 40% Glycerol

Preservative

0.05% Sodium Azide

Concentration

1 mg/ml

Shipping

The product is shipped with polar packs. Upon receipt, store it immediately at the temperature recommended below.

Stability & Storage

Store at 4C short term. Aliquot and store at -20C long term. Avoid freeze-thaw cycles.

Background: ITPK1

Kinase that can phosphorylate various inositol polyphosphate such as Ins(3,4,5,6)P4 or Ins(1,3,4)P3. Phosphorylates Ins(3,4,5,6)P4 at position 1 to form Ins(1,3,4,5,6)P5. This reaction is thought to have regulatory importance, since Ins(3,4,5,6)P4 is an inhibitor of plasma membrane Ca(2+)-activated Cl(-) channels, while Ins(1,3,4,5,6)P5 is not. Also phosphorylates Ins(1,3,4)P3 on O-5 and O-6 to form Ins(1,3,4,6)P4, an essential molecule in the hexakisphosphate (InsP6) pathway. Also acts as an inositol polyphosphate phosphatase that dephosphorylate Ins(1,3,4,5)P4 and Ins(1,3,4,6)P4 to Ins(1,3,4)P3, and Ins(1,3,4,5,6)P5 to Ins(3,4,5,6)P4. May also act as an isomerase that interconverts the inositol tetraphosphate isomers Ins(1,3,4,5)P4 and Ins(1,3,4,6)P4 in the presence of ADP and magnesium. Probably acts as the rate-limiting enzyme of the InsP6 pathway. Modifies TNF-alpha-induced apoptosis by interfering with the activation of TNFRSF1A-associated death domain

Alternate Names

EC 2.7.1.134, EC 2.7.1.159, inositol 13,4-triphosphate 5/6 kinase, inositol 13,4-trisphosphate 5/6 kinase, Inositol 13,4-trisphosphate 5/6-kinase, inositol-tetrakisphosphate 1-kinase, Inositol-triphosphate 5/6-kinase, Ins(13,4)P(3) 5/6-kinase, ITRPK1

Gene Symbol

ITPK1

Additional ITPK1 Products

Product Documents for ITPK1 Antibody (JE64-35)

Certificate of Analysis

To download a Certificate of Analysis, please enter a lot number in the search box below.

Product Specific Notices for ITPK1 Antibody (JE64-35)

This product is for research use only and is not approved for use in humans or in clinical diagnosis. Primary Antibodies are guaranteed for 1 year from date of receipt.

Loading...
Loading...
Loading...
Loading...