Skip to main content

Islet-1 Antibody - BSA Free

Novus Biologicals, part of Bio-Techne | Catalog # NBP2-14999

Novus Biologicals, part of Bio-Techne
Catalog #
Availability
Size / Price
Qty
Loading...
NBP2-14999

Key Product Details

Species Reactivity

Validated:

Human, Mouse, Rat, Zebrafish

Cited:

Mouse

Predicted:

Bovine (100%), Chicken (99%), Xenopus (96%). Backed by our 100% Guarantee.

Applications

Validated:

Immunohistochemistry, Immunohistochemistry-Paraffin, Immunohistochemistry-Frozen, Immunohistochemistry Whole-Mount, Western Blot, Immunocytochemistry/ Immunofluorescence

Cited:

Immunocytochemistry/ Immunofluorescence

Label

Unconjugated

Antibody Source

Polyclonal Rabbit IgG

Format

BSA Free

Concentration

Concentrations vary lot to lot. See vial label for concentration. If unlisted please contact technical services.

Product Specifications

Immunogen

Recombinant protein encompassing a sequence within the center region of human Islet-1. The exact sequence is proprietary.

Reactivity Notes

Xenopus laevis (96%), Japanese medaka (97%).

Clonality

Polyclonal

Host

Rabbit

Isotype

IgG

Theoretical MW

39 kDa.
Disclaimer note: The observed molecular weight of the protein may vary from the listed predicted molecular weight due to post translational modifications, post translation cleavages, relative charges, and other experimental factors.

Description

Novus Biologicals Rabbit Islet-1 Antibody - BSA Free (NBP2-14999) is a polyclonal antibody validated for use in IHC, WB and ICC/IF. Anti-Islet-1 Antibody: Cited in 4 publications. All Novus Biologicals antibodies are covered by our 100% guarantee.

Scientific Data Images for Islet-1 Antibody - BSA Free

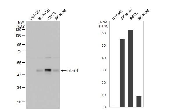
Western Blot: Islet-1 Antibody [NBP2-14999]

Western Blot: Islet-1 Antibody [NBP2-14999]

Western Blot: Islet-1 Antibody [NBP2-14999] - Various whole cell extracts (30 ug) were separated by 10% SDS-PAGE, and the membrane was blotted with Islet 1 antibody diluted at 1:10000. The HRP-conjugated anti-rabbit IgG antibody (NBP2-19301) was used to detect the primary antibody.
Immunocytochemistry/ Immunofluorescence: Islet-1 Antibody [NBP2-14999]

Immunocytochemistry/ Immunofluorescence: Islet-1 Antibody [NBP2-14999]

Immunocytochemistry/Immunofluorescence: Islet-1 Antibody [NBP2-14999] - SK-N-AS cells were fixed in 4% paraformaldehyde at RT for 15 min.Green: Islet 1 protein stained by Islet 1 antibody diluted at 1:500. Blue: Hoechst 33342 staining. Scale bar = 10 um.
Immunohistochemistry-Frozen: Islet-1 Antibody [NBP2-14999]

Immunohistochemistry-Frozen: Islet-1 Antibody [NBP2-14999]

Immunohistochemistry-Frozen: Islet-1 Antibody [NBP2-14999] - Frozen sectioned adult mouse retina. Green: Islet 1 protein stained by Islet 1 antibody diluted at 1:250. Red: Protein kinase C alpha staining. Blue: Fluoroshield with DAPI.

Applications for Islet-1 Antibody - BSA Free

Application
Recommended Usage

Immunocytochemistry/ Immunofluorescence

1:100-1:1000

Immunohistochemistry

1:100-1:1000

Immunohistochemistry Whole-Mount

Assay dependent

Immunohistochemistry-Frozen

1:100-1:1000

Immunohistochemistry-Paraffin

1:100-1:1000

Western Blot

1:5000-1:20000

Formulation, Preparation, and Storage

Purification

Antigen Affinity-purified

Formulation

PBS, 20% Glycerol

Format

BSA Free

Preservative

0.025% Proclin 300

Concentration

Concentrations vary lot to lot. See vial label for concentration. If unlisted please contact technical services.

Shipping

The product is shipped with polar packs. Upon receipt, store it immediately at the temperature recommended below.

Stability & Storage

Aliquot and store at -20C or -80C. Avoid freeze-thaw cycles.

Background: Islet-1

This gene encodes a member of the LIM/homeodomain family of transcription factors. The encoded protein binds to the enhancer region of the insulin gene, among others, and may play an important role in regulating insulin gene expression. The encoded protein is central to the development of pancreatic cell lineages and may also be required for motor neuron generation. Mutations in this gene have been associated with maturity-onset diabetes of the young. [provided by RefSeq]

Alternate Names

ISL1, Islet1

Gene Symbol

ISL1

UniProt

Additional Islet-1 Products

Product Documents for Islet-1 Antibody - BSA Free

Certificate of Analysis

To download a Certificate of Analysis, please enter a lot number in the search box below.

Product Specific Notices for Islet-1 Antibody - BSA Free

This product is for research use only and is not approved for use in humans or in clinical diagnosis. Primary Antibodies are guaranteed for 1 year from date of receipt.

Loading...
Loading...
Loading...
Loading...