Skip to main content

IRS4 Antibody

Novus Biologicals, part of Bio-Techne | Catalog # NBP3-12966

Novus Biologicals, part of Bio-Techne
Catalog #
Availability
Size / Price
Qty
Loading...
NBP3-12966

Key Product Details

Species Reactivity

Human

Applications

Immunohistochemistry, Immunohistochemistry-Paraffin, Western Blot, Immunocytochemistry/ Immunofluorescence

Label

Unconjugated

Antibody Source

Polyclonal Rabbit IgG

Concentration

Concentrations vary lot to lot. See vial label for concentration. If unlisted please contact technical services.

Product Specifications

Immunogen

Recombinant protein encompassing a sequence within the C-terminus region of human IRS4. The exact sequence is proprietary.

Clonality

Polyclonal

Host

Rabbit

Isotype

IgG

Description

Centrifuge briefly prior to opening.

Scientific Data Images for IRS4 Antibody

Western Blot: IRS4 Antibody [NBP3-12966]

Western Blot: IRS4 Antibody [NBP3-12966]

Western Blot: IRS4 Antibody [NBP3-12966] - Various whole cell extracts (30 ug) were separated by 5% SDS-PAGE, and the membrane was blotted with IRS4 antibody (NBP3-12966) diluted at 1:1000. The HRP-conjugated anti-rabbit IgG antibody (NBP2-19301) was used to detect the primary antibody.
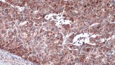
Immunohistochemistry-Paraffin: IRS4 Antibody [NBP3-12966]

Immunohistochemistry-Paraffin: IRS4 Antibody [NBP3-12966]

Immunohistochemistry-Paraffin: IRS4 Antibody [NBP3-12966] - IRS4 antibody detects IRS4 protein at cell membrane and cytoplasm by immunohistochemical analysis. Sample: Paraffin-embedded human hepatocellular carcinoma. IRS4 stained by IRS4 antibody (NBP3-12966) diluted at 1:500. Antigen Retrieval: Citrate buffer, pH 6.0, 15 min
IRS4 Antibody

Immunocytochemistry/ Immunofluorescence: IRS4 Antibody [NBP3-12966] -

IRS4 antibody detects IRS4 protein at cell membrane by immunofluorescent analysis.Sample: 293T cells were fixed in 4% paraformaldehyde at RT for 15 min.Green: IRS4 stained by IRS4 antibody (NBP3-12966) diluted at 1:500.Blue: Hoechst 33342 staining.

Applications for IRS4 Antibody

Application
Recommended Usage

Immunocytochemistry/ Immunofluorescence

Optimal dilutions of this antibody should be experimentally determined.

Immunohistochemistry

Optimal dilutions of this antibody should be experimentally determined.

Immunohistochemistry-Paraffin

Optimal dilutions of this antibody should be experimentally determined.

Western Blot

Optimal dilutions of this antibody should be experimentally determined.

Formulation, Preparation, and Storage

Purification

Antigen Affinity-purified

Formulation

PBS, 1% BSA, 20% Glycerol

Preservative

0.025% Proclin 300

Concentration

Concentrations vary lot to lot. See vial label for concentration. If unlisted please contact technical services.

Shipping

The product is shipped with polar packs. Upon receipt, store it immediately at the temperature recommended below.

Stability & Storage

Store at 4C short term. Aliquot and store at -20C long term. Avoid freeze-thaw cycles.

Background: IRS4

IRS4 is a new member of the IRS family, IRS-4, is a 160-kDa tyrosine kinase which phosphorylates cellular substrates when it is activated by the binding of insulin (1). IRS-4 was originally discovered in human embryonic kidney 293 cells. Subcellular fractionation revealed that about 50% of IRS-4 was located in cellular membranes, and immunofluorescence indicated that IRS-4 was concentrated at the plasma membrane. Immunoelectron microscopy conclusively established that a large portion of the IRS-4 was located at the cytoplasmic surface of the plasma membrane in both the unstimulated and insulin-treated states. IRS-4 was found to be associated with two src homology 2 (SH2) domain-containing proteins, phosphatidylinositol 3-kinase and Grb2, the adaptor to the guanine nucleotide exchange factor for Ras (2).

Alternate Names

insulin receptor substrate 4,160 kDa phosphotyrosine protein, IRS-4pp160, Phosphoprotein of 160 kDa, PY160

Gene Symbol

IRS4

Additional IRS4 Products

Product Documents for IRS4 Antibody

Certificate of Analysis

To download a Certificate of Analysis, please enter a lot number in the search box below.

Product Specific Notices for IRS4 Antibody

This product is for research use only and is not approved for use in humans or in clinical diagnosis. Primary Antibodies are guaranteed for 1 year from date of receipt.

Loading...
Loading...
Loading...
Loading...